ADA
ADA,即腺苷脫氨酶,是一種參與嘌呤代謝途徑的關鍵酶(EC3.5.4.4)。它在人體中的主要功能是免疫系統的發育和維持,尤其在淋巴細胞和巨噬細胞中發揮作用。ADA的作用機制包括不可逆地催化腺苷脫去氨基,轉化為肌苷,然后肌苷可進一步被嘌呤核苷磷酸化酶(PNP)轉化為次黃嘌呤。ADA活性位點含有鋅離子,該離子是ADA活性所必需的唯一輔助因子,底物腺苷通過多個氫鍵與活性位點結合并被催化。ADA在信號傳導中的作用涉及到調節細胞內腺苷水平,腺苷是一種強效的免疫調節分子,通過其受體影響細胞功能。ADA的活性還與多種生理和病理過程相關,包括上皮細胞分化、神經傳遞以及妊娠維持等。在生物學意義上,ADA不僅在嘌呤補救途徑中發揮關鍵作用,而且其活性的變化與多種疾病相關,例如ADA缺乏可導致嚴重聯合免疫缺陷(SCID),而ADA活性的增加與某些癌癥、自身免疫疾病以及HIV/AIDS有關。因此,ADA是免疫調節和疾病診斷中的一個重要生物標志物。
熱銷產品
驗證數據

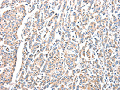
The image on the left is immunohistochemistry of paraffin-embedded Human breast cancer tissue using CSB-PA240615(ADA Antibody) at dilution 1/15, on the right is treated with fusion protein. (Original magnification: ×200)

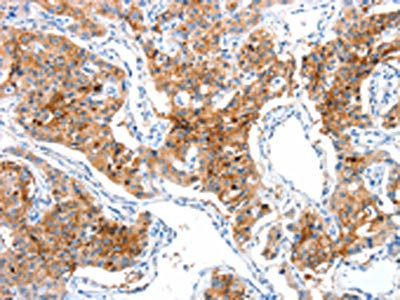
The image on the left is immunohistochemistry of paraffin-embedded Human lung cancer tissue using CSB-PA240615(ADA Antibody) at dilution 1/15, on the right is treated with fusion protein. (Original magnification: ×200)

Gel: 10%SDS-PAGE, Lysate: 40 μg, Lane: Raji cells, Primary antibody: CSB-PA240615(ADA Antibody) at dilution 1/100, Secondary antibody: Goat anti rabbit IgG at 1/8000 dilution, Exposure time: 1 minute
Human adenosine deaminase,ADA ELISA Kit (CSB-E09613h)
驗證數據

貨號:CSB-E09613h
規格:96T/48T
靈敏度:0.39 mIU/mL
檢測范圍:1.56 mIU/mL-100 mIU/mL
These standard curves are provided for demonstration only. A standard curve should be generated for each set of samples assayed.
ADA Antibodies
ADA for Homo sapiens (Human)
產品貨號 | 產品名稱 | 種屬反應性 | 應用類型 |
---|---|---|---|
CSB-PA001268EA01HU | ADA Antibody | Human | ELISA, WB, IHC, IF |
CSB-PA001268EB01HU | ADA Antibody, HRP conjugated | Human | ELISA |
CSB-PA240615 | ADA Antibody | Human,Mouse,Rat | ELISA,WB,IHC |
CSB-PA776767 | ADA Antibody | Human,Mouse,Rat | ELISA,WB,IHC |
ADA Proteins
ADA Proteins for Homo sapiens (Human)
產品貨號 | 產品名稱 | 來源 |
---|---|---|
CSB-YP001268HU CSB-EP001268HU CSB-BP001268HU CSB-MP001268HU CSB-EP001268HU-B |
Recombinant Human Adenosine deaminase (ADA) | Yeast E.coli Baculovirus Mammalian cell In Vivo Biotinylation in E.coli |
ADA ELISA Kit
ADA ELISA Kit for Homo sapiens (Human)
產品貨號 | 產品名稱 | 樣本類型 | 靈敏度 |
---|---|---|---|
CSB-E09613h | Human adenosine deaminase,ADA ELISA Kit | serum, urine, tissue homogenates | 0.39 mIU/mL |