-
中文名稱:TUBB3兔多克隆抗體
-
貨號:CSB-PA03874A0Rb
-
規格:¥440
-
圖片:
-
Western blot
All lanes: TUBB3 antibody at 6µg/ml
Lane 1: A549 whole cell lysate
Lane 2: A431 whole cell lysate
Secondary
Goat polyclonal to rabbit IgG at 1/10000 dilution
Predicted band size: 51, 43 kDa
Observed band size: 51 kDa -
Western Blot
Positive WB detected in: Mouse spleen tissue, Mouse thymus tissue
All lanes: TUBB3 antibody at 1.5µg/ml
Secondary
Goat polyclonal to rabbit IgG at 1/50000 dilution
Predicted band size: 51, 43 kDa
Observed band size: 51 kDa -
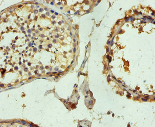
Immunohistochemistry of paraffin-embedded human testis tissue using CSB-PA03874A0Rb at dilution of 1:100
-
-
其他:
產品詳情
-
產品名稱:Rabbit anti-Homo sapiens (Human) TUBB3 Polyclonal antibody
-
Uniprot No.:
-
基因名:
-
別名:beta 3 tubulin antibody; beta 4 antibody; beta-4 antibody; CDCBM antibody; CDCBM1 antibody; CFEOM3 antibody; CFEOM3A antibody; FEOM3 antibody; M(beta)3 antibody; M(beta)6 antibody; MC1R antibody; Neuron specific beta III Tubulin antibody; Neuron-specific class III beta-tubulin antibody; QccE-11995 antibody; QccE-15186 antibody; TBB3_HUMAN antibody; Tubb 3 antibody; TUBB3 antibody; TUBB4 antibody; Tubulin beta 3 antibody; Tubulin beta 3 chain antibody; Tubulin beta 4 antibody; Tubulin beta III antibody; Tubulin beta-3 chain antibody; Tubulin beta-4 chain antibody; Tubulin beta-III antibody; tuj 1 antibody; tuj1 antibody
-
宿主:Rabbit
-
反應種屬:Human, Mouse
-
免疫原:Recombinant Human Tubulin beta-3 chain protein (1-210AA)
-
免疫原種屬:Homo sapiens (Human)
-
標記方式:Non-conjugated
本頁面中的產品,TUBB3 Antibody (CSB-PA03874A0Rb),的標記方式是Non-conjugated。對于TUBB3 Antibody,我們還提供其他標記。見下表:
-
克隆類型:Polyclonal
-
抗體亞型:IgG
-
純化方式:>95%, Protein G purified
-
濃度:It differs from different batches. Please contact us to confirm it.
-
保存緩沖液:Preservative: 0.03% Proclin 300
Constituents: 50% Glycerol, 0.01M PBS, PH 7.4 -
產品提供形式:Liquid
-
應用范圍:ELISA, WB, IHC
-
推薦稀釋比:
Application Recommended Dilution WB 1:500-1:5000 IHC 1:20-1:200 -
Protocols:
-
儲存條件:Upon receipt, store at -20°C or -80°C. Avoid repeated freeze.
-
貨期:Basically, we can dispatch the products out in 1-3 working days after receiving your orders. Delivery time maybe differs from different purchasing way or location, please kindly consult your local distributors for specific delivery time.
-
用途:For Research Use Only. Not for use in diagnostic or therapeutic procedures.
引用文獻
- The Networks of Genes Encoding Palmitoylated Proteins in Axonal and Synaptic Compartments Are Affected in PPT1 Overexpressing Neuronal-Like Cells Pezzini F.et al,Front Mol Neurosci.,2017
相關產品
靶點詳情
-
功能:Tubulin is the major constituent of microtubules. It binds two moles of GTP, one at an exchangeable site on the beta chain and one at a non-exchangeable site on the alpha chain. TUBB3 plays a critical role in proper axon guidance and maintenance. Binding of NTN1/Netrin-1 to its receptor UNC5C might cause dissociation of UNC5C from polymerized TUBB3 in microtubules and thereby lead to increased microtubule dynamics and axon repulsion. Plays a role in dorsal root ganglion axon projection towards the spinal cord.
