CRP
CRP,即C反應蛋白。別名PTX1。它是一種在機體受到感染或組織損傷時血漿中急劇上升的急性期蛋白,主要在肝臟中合成。CRP可以激活補體系統,加強吞噬細胞的吞噬作用,從而在機體的天然免疫過程中發揮重要的保護作用。CRP不僅是一種非特異性的炎癥標志物,其本身直接參與了炎癥反應與動脈粥樣硬化等心血管疾病,并且是心血管疾病強有力的預示因子與危險因子。CRP與補體C1q及FcTR的相互作用使其表現出多種生物活性,包括宿主對感染的防御反應、對炎癥反應的吞噬作用和調節作用等。臨床上,CRP的測定對于炎癥性疾病的診斷、療效觀察和預后評估具有重要價值。此外,CRP的高水平也與惡性腫瘤、自身免疫性疾病等有關。
熱銷產品
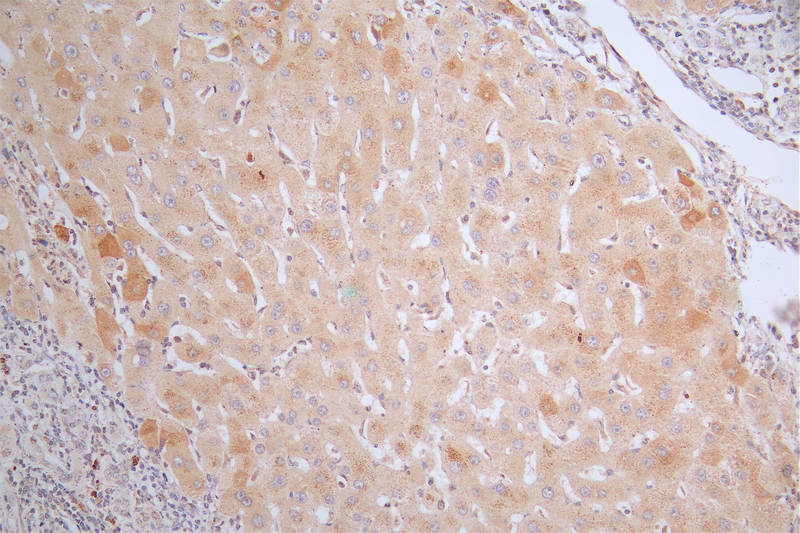
CRP Recombinant Monoclonal Antibody (CSB-RA988767A0HU)
驗證數據

IHC image of CSB-RA988767A0HU diluted at 1:50 and staining in paraffin-embedded human liver cancer performed on a Leica BondTM system. After dewaxing and hydration, antigen retrieval was mediated by high pressure in a citrate buffer (pH 6.0). Section was blocked with 10% normal goat serum 30min at RT. Then primary antibody (1% BSA) was incubated at 4°C overnight. The primary is detected by a Goat anti-rabbit polymer IgG labeled by HRP and visualized using 0.38% DAB.
CRP Antibodies
CRP for Homo sapiens (Human)
產品貨號 | 產品名稱 | 種屬反應性 | 應用類型 |
---|---|---|---|
CSB-PA06079A0Rb | CRP Antibody | Human | ELISA, WB, IHC |
CSB-PA06079D0Rb | CRP Antibody, Biotin conjugated | Human | ELISA |
CSB-PA06079B0Rb | CRP Antibody, HRP conjugated | Human | ELISA |
CSB-MA027411E0m | CRP Monoclonal Antibody | Human | ELISA,IHC |
CSB-PA005116 | CRP Antibody | Human,Rat | WB, ELISA |
CSB-PA181901 | CRP Antibody | Human | ELISA,WB,IHC |
CSB-PA790121 | CRP Antibody | Human | ELISA,WB,IHC |
CSB-RA988767A0HU | CRP Recombinant Monoclonal Antibody | Human | ELISA, IHC |
CRP for Escherichia coli
產品貨號 | 產品名稱 | 種屬反應性 | 應用類型 |
---|---|---|---|
CSB-PA359785LA01ENV | crp Antibody | Escherichia coli | ELISA |
CSB-PA359785LB01ENV | crp Antibody, HRP conjugated | Escherichia coli | ELISA |
CSB-PA359785LC01ENV | crp Antibody, FITC conjugated | Escherichia coli |
CRP Proteins
CRP Proteins for Mus musculus (Mouse)
產品貨號 | 產品名稱 | 來源 |
---|---|---|
CSB-YP005991MO CSB-EP005991MO CSB-BP005991MO CSB-MP005991MO CSB-EP005991MO-B |
Recombinant Mouse C-reactive protein (Crp) | Yeast E.coli Baculovirus Mammalian cell In Vivo Biotinylation in E.coli |
CRP Proteins for Cavia porcellus (Guinea pig)
產品貨號 | 產品名稱 | 來源 |
---|---|---|
CSB-YP005991GU CSB-EP005991GU CSB-BP005991GU CSB-MP005991GU CSB-EP005991GU-B |
Recombinant Guinea pig C-reactive protein (CRP) | Yeast E.coli Baculovirus Mammalian cell In Vivo Biotinylation in E.coli |
CRP Proteins for Oryctolagus cuniculus (Rabbit)
產品貨號 | 產品名稱 | 來源 |
---|---|---|
CSB-YP005991RB CSB-EP005991RB CSB-BP005991RB CSB-MP005991RB CSB-EP005991RB-B |
Recombinant Rabbit C-reactive protein (CRP) | Yeast E.coli Baculovirus Mammalian cell In Vivo Biotinylation in E.coli |
CRP Proteins for Sus scrofa (Pig)
產品貨號 | 產品名稱 | 來源 |
---|---|---|
CSB-YP005991PI CSB-EP005991PI CSB-BP005991PI CSB-MP005991PI CSB-EP005991PI-B |
Recombinant Pig C-reactive protein (CRP) | Yeast E.coli Baculovirus Mammalian cell In Vivo Biotinylation in E.coli |
CRP Proteins for Haemophilus influenzae (strain ATCC 51907 / DSM 11121 / KW20 / Rd)
