CCR1
CCR1,全稱為C-C motif chemokine receptor 1,別名包括CD191、CKR-1、MIP1aR等。該蛋白屬于β趨化因子受體家族,具有七次跨膜結構,主要表達于多種免疫細胞表面,如單核細胞、T淋巴細胞、嗜酸性粒細胞等。CCR1的主要功能是介導免疫細胞的遷移和活化,參與炎癥反應和免疫調節。它通過與多種趨化因子配體結合,如MIP-1α、RANTES、MCP-3等,激活下游信號通路,影響免疫細胞的遷移方向、粘附能力、活化和增殖。
CCR1與多種疾病的發生發展密切相關。在自身免疫性疾病中,如類風濕性關節炎和克羅恩病,CCR1的過度活化會導致免疫細胞過度浸潤和炎癥反應,從而引發組織損傷和疾病癥狀。在腫瘤領域,CCR1的表達與腫瘤細胞的轉移和侵襲密切相關。研究表明,CCR1可以促進腫瘤相關巨噬細胞的募集,幫助腫瘤細胞逃避免疫監視,從而促進腫瘤的進展。此外,CCR1還與一些感染性疾病和神經退行性疾病有關。
針對CCR1的藥物研發近年來逐漸受到關注。目前,已有一些CCR1拮抗劑進入臨床試驗階段,用于治療類風濕性關節炎、哮喘等疾病。這些藥物通過抑制CCR1與配體的結合,或者阻斷下游信號通路的激活,從而減輕炎癥反應和疾病癥狀。
熱銷產品
Recombinant Human C-C chemokine receptor type 1 (CCR1)-VLPs (Active) (CSB-MP004839HU)
驗證數據

CSB-MP004839HU is detected by Mouse anti-6*His monoclonal antibody.

Activity
Measured by its binding ability in a functional ELISA. Immobilized Human CCR1 at 10 μg/ml can bind Anti-CCR1 recombinant antibody(CSB-RA004839MA1HU). The EC50 is 9.690-10.94 ng/mL.The VLPs (CSB-MP3838) is negative control.

The purity of VLPs was greater than 90% as determined by SEC-HPLC
Recombinant Human C-C chemokine receptor type 1 (CCR1), partial (CSB-EP004839HU1)
驗證數據

(Tris-Glycine gel) Discontinuous SDS-PAGE (reduced) with 5% enrichment gel and 15% separation gel.
CCR1 Antibody (CSB-PA004839LA01HU)
驗證數據

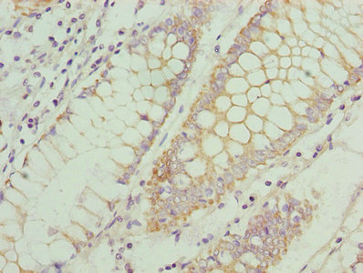
Immunohistochemistry of paraffin-embedded human colon cancer using CSB-PA004839LA01HU at dilution of 1:100

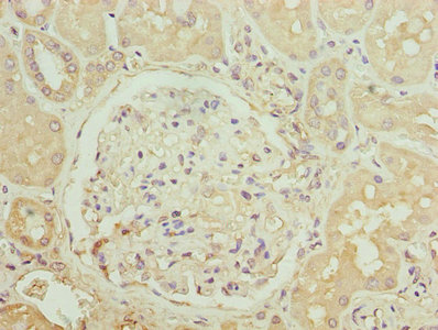
Immunohistochemistry of paraffin-embedded human kidney tissue using CSB-PA004839LA01HU at dilution of 1:100

