CALR
CALR,全稱為鈣網蛋白(Calreticulin),是一種高度保守的內質網蛋白,主要參與蛋白質的折疊、組裝和質量控制。它通過與單葡萄糖基化糖蛋白相互作用,促進內質網中蛋白質的正確折疊,并介導NR3C1 DNA結合結構域的核輸出。CALR蛋白還參與細胞應激反應和免疫調節,如與自身免疫性疾病的發生發展密切相關。在藥物研發方面,CALR蛋白已成為治療自身免疫性疾病和癌癥的重要靶點。例如,Cartesian Therapeutics公司開發的mRNA CAR-T細胞療法Descartes-08,通過靶向B細胞成熟抗原(BCMA),清除分泌自身抗體的漿細胞,在治療慢性自身免疫性疾病全身型重癥肌無力(MG)患者中取得了顯著療效。此外,Calreticulin/CALR蛋白也被用于開發針對急性髓系白血病(AML)的CAR-T療法,如羅斯威爾帕克癌癥研究所開發的抗CD83 CAR-T療法,已在1期臨床試驗階段,為AML患者提供了新的治療選擇。
熱銷產品
Recombinant Human Calreticulin (CALR) (CSB-MP004458HU)
驗證數據

(Tris-Glycine gel) Discontinuous SDS-PAGE (reduced) with 5% enrichment gel and 15% separation gel.
CALR Recombinant Monoclonal Antibody (CSB-RA004458MA1HU)
驗證數據

Western Blot
Positive WB detected in: 293 whole cell lysate
All lanes: CALR antibody at 1:1000
Secondary
Goat polyclonal to mouse IgG at 1/50000 dilution
Predicted band size: 49 kDa
Observed band size: 49 kDa

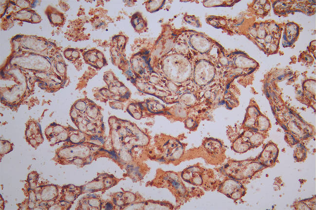
IHC image of CSB-RA004458MA1HU diluted at 1:300 and staining in paraffin-embedded human placenta tissue performed on a Leica BondTM system. After dewaxing and hydration, antigen retrieval was mediated by high pressure in a citrate buffer (pH 6.0). Section was blocked with 10% normal goat serum 30min at RT. Then primary antibody (1% BSA) was incubated at 4°C overnight. The primary is detected by a Goat anti-Mouse IgG labeled by HRP and visualized using 0.05% DAB.

Immunofluorescence staining of HepG2 cell with CSB-RA004458MA1HU at 1:250, counter-stained with DAPI. The cells were fixed in 4% formaldehyde and blocked in 10% normal Goat Serum. The cells were then incubated with the antibody overnight at 4C. The secondary antibody was FITC-conjugated AffiniPure Goat Anti-Mouse IgG(H+L).

Overlay Peak curve showing JK cells stained with CSB-RA004458MA1HU (red line) at 1:300. The cells were fixed in 4% formaldehyde (15min) and permeated by 0.2% TritonX-100 for 10min. Then 10% normal goat serum to block non-specific protein-protein interactions followed by the antibody (1ug/1*106cells) for 45min at 4℃. The secondary antibody used was FITC-conjugated Goat Anti-Mouse IgG(H+L) at 1/200 dilution for 35 min at 4°C. Isotype control antibody (green line) was mouse IgG1 (1μg/1*106cells) used under the same conditions. Acquisition of >10,018 events was performed.
Human Calreticulin,CRT ELISA Kit (CSB-E09787h)
驗證數據

