DRD1
DRD1,即多巴胺受體D1,別名D(1A dopamine receptor、Dopamine D1 receptor。它是一種G蛋白偶聯受體,屬于多巴胺受體家族中的一員,由人體細胞自身的DRD1基因編碼。DRD1在大腦中的多個區域表達,包括前額葉皮層、紋狀體、海馬體等,參與調節多種生理功能。DRD1的作用機制主要是通過與多巴胺結合,激活G蛋白,進而影響細胞內的信號傳遞。DRD1主要通過Gαs蛋白激活腺苷酸環化酶,增加cAMP的產生,從而調節蛋白激酶A(PKA)的活性,影響細胞的生理反應。DRD1參與調節認知功能、運動控制、情緒反應等多種生理過程。DRD1的功能異常與多種神經系統疾病有關,包括帕金森病、精神分裂癥、注意力缺陷多動障礙(ADHD)等。DRD1的激活與多巴胺信號通路中的其他受體如DRD2(多巴胺受體D2)存在交互作用,共同影響行為和情緒。此外,DRD1也是藥物開發的重要靶點,例如,某些抗精神病藥物和治療帕金森病的藥物通過調節DRD1的活性發揮作用。因此,DRD1是神經科學和精神藥理學研究中的關鍵分子。
熱銷產品
Recombinant Human D (1A) dopamine receptor (DRD1), partial (CSB-EP007178HU1)
驗證數據

(Tris-Glycine gel) Discontinuous SDS-PAGE (reduced) with 5% enrichment gel and 15% separation gel.
DRD1 Antibody (CSB-PA007178LA01HU)
驗證數據

Western Blot
Positive WB detected in: A549 whole cell lysate
All lanes: DRD1 antibody at 3.5µg/ml
Secondary
Goat polyclonal to rabbit IgG at 1/50000 dilution
Predicted band size: 50 kDa
Observed band size: 50 kDa

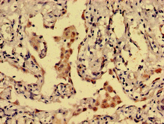
Immunohistochemistry analysis of human lung cancer using CSB-PA007178LA01HU at dilution of 1:100