Immunofluorescent analysis of U251 cells using CSB-PA004839LA01HU at dilution of 1:100 and Alexa Fluor 488-congugated AffiniPure Goat Anti-Rabbit IgG(H+L)
CCR1 Antibodies
CCR1 for Homo sapiens (Human)
產品貨號 | 產品名稱 | 種屬反應性 | 應用類型 |
---|---|---|---|
CSB-PA004839LA01HU | CCR1 Antibody | Human | ELISA, IHC, IF |
CCR1 Proteins
CCR1 Proteins for Homo sapiens (Human)
產品貨號 | 產品名稱 | 來源 |
---|---|---|
CSB-YP004839HU1 CSB-BP004839HU1 CSB-MP004839HU1 CSB-EP004839HU1-B |
Recombinant Human C-C chemokine receptor type 1 (CCR1), partial | Yeast Baculovirus Mammalian cell In Vivo Biotinylation in E.coli |
CSB-CF004839HU | Recombinant Human C-C chemokine receptor type 1 (CCR1) | in vitro E.coli expression system |
CSB-EP004839HU1 | Recombinant Human C-C chemokine receptor type 1 (CCR1), partial | E.coli |
CSB-MP004839HU | Recombinant Human C-C chemokine receptor type 1 (CCR1)-VLPs (Active) | Mammalian cell |
CCR1 Proteins for Mus musculus (Mouse)
產品貨號 | 產品名稱 | 來源 |
---|---|---|
CSB-YP004839MO1 CSB-EP004839MO1 CSB-BP004839MO1 CSB-MP004839MO1 CSB-EP004839MO1-B |
Recombinant Mouse C-C chemokine receptor type 1 (Ccr1), partial | Yeast E.coli Baculovirus Mammalian cell In Vivo Biotinylation in E.coli |
CSB-CF004839MO | Recombinant Mouse C-C chemokine receptor type 1 (Ccr1) | in vitro E.coli expression system |
CCR1 Proteins for Macaca mulatta (Rhesus macaque)
產品貨號 | 產品名稱 | 來源 |
---|---|---|
CSB-YP004839MOW1 CSB-EP004839MOW1 CSB-BP004839MOW1 CSB-MP004839MOW1 CSB-EP004839MOW1-B |
Recombinant Macaca mulatta (Rhesus macaque) C-C chemokine receptor type 1 (CCR1), partial | Yeast E.coli Baculovirus Mammalian cell In Vivo Biotinylation in E.coli |
CSB-CF004839MOW | Recombinant Macaca mulatta (Rhesus macaque) C-C chemokine receptor type 1 (CCR1) | in vitro E.coli expression system |
CCR1 Proteins for Schizosaccharomyces pombe (strain 972 / ATCC 24843) (Fission yeast)
產品貨號 | 產品名稱 | 來源 |
---|---|---|
CSB-YP018378SXV1 CSB-EP018378SXV1 CSB-BP018378SXV1 CSB-MP018378SXV1 CSB-EP018378SXV1-B |
Recombinant Schizosaccharomyces pombe NADPH--cytochrome P450 reductase (ccr1), partial | Yeast E.coli Baculovirus Mammalian cell In Vivo Biotinylation in E.coli |
CSB-CF018378SXV | Recombinant Schizosaccharomyces pombe NADPH--cytochrome P450 reductase (ccr1) | in vitro E.coli expression system |
CCR1 Proteins for Macaca fascicularis (Crab-eating macaque) (Cynomolgus monkey)
產品貨號 | 產品名稱 | 來源 |
---|---|---|
CSB-YP650508MOV CSB-EP650508MOV CSB-BP650508MOV CSB-MP650508MOV CSB-EP650508MOV-B |
Recombinant Macaca fascicularis C-C chemokine receptor type 1 (CCR1), partial | Yeast E.coli Baculovirus Mammalian cell In Vivo Biotinylation in E.coli |
CCR1 Proteins for Arabidopsis thaliana (Mouse-ear cress)
產品貨號 | 產品名稱 | 來源 |
---|---|---|
CSB-YP879677DOA CSB-EP879677DOA CSB-BP879677DOA CSB-MP879677DOA CSB-EP879677DOA-B |
Recombinant Arabidopsis thaliana Serine/threonine-protein kinase-like protein CCR1 (CCR1), partial | Yeast E.coli Baculovirus Mammalian cell In Vivo Biotinylation in E.coli |