單克隆抗體定制服務
單克隆抗體是由單一B細胞克隆產生的高度均一、僅針對某一特定抗原表位的抗體。與多克隆抗體相比,單抗具有更好的親和力和特異性。
華美生物多年從事抗體生產和定制服務,以抗體平臺為核心建立了一系列相關的技術平臺和動物養殖基地。我們提供的單抗產品由常年從事抗體生產的專業人員完成,技術路線成熟,產品質量穩定可靠、靈敏度極高,至今為止本平臺已經成功制備多種科研及診斷試劑級別的單克隆抗體,深受下游客戶的好評。
近年來,我們不斷優化單克隆抗體實驗系統,從免疫、雜交瘤細胞融合到陽性雜交瘤細胞株篩選一直深入改進,極大地提高了融合率和陽性率。在鼠單克隆抗體開發過程中,無論是您提供抗原,還是我們根據您提供的抗原信息來制備小分子、多肽或者蛋白抗原,我們都將會在約定時間內提供給您高質量的單克隆抗體。基于大規模生產和高質量,華美生物的定制單克隆抗體現已廣泛應用于治療靶點篩選和藥物研發。
服務優勢:
一站式服務
提供從抗原制備到抗體生產、抗體純化、抗體篩選的一站式服務;提供抗原親和層析、Protein A/G等多種純化方法,可根據客戶需求篩選抗體對及天然樣本識別的驗證,讓客戶無后顧之憂。
抗原及免疫種類多樣性
華美生物擁有強大的蛋白服務平臺,5大蛋白表達系統,可為您定制更接近天然構象的免疫原,使您的抗體質量更高;每個項目至少免疫5只小鼠/大鼠,采用多種免疫途徑,多管齊下,為得到更優質的單抗提供了保證。
多樣化定制服務
可提供小鼠及大鼠單克隆抗體服務平臺、采用半固體模式快速制備單克隆抗體服務平臺、無血清培養基單克隆抗體制備服務平臺,客戶可根據需求靈活選擇。
大規模生產服務
可提供最專業的單克隆抗體大規模生產服務,滿足診斷級大量生產的需求。
價格實惠
單克隆抗體特異性高、靈敏度好,我們的服務價格優惠,可為您提供高質量產品的同時節約成本。
服務流程:

服務內容及周期:
免疫原 | 服務內容 | 交付內容 | 服務周期 |
---|---|---|---|
多肽 |
|
|
18-22 周 |
重組蛋白 | 20-24 周 | ||
天然蛋白 | 20-24 周 |
服務實例:
與全球多家知名科研試劑公司、診斷試劑公司、生物制藥公司緊密合作,我們不斷開發出能夠符合客戶特定應用要求的單克隆抗體,如應用于ELISA、IHC、IP、western blot等技術平臺的科研抗體;可為客戶開發出適合其特定應用要求的單克隆抗體配對,使之能夠應用于ELISA、膠體金試紙條、化學發光試劑或免疫磁珠等平臺的診斷抗體;也可為客戶開發出高靈敏度的小分子、多肽類單克隆抗體;專業、高效、經濟是我們對客戶的鄭重承諾。
1. 診斷級單克隆抗體定制
我公司為客戶研發的某單克隆抗體共篩選到4株不同表位,均能兩兩配對;并且成功應用于ELISA、膠體金、膠乳免疫增強比濁法試劑盒的開發

圖1.1 某單抗膠乳增強免疫比濁法穩定性測試
(線性及穩定性均較好)

圖1.2 某單抗膠乳增強免疫比濁法臨床對比結果
我公司為客戶研發某單克隆抗體對,經WB、ELISA、IHC等方法驗證均能識別天然樣本。

圖1.3 某單抗Western Blot圖
All lanes : monoclonal antibody at 1μg/ml
Lane 1: HepG-2 cell lysate
Lane 1: transfected pichia Yeast cell lysate
Predicted band size : 23 kDa
Observed band size : 23kDa
Additional band size:50KD

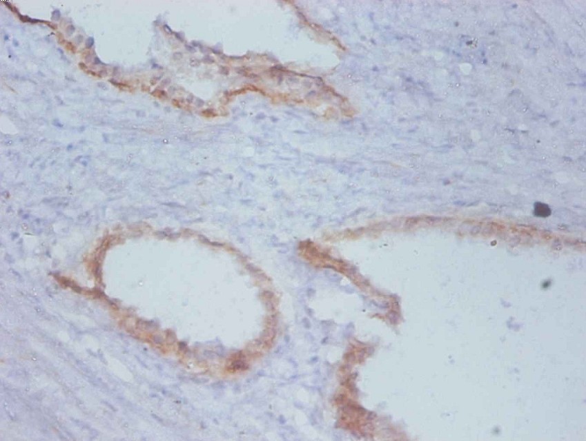
圖1.4 某單抗IHC圖
Immunohistochemical of paraffin-embedded human prostate cancer using monocolonal antibody at dilution of 1:100
2. 高靈敏度抗體定制
我公司成功為客戶研制出某高靈敏度抗體,靈敏度可達1.56pg/ml,并且ELISA驗證可識別血清等天然樣本

圖2.1 某單克隆抗體標準曲線圖
3. 小分子及多肽類抗體定制
我公司成功為客戶研發出某高靈敏度小分子抗體,目前客戶已成功開發出試劑盒,線性范圍達到市場要求。某多肽制備單抗經WB驗證識別天然樣本。

圖3.1 某多肽制備單克隆抗體WB驗證圖
All lanes :monoclonal antibody at 1μg/ml
Lane 1: HepG-2 cell lysate
Predicted band size : 44 kDa
Observed band size : 44 kDa
聯系信息
電話:027-87002556


地址:武漢市東湖新技術開發區高新大道818號高科醫療器械園B11號2樓

華美生物︱YOUR GOOD PARTNER IN BIOLOGY RESEARCH!
武漢華美生物工程有限公司成立于2007年12月,是一家集科研、生產、銷售為一體的生物高新技術企業。并形成了以CUSABIO為品牌的ELISA試劑盒、蛋白、抗體等多種優質產品,遠銷歐美日德等九十多個國家。
推薦您微信關注華美官方公眾號,方便查詢產品,同時獲取生命科學更新資訊!