貨號:CSB-E09787h
規格:96T/48T
靈敏度:0.039 ng/mL
檢測范圍:0.156 ng/mL-10 ng/mL
These standard curves are provided for demonstration only. A standard curve should be generated for each set of samples assayed.
CALR Antibodies
CALR for Homo sapiens (Human)
產品貨號 | 產品名稱 | 種屬反應性 | 應用類型 |
---|---|---|---|
CSB-PA07864A0Rb | CALR Antibody | Human | ELISA, WB, IHC |
CSB-PA07864D0Rb | CALR Antibody, Biotin conjugated | Human | ELISA |
CSB-PA07864B0Rb | CALR Antibody, HRP conjugated | Human | ELISA |
CSB-PA07864C0Rb | CALR Antibody, FITC conjugated | Human | |
CSB-PA162228 | CALR Antibody | Human,Mouse,Rat | ELISA,WB,IHC,IF |
CSB-PA001196 | CALR Antibody | Human,Mouse,Rat,Monkey | WB, IHC, IF, ELISA |
CSB-PA07867A0Rb | CALR Antibody | Human, Mouse, Rat | ELISA, WB, IHC, IF |
CSB-PA07867B0Rb | CALR Antibody, HRP conjugated | Human | ELISA |
CSB-PA07867C0Rb | CALR Antibody, FITC conjugated | Human | |
CSB-PA07867D0Rb | CALR Antibody, Biotin conjugated | Human | ELISA |
CSB-PA314121 | CALR Antibody | Human,Mouse,Rat | ELISA,WB,IHC |
CSB-PA963019 | CALR Antibody | Human,Mouse,Rat | ELISA,WB,IHC |
CSB-PA004458YA01HU | CALR Antibody | Human, Mouse | ELISA, WB, IHC, IF |
CSB-PA004458YB01HU | CALR Antibody, HRP conjugated | Human | ELISA |
CSB-PA004458YC01HU | CALR Antibody, FITC conjugated | Human | |
CSB-PA004458OA01HU | CALR Antibody | Human | ELISA, WB |
CSB-PA004458OB01HU | CALR Antibody, HRP conjugated | Human | ELISA |
CSB-PA004458OC01HU | CALR Antibody, FITC conjugated | Human | |
CSB-PA004458OD01HU | CALR Antibody, Biotin conjugated | Human | ELISA |
CSB-RA004458MA1HU | CALR Recombinant Monoclonal Antibody | Human, Mouse | ELISA, WB, IHC, IF, FC |
CALR for Pig
產品貨號 | 產品名稱 | 種屬反應性 | 應用類型 |
---|---|---|---|
CSB-PA004458YA01PI | CALR Antibody | Pig | ELISA |
CSB-PA004458YD01PI | CALR Antibody, Biotin conjugated | Pig | ELISA |
CALR Proteins
CALR Proteins for Mus musculus (Mouse)
產品貨號 | 產品名稱 | 來源 |
---|---|---|
CSB-YP004458MO | Recombinant Mouse Calreticulin (Calr) | Yeast |
CSB-EP004458MO | Recombinant Mouse Calreticulin (Calr) | E.coli |
CSB-BP004458MO CSB-MP004458MO CSB-EP004458MO-B |
Recombinant Mouse Calreticulin (Calr) | Baculovirus Mammalian cell In Vivo Biotinylation in E.coli |
CSB-YP004458MOc7 | Recombinant Mouse Calreticulin (Calr) | Yeast |
CALR Proteins for Oryctolagus cuniculus (Rabbit)
產品貨號 | 產品名稱 | 來源 |
---|---|---|
CSB-YP004458RB CSB-EP004458RB CSB-BP004458RB CSB-MP004458RB CSB-EP004458RB-B |
Recombinant Rabbit Calreticulin (CALR) | Yeast E.coli Baculovirus Mammalian cell In Vivo Biotinylation in E.coli |
CALR Proteins for Homo sapiens (Human)
產品貨號 | 產品名稱 | 來源 |
---|---|---|
CSB-BP004458HU CSB-EP004458HU-B |
Recombinant Human Calreticulin (CALR) | Baculovirus In Vivo Biotinylation in E.coli |
CSB-EP004458HU | Recombinant Human Calreticulin (CALR) | E.coli |
CSB-EP004458HUe0 | Recombinant Human Calreticulin (CALR) | E.coli |
CSB-EP004458HU1 | Recombinant Human Calreticulin (CALR), partial | E.coli |
