BIN1
BIN1,Myc box-dependent-interacting protein 1,別名AMPH2、AMPHL、MGC10367、SH3P9、AmphiphysinII等。這是一種在人體多種組織中表達的蛋白,尤其高表達于中樞神經系統,編碼基因位于2號染色體上。BIN1蛋白含有多個結構域,包括BAR結構域、SH3結構域和PRD等,這些結構域賦予BIN1參與膜曲率調節和蛋白質相互作用的能力。BIN1通過形成蛋白質網絡參與細胞膜動態重塑以及內吞過程,影響細胞分裂、細胞凋亡和細胞信號傳導等生物學事件。BIN1在細胞生物學和生物醫學研究中備受關注,其在神經退行性疾病和癌癥等領域的研究中具有潛在應用價值。
熱銷產品
BIN1 Antibody (CSB-PA002700ESR1HU)
驗證數據

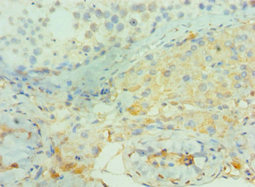
Immunohistochemistry of paraffin-embedded human testis tissue using CSB-PA002700ESR1HU at dilution of 1:100

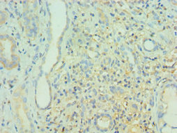
Immunohistochemistry of paraffin-embedded human kidney tissue using CSB-PA002700ESR1HU at dilution of 1:100
BIN1 Antibodies
BIN1 for Homo sapiens (Human)
產品貨號 | 產品名稱 | 種屬反應性 | 應用類型 |
---|---|---|---|
CSB-PA002700GA01HU | BIN1 Antibody | Human,Mouse,Rat | ELISA,WB,IHC |
CSB-PA002700ESR1HU | BIN1 Antibody | Human | ELISA, IHC |
CSB-PA005457 | BIN1 Antibody | Human,Mouse,Rat | WB, ELISA |
CSB-PA005562 | BIN1 Antibody | Human,Mouse,Rat | WB, ELISA |
CSB-PA238810 | BIN1 Antibody | Human | ELISA,WB |
CSB-PA942155 | BIN1 Antibody | Human | ELISA,IHC |
BIN1 Proteins
BIN1 Proteins for Homo sapiens (Human)
產品貨號 | 產品名稱 | 來源 |
---|---|---|
CSB-YP002700HU CSB-EP002700HU CSB-BP002700HU CSB-MP002700HU CSB-EP002700HU-B |
Recombinant Human Myc box-dependent-interacting protein 1 (BIN1) | Yeast E.coli Baculovirus Mammalian cell In Vivo Biotinylation in E.coli |
BIN1 Proteins for Mus musculus (Mouse)
產品貨號 | 產品名稱 | 來源 |
---|---|---|
CSB-YP002700MO CSB-EP002700MO CSB-BP002700MO CSB-MP002700MO CSB-EP002700MO-B |
Recombinant Mouse Myc box-dependent-interacting protein 1 (Bin1) | Yeast E.coli Baculovirus Mammalian cell In Vivo Biotinylation in E.coli |
BIN1 Proteins for Rattus norvegicus (Rat)
產品貨號 | 產品名稱 | 來源 |
---|---|---|
CSB-YP002700RA CSB-EP002700RA CSB-BP002700RA CSB-MP002700RA CSB-EP002700RA-B |
Recombinant Rat Myc box-dependent-interacting protein 1 (Bin1) | Yeast E.coli Baculovirus Mammalian cell In Vivo Biotinylation in E.coli |
BIN1 Proteins for Drosophila melanogaster (Fruit fly)
產品貨號 | 產品名稱 | 來源 |
---|---|---|
CSB-YP895601DLU CSB-EP895601DLU CSB-BP895601DLU CSB-MP895601DLU CSB-EP895601DLU-B |
Recombinant Drosophila melanogaster Histone deacetylase complex subunit SAP18 (Bin1) | Yeast E.coli Baculovirus Mammalian cell In Vivo Biotinylation in E.coli |