-
基因功能參考文獻:
- Results demonstrated that TUBB3 mutations impair the interaction of DCC with polymerized TUBB3 in MTs and inhibit netrin-1-induced neurite outgrowth, branching and attraction. These results suggest a disease mechanism underlying TUBB3 mutation-associated axon guidance defects: mutations in TUBB3 disrupt engagement of netrin/DCC signaling with MT dynamics, resulting in specific defects of netrin-1-mediated axon projection. PMID: 29382549
- The remarkable high prevalence of TUBB3 expression in head and neck squamous cell carcinomas emphasizes its putative relevance as a target for future drugs targeting TUBB3 PMID: 28640948
- TUBB3 and TUBB4 are necessary for the transport and proper localization of N-cadherin within the plasma membrane. PMID: 28648944
- The miR-34a/STMN1/betaIII-tubulin axis maintains the microtubule cytoskeleton in osteosarcoma, and combining miR-34a with microtubule inhibitors can be investigated as a novel therapeutic strategy. PMID: 28275089
- Tubulin beta 3 (TUBB3) expression was identified as a useful predictive factor for survival. PMID: 29491095
- This is the first study that relates concurrent expression of Tubbeta3, ZEB1, and beta-catenin to abnormal epithelial and myofibroblast differentiation in idiopathic pulmonary fibrosis, providing indirect but robust evidence of miR-200 deregulation and epithelial to mesenchymal transition activation in idiopathic pulmonary fibrosis. PMID: 27586205
- The authors found that transient TUBB3 activation, through ABCB1, in response to the stimulation of FOXO3a expression, significantly contributes to the cross-resistance of the paclitaxel-resistant cell population and consequently limits the efficacy of both agents where cancer cells have developed multiple resistance. PMID: 27284014
- By linkage and sequencing analyses, we identified the mutation c.784C>T (p.R262C) in TUBB3 gene in six members of a Turkish family with congenital fibrosis of the extraocular muscles. PMID: 27428177
- High TUBB3 expression is associated with Melanoma. PMID: 28024114
- these results identify a broad spectrum of cancers that can at least sporadically express TUBB3. Testing of TUBB3 in cancer types eligible for taxane-based therapies could be helpful to identify patients who might best benefit from this treatment. PMID: 29022485
- TUBB3 overexpression is linked to an aggressive subtype of urinary bladder cancers, which is characterized by increased genetic instability, p53 alterations, and rapid cell proliferation. PMID: 28025079
- The central findings of our study are that TSA and VPA affect the expression of neuronal lineage genes in an rMSCs culture. After exposure to TSA or VPA, the expression of early neuronal gene decreases but equally the expression of mature neuron genes increases PMID: 28397704
- a positive correlation was observed between Snail presence and TUBB3 upregulation in tested adenocarcinoma cell lines. PMID: 27188792
- This elucidates a hitherto unknown role for this microtubule protein and provides insight into correlations between high betaIII-tubulin expression and poor patient outcome in this disease PMID: 27207668
- TUBB3 involvement in breast cancer cells apoptosis PMID: 28075472
- The expressions of TYMS, TUBB3 and STMN1 were significantly associated with the clinicopathological characteristics of age, gender and family history of gastric cancer, but not with differentiation, growth patterns, metastasis and TNM staging in patients with gastric cancer. PMID: 28056823
- It findings reveal that expression of relatively low levels of TUBB3 in mitotic cells can be detrimental for their cytokinesis and underscore the importance of CIT-K in counteracting this event. PMID: 26586574
- Epitaxial growth of alpha1A/betaIII microtubules from heterogeneous brain seeds is inefficient but can be fully rescued by incorporating as little as 5% of brain tubulin into the homogeneous alpha1A/betaIII lattice. PMID: 27129203
- TUBB3 mutations cause both Congenital Fibrosis of the Extraocular Muscles type 3 and malformations of cortical development. PMID: 26639658
- The decreased expression of TUBB3 could be a significant marker for predicting unfavourable prognosis in patients with cutaneous malignant melanoma. PMID: 26426765
- High TUBB3 mRNA expression was associated with breast cancer. PMID: 26406408
- mutations proximal to the TUBB3 kinesin-binding site alter polymerization dynamics. PMID: 27046833
- Functional characterization of MC1R-TUBB3 intergenic splice variants of the human melanocortin 1 receptor has been undertaken in response to ultraviolet irradiation. PMID: 26657157
- TUBB3, TOP2A, CYP19A1 and CYP2D6 gene expression, but not protein expression, was associated with patient survival in breast cancer . PMID: 26252353
- In advanced cervical squamous cell cancer, TUBB3 was highly expressed in 20.%% of cases. It had no impact on survival in patients treated with antimicrotubule agents. PMID: 26165688
