BCL2L1
BCL2L1,即B細胞淋巴瘤/白血病2樣蛋白1,別名BCL2L01、Bcl-2相關蛋白A1、Bfl-1等。BCL2L1是一種抗凋亡蛋白,屬于Bcl-2家族成員,由人體細胞自身的基因編碼。它在細胞凋亡的調控中起著重要作用,主要通過與促凋亡蛋白如Bax或Bak相互作用,抑制線粒體介導的凋亡途徑。BCL2L1的作用機制涉及其在細胞質和線粒體之間的動態分布,以及其對線粒體膜通透性的調控。BCL2L1在生物學上的意義非常廣泛,它參與了細胞對各種應激反應的適應,包括氧化應激、DNA損傷、細胞因子誘導的應激等。BCL2L1的表達受多種信號通路的調控,如p53、NF-κB、MAPK等,這些信號通路在細胞生存和凋亡的平衡中發揮關鍵作用。BCL2L1的功能異常與多種疾病的發生發展有關,尤其是與腫瘤的發生發展密切相關。在腫瘤細胞中,BCL2L1的過表達有助于腫瘤細胞逃避免疫監視和化療誘導的凋亡,因此,它是腫瘤治療中的一個潛在靶點。
熱銷產品
Recombinant Human Bcl-2-like protein 1 (BCL2L1), partial (CSB-EP002613HU)
驗證數據

(Tris-Glycine gel) Discontinuous SDS-PAGE (reduced) with 5% enrichment gel and 15% separation gel.
BCL2L1 Recombinant Monoclonal Antibody (CSB-RA247982A0HU)
驗證數據

Western Blot
Positive WB detected in: K562 whole cell lysate, Hela whole cell lysate, NIH/3T3 whole cell lysate, Rat Brain whole cell lysate, Mouse Brain whole cell lysate
All lanes: Bcl-XL antibody at 1:1000
Secondary
Goat polyclonal to rabbit IgG at 1/50000 dilution
Predicted band size: 27, 19, 26 kDa
Observed band size: 30 kDa

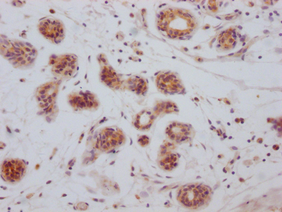
IHC image of CSB-RA247982A0HU diluted at 1:100 and staining in paraffin-embedded human breast cancer performed on a Leica BondTM system. After dewaxing and hydration, antigen retrieval was mediated by high pressure in a citrate buffer (pH 6.0). Section was blocked with 10% normal goat serum 30min at RT. Then primary antibody (1% BSA) was incubated at 4℃ overnight. The primary is detected by a Goat anti-rabbit IgG polymer labeled by HRP and visualized using 0.05% DAB.
Human Bcl-2-like protein 1(BCL2L1) ELISA kit (CSB-EL002613HU)
驗證數據

