-
中文名稱:TOMM20兔多克隆抗體
-
貨號:CSB-PA618983ESR2HU
-
規格:¥440
-
圖片:
-
Western blot
All lanes: Mitochondrial import receptor subunit TOM20 homolog antibody at 3μg/ml
Lane 1: Mouse brain tissue
Lane 2: Hela whole cell lysate
Lane 3: Mouse liver tissue
Secondary
Goat polyclonal to rabbit IgG at 1/10000 dilution
Predicted band size: 16 kDa
Observed band size: 16 kDa -
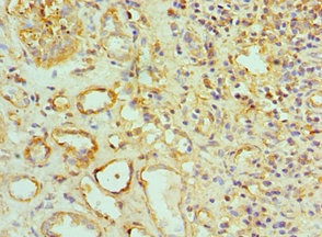
Immunohistochemistry of paraffin-embedded human kidney tissue using CSB-PA618983ESR2HU at dilution of 1:100
-
Immunofluorescent analysis of HepG2 cells using CSB-PA618983ESR2HU at dilution of 1:100 and Alexa Fluor 488-congugated AffiniPure Goat Anti-Rabbit IgG(H+L)
-
-
其他:
產品詳情
-
產品名稱:Rabbit anti-Homo sapiens (Human) TOMM20 Polyclonal antibody
-
Uniprot No.:
-
基因名:
-
別名:KIAA0016 antibody; MAS20 antibody; MGC117367 antibody; Mitochondrial 20 kDa outer membrane protein antibody; Mitochondrial import receptor subunit TOM20 homolog antibody; MOM19 antibody; Outer mitochondrial membrane receptor Tom20 antibody; TOM20 antibody; TOM20_HUMAN antibody; TOMM20 antibody; Translocase of outer mitochondrial membrane 20 homolog (yeast) antibody; Translocase of outer mitochondrial membrane 20 homolog type II antibody
-
宿主:Rabbit
-
反應種屬:Human, Mouse
-
免疫原:Recombinant Human Mitochondrial import receptor subunit TOM20 homolog protein (20-145AA)
-
免疫原種屬:Homo sapiens (Human)
-
標記方式:Non-conjugated
-
克隆類型:Polyclonal
-
抗體亞型:IgG
-
純化方式:Antigen Affinity Purified
-
濃度:It differs from different batches. Please contact us to confirm it.
-
保存緩沖液:PBS with 0.02% sodium azide, 50% glycerol, pH7.3.
-
產品提供形式:Liquid
-
應用范圍:ELISA, WB, IHC, IF
-
推薦稀釋比:
Application Recommended Dilution WB 1:500-1:2000 IHC 1:20-1:200 IF 1:50-1:200 -
Protocols:
-
儲存條件:Upon receipt, store at -20°C or -80°C. Avoid repeated freeze.
-
貨期:Basically, we can dispatch the products out in 1-3 working days after receiving your orders. Delivery time maybe differs from different purchasing way or location, please kindly consult your local distributors for specific delivery time.
-
用途:For Research Use Only. Not for use in diagnostic or therapeutic procedures.
引用文獻
相關產品
靶點詳情
-
功能:Central component of the receptor complex responsible for the recognition and translocation of cytosolically synthesized mitochondrial preproteins. Together with TOM22 functions as the transit peptide receptor at the surface of the mitochondrion outer membrane and facilitates the movement of preproteins into the TOM40 translocation pore. Required for the translocation across the mitochondrial outer membrane of cytochrome P450 monooxygenases.
-
基因功能參考文獻:
- TOMM20 and MCT1 were highly expressed in diffuse large B-cell lymphoma lymphocytes, indicating an OXPHOS phenotype, whereas non-neoplastic lymphocytes in the control samples did not express these markers. PMID: 29248132
- TOMM20, MCT1, and MCT4 expression was significantly different in Hodgkin and Reed Sternberg (HRS) cells. HRS have high expression of TOMM20, while tumor associated macrophages have absent TOMM20 expression. Tumor-infiltrating lymphocytes have low TOMM20 expression. Reactive lymph nodes in contrast to cHL tumors had low TOMM20, MCT1, and MCT4 expression in lymphocytes and macrophages. PMID: 29248133
- Gsk3beta and Tomm20 are substrates of the SCFFbxo7/PARK15 ubiquitin ligase associated with Parkinson's disease PMID: 27503909
- TOMM20 protein is highly expressed in both anaplastic thyroid cancer and papillary thyroid cancer compared to non-cancerous thyroid tissue. PMID: 26615136
- Tom20 was ubiquitously distributed in the organ of Corti, allowing well-delineated visualization of inner and outer hair cells. In the inner ear of aged subjects with Meniere's disease, there was decreased expression of Tom20. PMID: 23165776
- a novel model in which Tom20 binds Tom70 to facilitate preprotein release from the chaperones by competition PMID: 21771790
- Tom34 unlike Tom20 does not interact with the leader sequences of mitochondrial precursor proteins PMID: 11913975
- the cytosolic domains of Tom20 and Tom22 function to maintain their substrate preproteins unfolded and prevent them from aggregating on the mitochondrial surface PMID: 14699115
顯示更多
收起更多
-
亞細胞定位:Mitochondrion outer membrane; Single-pass membrane protein.
-
蛋白家族:Tom20 family
-
數據庫鏈接:
Most popular with customers
-
-
YWHAB Recombinant Monoclonal Antibody
Applications: ELISA, WB, IHC, IF, FC
Species Reactivity: Human, Mouse, Rat
-
-
-
-
-
-