- Findings suggest that overexpression of Class III beta-tubulin, Sox2, and nuclear Survivin might be predictive of taxane resistance and poor progression-free survival in patients with stage III ovarian epithelial cancer. PMID: 26198101
- High level of stathmin exhibited poor response to chemotherapy . Similar effects were not observed for b-III-tubulin. PMID: 25894372
- Results show an overexpression of TUBB3 in breast cancer brain metastases and its expression was significantly associated with distant metastases. These findings suggest a novel role of TUBB3 in regulation of metastases and integrin-Src signaling. PMID: 25724666
- Depletion of betaIII-tubulin from MCF7 breast cancer cells increased mitotic arrest by ixabepilon. Increased betaIII-tubulin may be an important contributor to the development of resistance to ixabepilone. PMID: 26416565
- Data suggest that silencing of beta III-tubulin expression may be a potential therapeutic strategy to increase the long-term survival of pancreatic cancer patients. PMID: 25544769
- blocking of the beta-III tubulin expression in colorectal cancer cells does not affect their viability, but reduces the cell adhesion to the extracellular matrix PMID: 26591579
- Results show that cabazitaxel resistance mechanisms involve alterations in microtubule dynamicity, as manifested by higher expression of TUBB3 and decreased BRCA1. PMID: 25416788
- These results therefore suggested that certain TUBB3 mutations may predominantly be associated with axonal peripheral neuropathy. PMID: 25482575
- This review discusses the confirmation that Gli1 overexpression is associated with decreased response to tumor chemotherapy, it was possible to sensitize cells to epothilones after addition a suitable inhibitor. PMID: 25661915
- High TUBB3 expression in NSCLC appeared to correlate with lower PTX sensitivity PMID: 25964544
- This study revealed that TUBB3 is a moderately sensitive and highly specific tissue marker for discriminating peripheral intrahepatic cholangiocarcinomas from other primary liver tumours. PMID: 25039376
- First report of an autosomal-dominant inheritance of the TUBB3 c.1228G>A mutation in a family provides new insights into the spectrum and variability of endocrine phenotypes associated with the TUBB3 E410K syndrome. PMID: 25559402
- ERCC1 mRNA levels were higher in metastatic adenocarcinoma NSCLC; TUBB3 mRNA levels were significantly higher in poorly differentiated tumors and in advanced stage NSCLC, which indicates the poor prognosis. PMID: 24762590
- Findings revealed how betaIII-tubulin influences tumor growth in NSCLC, defining new biologic functions and mechanism of action of betaIII-tubulin in tumorigenesis. PMID: 25414139
- betaIII-tubulin down-regulated significantly sensitized NSCLC A549/Taxol cells to Paclitaxel PMID: 25130963
- evidence for a direct linkage between HIF-2alpha and increased expression of betaIII-t by hypoxia PMID: 25244496
- Our data support the use of TUBB3 staining in differentiating follicular lymphoma, including BCL2-negative cases, from follicular hyperplasia PMID: 24232867
- Data indicate that ABCB1 protein, beta tubulin I and III (betaI, and betaIII tubulin) might contribute to the multidrug resistance (MDR) of MCF7/DOC and be potential therapeutic targets for overcoming MDR of breast cancer. PMID: 24894670
- The sensitivity of gastric cancer patients to paclitaxel treatment was inversely correlated with the mRNA and protein expression of class III beta-tubulin. PMID: 24722794
- The expression level of TUBB3 may be a useful biomarker to predict the clinical outcomes of the taxane/vinorebine-based chemotherapy in patients with NSCLC. PMID: 24705847
- Patients with exotropia, vertical gaze limitation, and ptosis do not have classic Moebius syndrome and may have TUBB3 mutations associated with CFEOM3. PMID: 24612975
- TUBB3 was a strong predictive marker in recurrent and metastatic gastric cancer patients receiving taxane-based first-line palliative chemotherapy. PMID: 24053422
- Sox9 allows the survival of ovarian cells upon hypoxic condition, through the activation of betaIII-tubulin expression. PMID: 24661907
- High tubulin beta 3 expression is associated with malignant pleural mesothelioma. PMID: 23810210
- Higher response rates were observed among betaIII-tubulin-positive patients. PMID: 23853246
顯示更多
收起更多
-
相關疾病:Fibrosis of extraocular muscles, congenital, 3A (CFEOM3A); Cortical dysplasia, complex, with other brain malformations 1 (CDCBM1)
-
亞細胞定位:Cytoplasm, cytoskeleton. Cell projection, growth cone. Cell projection, lamellipodium. Cell projection, filopodium.
-
蛋白家族:Tubulin family
-
組織特異性:Expression is primarily restricted to central and peripheral nervous system. Greatly increased expression in most cancerous tissues.
-
數據庫鏈接:
Most popular with customers
-
-
YWHAB Recombinant Monoclonal Antibody
Applications: ELISA, WB, IHC, IF, FC
Species Reactivity: Human, Mouse, Rat
-
Phospho-YAP1 (S127) Recombinant Monoclonal Antibody
Applications: ELISA, WB, IHC
Species Reactivity: Human
-
-
-
-
-