貨號:CSB-EL002613HU
規格:96T/48T
靈敏度:0.156 ng/mL
檢測范圍:0.625 ng/mL-40 ng/mL
These standard curves are provided for demonstration only. A standard curve should be generated for each set of samples assayed.
BCL2L1 Antibodies
BCL2L1 for Homo sapiens (Human)
產品貨號 | 產品名稱 | 種屬反應性 | 應用類型 |
---|---|---|---|
CSB-PA027199GA01HU | BCL2L1 Antibody | Human,Mouse,Rat | ELISA,WB,IHC |
CSB-MA0026131A0m | BCL2L1 Monoclonal Antibody | Human | ELISA,WB,IHC |
CSB-PA002613HA01HU | BCL2L1 Antibody | Human, Mouse | ELISA, WB, IHC, IF |
CSB-PA002613HB01HU | BCL2L1 Antibody, HRP conjugated | Human | ELISA |
CSB-PA923588 | BCL2L1 (Ab-62) Antibody | Human,Mouse,Rat | ELISA,WB |
CSB-PA786016 | Phospho-BCL2L1 (Ser62) Antibody | Human, Mouse, Rat | ELISA, WB, IHC, IF |
CSB-PA000986 | BCL2L1 Antibody | Human,Mouse,Rat | WB, IHC, IF, ELISA |
CSB-PA000987 | BCL2L1 Antibody | Human,Mouse,Rat | WB, IHC, ELISA |
CSB-PA040205 | Phospho-BCL2L1 (S62) Antibody | Human,Mouse,Rat | WB, IHC, ELISA |
CSB-PA040206 | Phospho-BCL2L1 (T47) Antibody | Human,Mouse,Rat | WB, IHC, IF, ELISA |
CSB-PA040207 | Phospho-BCL2L1 (T115) Antibody | Human,Mouse,Rat | IHC, ELISA |
CSB-PA040208 | BCL2L1 Antibody | Human,Mouse,Rat | IHC, ELISA |
CSB-PA080279 | BCL2L1 Antibody | Human,Mouse,Rat | IHC |
CSB-PA223208 | BCL2L1 Antibody | Human,Mouse,Rat | ELISA,WB |
CSB-PA315068 | BCL2L1 Antibody | Human,Mouse,Rat | ELISA,WB |
CSB-RA247982A0HU | BCL2L1 Recombinant Monoclonal Antibody | Human, Mouse, Rat | ELISA, WB, IHC |
BCL2L1 Proteins
BCL2L1 Proteins for Rattus norvegicus (Rat)
產品貨號 | 產品名稱 | 來源 |
---|---|---|
CSB-YP002613RA1 CSB-EP002613RA1 CSB-BP002613RA1 CSB-MP002613RA1 CSB-EP002613RA1-B |
Recombinant Rat Bcl-2-like protein 1 (Bcl2l1), partial | Yeast E.coli Baculovirus Mammalian cell In Vivo Biotinylation in E.coli |
CSB-CF002613RA | Recombinant Rat Bcl-2-like protein 1 (Bcl2l1) | in vitro E.coli expression system |
BCL2L1 Proteins for Sus scrofa (Pig)
產品貨號 | 產品名稱 | 來源 |
---|---|---|
CSB-YP002613PI1 CSB-EP002613PI1 CSB-BP002613PI1 CSB-MP002613PI1 CSB-EP002613PI1-B |
Recombinant Pig Bcl-2-like protein 1 (BCL2L1), partial | Yeast E.coli Baculovirus Mammalian cell In Vivo Biotinylation in E.coli |
CSB-CF002613PI | Recombinant Pig Bcl-2-like protein 1 (BCL2L1) | in vitro E.coli expression system |
BCL2L1 Proteins for Mus musculus (Mouse)
產品貨號 | 產品名稱 | 來源 |
---|---|---|
CSB-YP731050MO1 CSB-EP731050MO1 CSB-BP731050MO1 CSB-MP731050MO1 CSB-EP731050MO1-B |
Recombinant Mouse Bcl-2-like protein 1 (Bcl2l1), partial | Yeast E.coli Baculovirus Mammalian cell In Vivo Biotinylation in E.coli |
CSB-CF731050MO | Recombinant Mouse Bcl-2-like protein 1 (Bcl2l1) | in vitro E.coli expression system |
BCL2L1 Proteins for Homo sapiens (Human)
產品貨號 | 產品名稱 | 來源 |
---|---|---|
CSB-EP002613HU | Recombinant Human Bcl-2-like protein 1 (BCL2L1), partial | E.coli |
BCL2L1 ELISA Kit
BCL2L1 ELISA Kit for Homo sapiens (Human)
產品貨號 | 產品名稱 | 樣本類型 | 靈敏度 |
---|---|---|---|
CSB-EL002613HU | Human Bcl-2-like protein 1(BCL2L1) ELISA kit | serum, plasma, tissue homogenates | 0.156 ng/mL |
BCL2L1 ELISA Kit for Rattus norvegicus (Rat)
產品貨號 | 產品名稱 | 樣本類型 | 靈敏度 |
---|---|---|---|
CSB-E13604r | Rat Bcl-2-like protein 1(Bcl2-L-1/Bcl-X)ELISA Kit | serum, plasma, tissue homogenates, cell lysates | 11.72 pg/mL |