WDR73 Antibody
-
中文名稱:WDR73兔多克隆抗體
-
貨號:CSB-PA744047LA01HU
-
規格:¥440
-
圖片:
-
Western Blot
Positive WB detected in: MCF-7 whole cell lysate, U87 whole cell lysate, 293 whole cell lysate, A549 whole cell lysate, THP-1 whole cell lysate
All lanes: WDR73 antibody at 1:1000
Secondary
Goat polyclonal to rabbit IgG at 1/50000 dilution
Predicted band size: 42 kDa
Observed band size: 42 kDa -
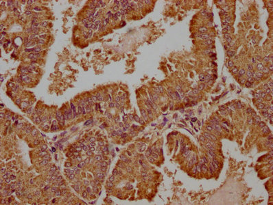
IHC image of CSB-PA744047LA01HU diluted at 1:100 and staining in paraffin-embedded human endometrial cancer performed on a Leica BondTM system. After dewaxing and hydration, antigen retrieval was mediated by high pressure in a citrate buffer (pH 6.0). Section was blocked with 10% normal goat serum 30min at RT. Then primary antibody (1% BSA) was incubated at 4°C overnight. The primary is detected by a biotinylated secondary antibody and visualized using an HRP conjugated SP system.
-
Immunofluorescence staining of SH-SY5Y cells with CSB-PA744047LA01HU at 1:50, counter-stained with DAPI. The cells were fixed in 4% formaldehyde, permeabilized using 0.2% Triton X-100 and blocked in 10% normal Goat Serum. The cells were then incubated with the antibody overnight at 4°C. The secondary antibody was Alexa Fluor 488-congugated AffiniPure Goat Anti-Rabbit IgG(H+L).
-
-
其他:
產品詳情
-
產品描述:
The antigen affinity purified Rabbit anti-Homo sapiens (Human) WDR73 Polyclonal antibody is generated in rabbits using Recombinant Human WD repeat-containing protein 73 (163-366aa) as the immunogen. This product is tested for use in WB, ELISA, IHC, and IF.
The target, WDR73, belongs to one of the largest protein families, the WD40-repeat proteins. It may play a significant role in the functions of microtubule and spindle poles during mitotic cell division. Aberrations in its actions are linked to Galloway-Mowat Syndrome. Also, the reduced expression of the WDR73 gene has been linked to irregular nuclear structure and brain structure aberrations.
The Rabbit anti-Homo sapiens (Human) WDR73 Polyclonal antibody reacts with Human WDR73. Thus, it is used to study the role of WDR73 in Galloway-Mowat Syndrome and some other brain defects. -
產品名稱:Rabbit anti-Homo sapiens (Human) WDR73 Polyclonal antibody
-
Uniprot No.:
-
基因名:WDR73
-
別名:WDR73 antibody; HSPC264WD repeat-containing protein 73 antibody
-
宿主:Rabbit
-
反應種屬:Human
-
免疫原:Recombinant Human WD repeat-containing protein 73 protein (163-366AA)
-
免疫原種屬:Homo sapiens (Human)
-
標記方式:Non-conjugated
本頁面中的產品,WDR73 Antibody (CSB-PA744047LA01HU),的標記方式是Non-conjugated。對于WDR73 Antibody,我們還提供其他標記。見下表:
-
克隆類型:Polyclonal
-
抗體亞型:IgG
-
純化方式:Antigen Affinity Purified
-
濃度:It differs from different batches. Please contact us to confirm it.
-
保存緩沖液:Preservative: 0.03% Proclin 300
Constituents: 50% Glycerol, 0.01M PBS, pH 7.4 -
產品提供形式:Liquid
-
應用范圍:ELISA, WB, IHC, IF
-
推薦稀釋比:
Application Recommended Dilution WB 1:500-1:2000 IHC 1:20-1:200 IF 1:50-1:200 -
Protocols:
-
儲存條件:Upon receipt, store at -20°C or -80°C. Avoid repeated freeze.
-
貨期:Basically, we can dispatch the products out in 1-3 working days after receiving your orders. Delivery time maybe differs from different purchasing way or location, please kindly consult your local distributors for specific delivery time.
-
用途:For Research Use Only. Not for use in diagnostic or therapeutic procedures.
相關產品
靶點詳情
-
功能:May play a role in the regulation of microtubule organization and dynamics.
-
基因功能參考文獻:
- We expanded the clinical phenotype of GMS with WDR73 gene defect to include retinal dysfunction with missense mutation and developmental dysplasia of the hip. PMID: 29929488
- WDR73 as a candidate gene of severe intellectual disability and cerebellar hypoplasia. PMID: 27983999
- We document postnatal onset of CA, a retinopathy, basal ganglia degeneration, and short stature as novel features of WDR73-related disease, and define WDR73-related disease as a new entity of infantile neurodegeneration. PMID: 26123727
- Nonsense mutation in the WDR73 gene is associated with Galloway-Mowat syndrome PMID: 25873735
- WDR73 interacts with mitotic microtubules to regulate cell cycle progression, proliferation and survival in brain PMID: 26070982
- WDR73 plays a crucial role in the maintenance of cell architecture and cell survival. PMID: 25466283
顯示更多
收起更多
-
相關疾病:Galloway-Mowat syndrome 1 (GAMOS1)
-
亞細胞定位:Cytoplasm, cytosol. Cytoplasm, cytoskeleton, spindle. Cytoplasm, cytoskeleton, spindle pole. Cleavage furrow.
-
蛋白家族:WD repeat WDR73 family
-
組織特異性:Expressed in kidney and brain. In the kidney, expressed in glomeruli, most probably in podocytes, and in tubules (at protein level). In the brain, expressed in the cerebellum, with high levels in Purkinje cells and their projecting axons, in the deep cere
-
數據庫鏈接:
Most popular with customers
-
-
Phospho-YAP1 (S127) Recombinant Monoclonal Antibody
Applications: ELISA, WB, IHC
Species Reactivity: Human
-
-
-
-
-
-