CSB-MP004458HU | Recombinant Human Calreticulin (CALR) | Mammalian cell |
CSB-YP004458HU | Recombinant Human Calreticulin (CALR) | Yeast |
CSB-MP004458HUd6 | Recombinant Human Calreticulin (CALR) | Mammalian cell |
CALR Proteins for Sus scrofa (Pig)
產品貨號 | 產品名稱 | 來源 |
---|---|---|
CSB-YP004458PI | Recombinant Pig Calreticulin (CALR) | Yeast |
CSB-EP004458PI CSB-BP004458PI CSB-MP004458PI CSB-EP004458PI-B |
Recombinant Pig Calreticulin (CALR) | E.coli Baculovirus Mammalian cell In Vivo Biotinylation in E.coli |
CALR Proteins for Canis familiaris (Dog) (Canis lupus familiaris)
產品貨號 | 產品名稱 | 來源 |
---|---|---|
CSB-YP004458DO CSB-EP004458DO CSB-BP004458DO CSB-MP004458DO CSB-EP004458DO-B |
Recombinant Dog Calreticulin (CALR) | Yeast E.coli Baculovirus Mammalian cell In Vivo Biotinylation in E.coli |
CALR Proteins for Bos taurus (Bovine)
產品貨號 | 產品名稱 | 來源 |
---|---|---|
CSB-YP004458BO CSB-EP004458BO CSB-BP004458BO CSB-MP004458BO CSB-EP004458BO-B |
Recombinant Bovine Calreticulin (CALR) | Yeast E.coli Baculovirus Mammalian cell In Vivo Biotinylation in E.coli |
CALR Proteins for Rattus norvegicus (Rat)
產品貨號 | 產品名稱 | 來源 |
---|---|---|
CSB-YP004458RA CSB-EP004458RA CSB-BP004458RA CSB-MP004458RA CSB-EP004458RA-B |
Recombinant Rat Calreticulin (Calr) | Yeast E.coli Baculovirus Mammalian cell In Vivo Biotinylation in E.coli |
CALR Proteins for Macaca fascicularis (Crab-eating macaque) (Cynomolgus monkey)
產品貨號 | 產品名稱 | 來源 |
---|---|---|
CSB-YP004458MOV CSB-EP004458MOV CSB-BP004458MOV CSB-MP004458MOV CSB-EP004458MOV-B |
Recombinant Macaca fascicularis Calreticulin (CALR) | Yeast E.coli Baculovirus Mammalian cell In Vivo Biotinylation in E.coli |
CALR Proteins for Cricetulus griseus (Chinese hamster) (Cricetulus barabensis griseus)
產品貨號 | 產品名稱 | 來源 |
---|---|---|
CSB-EP004458DXU CSB-BP004458DXU CSB-MP004458DXU CSB-EP004458DXU-B |
Recombinant Cricetulus griseus Calreticulin (CALR) | E.coli Baculovirus Mammalian cell In Vivo Biotinylation in E.coli |
CSB-YP004458DXU | Recombinant Cricetulus griseus Calreticulin (CALR) | Yeast |
CALR Proteins for Macaca fuscata fuscata (Japanese macaque)
產品貨號 | 產品名稱 | 來源 |
---|---|---|
CSB-YP004458MMX CSB-EP004458MMX CSB-BP004458MMX CSB-MP004458MMX CSB-EP004458MMX-B |
Recombinant Macaca fuscata fuscata Calreticulin (CALR) | Yeast E.coli Baculovirus Mammalian cell In Vivo Biotinylation in E.coli |
CALR Proteins for Chlorocebus aethiops (Green monkey) (Cercopithecus aethiops)
產品貨號 | 產品名稱 | 來源 |
---|---|---|
CSB-YP004458DSU CSB-EP004458DSU CSB-BP004458DSU CSB-MP004458DSU CSB-EP004458DSU-B |
Recombinant Chlorocebus aethiops Calreticulin (CALR) | Yeast E.coli Baculovirus Mammalian cell In Vivo Biotinylation in E.coli |
CALR ELISA Kit
CALR ELISA Kit for Homo sapiens (Human)
產品貨號 | 產品名稱 | 樣本類型 | 靈敏度 |
---|---|---|---|
CSB-E09787h | Human Calreticulin,CRT ELISA Kit | serum, plasma, urine,tissue homogenates | 0.039 ng/mL |