ACVR1C
ACVR1C,全稱為激活素受體樣激酶7(Activin Receptor-like Kinase 7),也被稱為ACVR1C,是一種Ⅰ型轉化生長因子β(TGF-β)受體。該蛋白在維持代謝平衡中發揮重要作用,通過與TGF-β超家族成員結合,介導生長和分化的抑制和刺激信號。ACVR1C蛋白主要在中樞神經系統中表達,參與多種生理過程。近年來,該蛋白在肥胖癥、糖尿病等代謝性疾病中的作用受到關注。
ACVR1C蛋白的表達水平與肥胖、胰島素抵抗等代謝指標密切相關。此外,ACVR1C蛋白還與某些神經系統疾病相關,如亨廷頓病等。在藥物研發方面,針對ACVR1C蛋白的RNA干擾技術已被應用于治療肥胖癥和糖尿病的實驗性藥物中。例如,Alnylam公司開發的長效RNAi療法可在肝臟中選擇性沉默ACVR1C蛋白的表達,從而降低脂肪細胞中ACVR1C蛋白的水平,達到減重效果。這些研究成果為ACVR1C蛋白相關疾病的治療提供了新的思路和方法。
熱銷產品
ACVR1C Antibody (CSB-PA854112ESR1HU)
驗證數據

Western blot
All lanes: ACVR1C antibody at 4μg/ml
Lane 1: Mouse brain tissue
Lane 2: HepG2 whole cell lysate
Lane 3: Hela whole cell lysate
Secondary
Goat polyclonal to rabbit IgG at 1/10000 dilution
Predicted band size: 55, 38, 47, 50 kDa
Observed band size: 55 kDa

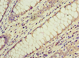
Immunohistochemistry of paraffin-embedded human colon cancer using CSB-PA854112ESR1HU at dilution of 1:100

Immunohistochemistry of paraffin-embedded human adrenal gland tissue using CSB-PA854112ESR1HU at dilution of 1:100
ACVR1C Antibodies
ACVR1C for Homo sapiens (Human)
產品貨號 | 產品名稱 | 種屬反應性 | 應用類型 |
---|---|---|---|
CSB-PA001259GA01HU | ACVR1C Antibody | Human,Mouse,Rat | ELISA,WB |
CSB-PA078326 | ACVR1C Antibody | Human,Mouse | ELISA,IHC,IF |
CSB-PA854112ESR1HU | ACVR1C Antibody | Human, Mouse | ELISA, WB, IHC |
CSB-PA007118 | ACVR1C Antibody | Human,Mouse,Rat | IHC, IF, ELISA |
CSB-PA096831 | ACVR1C Antibody | Human,Mouse,Rat | ELISA,IHC |
CSB-PA961708 | ACVR1C Antibody | Human,Mouse,Rat | ELISA,IHC |
ACVR1C Proteins
ACVR1C Proteins for Rattus norvegicus (Rat)
產品貨號 | 產品名稱 | 來源 |
---|---|---|
CSB-YP001259RA1 CSB-EP001259RA1 CSB-BP001259RA1 CSB-MP001259RA1 CSB-EP001259RA1-B |
Recombinant Rat Activin receptor type-1C (Acvr1c), partial | Yeast E.coli Baculovirus Mammalian cell In Vivo Biotinylation in E.coli |
CSB-CF001259RA | Recombinant Rat Activin receptor type-1C (Acvr1c) | in vitro E.coli expression system |
ACVR1C Proteins for Mus musculus (Mouse)
產品貨號 | 產品名稱 | 來源 |
---|---|---|
CSB-YP815662MO CSB-EP815662MO CSB-BP815662MO CSB-MP815662MO CSB-EP815662MO-B |
Recombinant Mouse Activin receptor type-1C (Acvr1c), partial | Yeast E.coli Baculovirus Mammalian cell In Vivo Biotinylation in E.coli |
ACVR1C Proteins for Homo sapiens (Human)
產品貨號 | 產品名稱 | 來源 |
---|---|---|
CSB-YP854112HU CSB-EP854112HU CSB-BP854112HU CSB-MP854112HU CSB-EP854112HU-B |
Recombinant Human Activin receptor type-1C (ACVR1C), partial | Yeast E.coli Baculovirus Mammalian cell In Vivo Biotinylation in E.coli |