COL4A3
COL4A3,即膠原蛋白IV型α3鏈,別名Collagen type IV alpha 3 chain,屬于膠原蛋白家族,是IV型膠原蛋白的一個亞型。COL4A3基因位于人染色體2q36-q37上,含有52個外顯子,編碼產物為8,114 bp的mRNA和162,000的蛋白質。
COL4A3的分布僅限于具有組織特異性的基底膜,如腎小球基底膜、耳蝸基底膜、前晶狀體囊的眼基底膜、Descemet膜、卵巢和睪丸基底膜,以及肺泡毛細血管基底膜。COL4A3在細胞黏附功能中起作用,參與多種腫瘤的侵襲和轉移,包括乳腺癌、胃癌、肺癌等。在腎臟疾病中,COL4A3基因的突變與Alport綜合征相關,表現為遺傳性腎病和聽力損失。COL4A3還與良性家族性血尿、終末期腎病等疾病相關。
熱銷產品
Recombinant Human Collagen alpha-3 (IV) chain (COL4A3), partial (CSB-EP005743HU)
驗證數據

(Tris-Glycine gel) Discontinuous SDS-PAGE (reduced) with 5% enrichment gel and 15% separation gel.
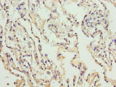
COL4A3 Antibody (CSB-PA005743LA01HU)
驗證數據

Immunohistochemistry of paraffin-embedded human lung tissue using CSB-PA005743LA01HU at dilution of 1:100
Human Collagen alpha-3(IV) chain (COL4A3) ELISA kit (CSB-EL005743HU)
驗證數據

貨號:CSB-EL005743HU
規格:96T/48T
靈敏度:0.039 ng/mL
檢測范圍:0.156 ng/mL-10 ng/mL
These standard curves are provided for demonstration only. A standard curve should be generated for each set of samples assayed.
COL4A3 Antibodies
COL4A3 for Homo sapiens (Human)
產品貨號 | 產品名稱 | 種屬反應性 | 應用類型 |
---|---|---|---|
CSB-PA005743LA01HU | COL4A3 Antibody | Human | ELISA, IHC |
CSB-PA005743LD01HU | COL4A3 Antibody, Biotin conjugated | Human | ELISA |
CSB-PA000042 | Cleaved-COL4A3 (L1425) Antibody | Human | WB, ELISA |
CSB-PA000064 | Cleaved-COL4A3 (P1426) Antibody | Human,Monkey | WB, ELISA |
CSB-PA007069 | COL4A3 Antibody | Human | IHC, IF, ELISA |
CSB-PA129196 | COL4A3 Antibody | Human,Mouse | ELISA,IHC |
CSB-PA345280 | COL4A3 Antibody | Human,Mouse | ELISA,IHC |
COL4A3 Proteins
COL4A3 Proteins for Bos taurus (Bovine)
產品貨號 | 產品名稱 | 來源 |
---|---|---|
CSB-YP631697BO1 CSB-BP631697BO1 CSB-MP631697BO1 CSB-EP631697BO1-B |
Recombinant Bovine Collagen alpha-3 (IV) chain (COL4A3), partial | Yeast Baculovirus Mammalian cell In Vivo Biotinylation in E.coli |
CSB-EP631697BO1 | Recombinant Bovine Collagen alpha-3 (IV) chain (COL4A3), partial | E.coli |
COL4A3 Proteins for Mus musculus (Mouse)
產品貨號 | 產品名稱 | 來源 |
---|---|---|
CSB-YP865615MO CSB-BP865615MO CSB-MP865615MO CSB-EP865615MO-B |
Recombinant Mouse Collagen alpha-3 (IV) chain (Col4a3), partial | Yeast Baculovirus Mammalian cell In Vivo Biotinylation in E.coli |
COL4A3 Proteins for Homo sapiens (Human)
產品貨號 | 產品名稱 | 來源 |
---|---|---|
CSB-EP005743HU | Recombinant Human Collagen alpha-3 (IV) chain (COL4A3), partial | E.coli |
COL4A3 ELISA Kit
COL4A3 ELISA Kit for Homo sapiens (Human)
產品貨號 | 產品名稱 | 樣本類型 | 靈敏度 |
---|---|---|---|
CSB-EL005743HU | Human Collagen alpha-3(IV) chain (COL4A3) ELISA kit | serum, plasma, tissue homogenates | 0.039 ng/mL |