Immunofluorescent analysis of A549 cells using CSB-PA007178LA01HU at dilution of 1:100 and Alexa Fluor 488-congugated AffiniPure Goat Anti-Rabbit IgG(H+L)
DRD1 Antibodies
DRD1 for Homo sapiens (Human)
產品貨號 | 產品名稱 | 種屬反應性 | 應用類型 |
---|---|---|---|
CSB-PA007178GA01HU | DRD1 Antibody | Human,Mouse,Rat | ELISA,WB |
CSB-PA007829 | DRD1 Antibody | Human,Mouse,Rat | WB, IHC, IF, ELISA |
CSB-PA343762 | DRD1 Antibody | Human | ELISA,WB,IHC |
CSB-PA572992 | DRD1 Antibody | Human | ELISA,WB |
CSB-PA007178LA01HU | DRD1 Antibody | Human | ELISA, WB, IHC, IF |
CSB-PA007178LB01HU | DRD1 Antibody, HRP conjugated | Human | ELISA |
CSB-PA007178LC01HU | DRD1 Antibody, FITC conjugated | Human | |
CSB-PA007178LD01HU | DRD1 Antibody, Biotin conjugated | Human | ELISA |
DRD1 Proteins
DRD1 Proteins for Homo sapiens (Human)
產品貨號 | 產品名稱 | 來源 |
---|---|---|
CSB-YP007178HU1 CSB-BP007178HU1 CSB-MP007178HU1 CSB-EP007178HU1-B |
Recombinant Human D (1A) dopamine receptor (DRD1), partial | Yeast Baculovirus Mammalian cell In Vivo Biotinylation in E.coli |
CSB-CF007178HU | Recombinant Human D (1A) dopamine receptor (DRD1) | in vitro E.coli expression system |
CSB-EP007178HU1 | Recombinant Human D (1A) dopamine receptor (DRD1), partial | E.coli |
DRD1 Proteins for Sus scrofa (Pig)
產品貨號 | 產品名稱 | 來源 |
---|---|---|
CSB-YP007178PI1 CSB-EP007178PI1 CSB-BP007178PI1 CSB-MP007178PI1 CSB-EP007178PI1-B |
Recombinant Pig D (1A) dopamine receptor (DRD1), partial | Yeast E.coli Baculovirus Mammalian cell In Vivo Biotinylation in E.coli |
CSB-CF007178PI | Recombinant Pig D (1A) dopamine receptor (DRD1) | in vitro E.coli expression system |
DRD1 Proteins for Oryctolagus cuniculus (Rabbit)
產品貨號 | 產品名稱 | 來源 |
---|---|---|
CSB-YP007178RB1 CSB-EP007178RB1 CSB-BP007178RB1 CSB-MP007178RB1 CSB-EP007178RB1-B |
Recombinant Rabbit D (1A) dopamine receptor (DRD1), partial | Yeast E.coli Baculovirus Mammalian cell In Vivo Biotinylation in E.coli |
CSB-CF007178RB | Recombinant Rabbit D (1A) dopamine receptor (DRD1) | in vitro E.coli expression system |
DRD1 Proteins for Macaca mulatta (Rhesus macaque)
產品貨號 | 產品名稱 | 來源 |
---|---|---|
CSB-YP007178MOW1 CSB-EP007178MOW1 CSB-BP007178MOW1 CSB-MP007178MOW1 CSB-EP007178MOW1-B |
Recombinant Macaca mulatta (Rhesus macaque) D (1A) dopamine receptor (DRD1), partial | Yeast E.coli Baculovirus Mammalian cell In Vivo Biotinylation in E.coli |
CSB-CF007178MOW | Recombinant Macaca mulatta (Rhesus macaque) D (1A) dopamine receptor (DRD1) | in vitro E.coli expression system |
DRD1 Proteins for Rattus norvegicus (Rat)
產品貨號 | 產品名稱 | 來源 |
---|---|---|
CSB-YP322481RA1 CSB-EP322481RA1 CSB-BP322481RA1 CSB-MP322481RA1 CSB-EP322481RA1-B |
Recombinant Rat D (1A) dopamine receptor (Drd1), partial | Yeast E.coli Baculovirus Mammalian cell In Vivo Biotinylation in E.coli |
CSB-CF322481RA | Recombinant Rat D (1A) dopamine receptor | in vitro E.coli expression system |
DRD1 Proteins for Xenopus laevis (African clawed frog)
產品貨號 | 產品名稱 | 來源 |
---|---|---|
CSB-YP331477XBE1 CSB-EP331477XBE1 CSB-BP331477XBE1 CSB-MP331477XBE1 CSB-EP331477XBE1-B |
Recombinant Xenopus laevis D (1A) dopamine receptor, partial | Yeast E.coli Baculovirus Mammalian cell In Vivo Biotinylation in E.coli |
CSB-CF331477XBE | Recombinant Xenopus laevis D (1A) dopamine receptor | in vitro E.coli expression system |
DRD1 Proteins for Mus musculus (Mouse)
產品貨號 | 產品名稱 | 來源 |
---|---|---|
CSB-YP713981MO CSB-EP713981MO CSB-BP713981MO CSB-MP713981MO CSB-EP713981MO-B |
Recombinant Mouse D (1A) dopamine receptor (Drd1), partial | Yeast E.coli Baculovirus Mammalian cell In Vivo Biotinylation in E.coli |
DRD1 Proteins for Bos taurus (Bovine)
產品貨號 | 產品名稱 | 來源 |
---|---|---|
CSB-YP822045BO1 CSB-EP822045BO1 CSB-BP822045BO1 CSB-MP822045BO1 CSB-EP822045BO1-B |
Recombinant Bovine D (1A) dopamine receptor (DRD1), partial | Yeast E.coli Baculovirus Mammalian cell In Vivo Biotinylation in E.coli |
CSB-CF822045BO | Recombinant Bovine D (1A) dopamine receptor (DRD1) | in vitro E.coli expression system |