CMPK1
CMPK1,即胞苷/尿苷單磷酸激酶1,別名CK、CMK、UMP-CMPK、UMPK等。它來源于人類基因編碼,是一種參與細胞核酸生物合成的關鍵酶。CMPK1的作用機制是通過催化ATP的磷酸基團轉移到CMP、UMP或dCMP上,形成相應的二磷酸核苷酸。CMPK1對于嘧啶核苷酸的從頭生物合成至關重要,是合成重要細胞構件的關鍵步驟,對細胞核苷酸代謝及多種細胞過程具有潛在影響。
熱銷產品
CMPK1 Antibody (CSB-PA005616ESR2HU)
驗證數據

Western blot
All lanes: CMPK1 antibody at 3.55µg/ml
Lane 1: 293T whole cell lysate
Lane 2: Hela whole cell lysate
Secondary
Goat polyclonal to rabbit IgG at 1/10000 dilution
Predicted band size: 23, 17 kDa
Observed band size: 23 kDa

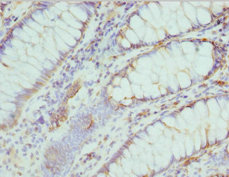
Immunohistochemistry of paraffin-embedded human colon cancer using CSB-PA005616ESR2HU at dilution of 1:100
CMPK1 Antibodies
CMPK1 for Homo sapiens (Human)
產品貨號 | 產品名稱 | 種屬反應性 | 應用類型 |
---|---|---|---|
CSB-PA005616GA01HU | CMPK1 Antibody | Human,Mouse,Rat | ELISA,WB,IHC |
CSB-PA273078 | CMPK1 Antibody | Human,Mouse,Rat | ELISA,WB |
CSB-PA004391 | CMPK1 Antibody | Human,Mouse,Rat | WB, IHC, IF, ELISA |
CSB-PA005616ESR2HU | CMPK1 Antibody | Human | ELISA, WB, IHC |
CMPK1 Proteins
CMPK1 Proteins for Homo sapiens (Human)
產品貨號 | 產品名稱 | 來源 |
---|---|---|
CSB-YP005616HU CSB-EP005616HU CSB-BP005616HU CSB-MP005616HU CSB-EP005616HU-B |
Recombinant Human UMP-CMP kinase (CMPK1) | Yeast E.coli Baculovirus Mammalian cell In Vivo Biotinylation in E.coli |