產品貨號 | 產品名稱 | 來源 |
---|---|---|
CSB-YP329895HTA CSB-EP329895HTA CSB-BP329895HTA CSB-MP329895HTA CSB-EP329895HTA-B |
Recombinant Haemophilus influenzae Catabolite gene activator (crp) | Yeast E.coli Baculovirus Mammalian cell In Vivo Biotinylation in E.coli |
CRP Proteins for Cryphonectria parasitica (Chesnut blight fungus) (Endothia parasitica)
產品貨號 | 產品名稱 | 來源 |
---|---|---|
CSB-YP347356DYH CSB-EP347356DYH CSB-BP347356DYH CSB-MP347356DYH CSB-EP347356DYH-B |
Recombinant Cryphonectria parasitica Cryparin (CRP) | Yeast E.coli Baculovirus Mammalian cell In Vivo Biotinylation in E.coli |
CRP Proteins for Enterobacter aerogenes (Aerobacter aerogenes)
產品貨號 | 產品名稱 | 來源 |
---|---|---|
CSB-YP358281EKN CSB-EP358281EKN CSB-BP358281EKN CSB-MP358281EKN CSB-EP358281EKN-B |
Recombinant Enterobacter aerogenes Catabolite gene activator (crp) | Yeast E.coli Baculovirus Mammalian cell In Vivo Biotinylation in E.coli |
CRP Proteins for Escherichia coli O6
產品貨號 | 產品名稱 | 來源 |
---|---|---|
CSB-YP359785EGX CSB-EP359785EGX CSB-BP359785EGX CSB-MP359785EGX CSB-EP359785EGX-B |
Recombinant Escherichia coli O6:H1 cAMP-activated global transcriptional regulator CRP (crp) | Yeast E.coli Baculovirus Mammalian cell In Vivo Biotinylation in E.coli |
CRP Proteins for Shigella flexneri
產品貨號 | 產品名稱 | 來源 |
---|---|---|
CSB-YP359786SZB CSB-EP359786SZB CSB-BP359786SZB CSB-MP359786SZB CSB-EP359786SZB-B |
Recombinant Catabolite gene activator (crp) | Yeast E.coli Baculovirus Mammalian cell In Vivo Biotinylation in E.coli |
CRP Proteins for Salmonella typhimurium (strain LT2 / SGSC1412 / ATCC 700720)
產品貨號 | 產品名稱 | 來源 |
---|---|---|
CSB-YP363305SXB CSB-EP363305SXB CSB-BP363305SXB CSB-MP363305SXB CSB-EP363305SXB-B |
Recombinant Salmonella typhimurium Catabolite gene activator (crp) | Yeast E.coli Baculovirus Mammalian cell In Vivo Biotinylation in E.coli |
CRP Proteins for Escherichia coli (strain K12)
產品貨號 | 產品名稱 | 來源 |
---|---|---|
CSB-YP364814ENV CSB-EP364814ENV CSB-BP364814ENV CSB-MP364814ENV CSB-EP364814ENV-B |
Recombinant Escherichia coli cAMP-activated global transcriptional regulator CRP (crp) | Yeast E.coli Baculovirus Mammalian cell In Vivo Biotinylation in E.coli |
CRP Proteins for Escherichia coli O157:H7
產品貨號 | 產品名稱 | 來源 |
---|---|---|
CSB-YP364815EOD CSB-EP364815EOD CSB-BP364815EOD CSB-MP364815EOD CSB-EP364815EOD-B |
Recombinant Catabolite gene activator (crp) | Yeast E.coli Baculovirus Mammalian cell In Vivo Biotinylation in E.coli |
CRP Proteins for Pasteurella multocida (strain Pm70)
產品貨號 | 產品名稱 | 來源 |
---|---|---|
CSB-YP519119ESG CSB-EP519119ESG CSB-BP519119ESG CSB-MP519119ESG CSB-EP519119ESG-B |
Recombinant Pasteurella multocida Catabolite gene activator (crp) | Yeast E.coli Baculovirus Mammalian cell In Vivo Biotinylation in E.coli |
CRP Proteins for Homo sapiens (Human)
產品貨號 | 產品名稱 | 來源 |
---|---|---|
CSB-EP005991HU | Recombinant Human C-reactive protein (CRP) | E.coli |
CRP ELISA Kit
CRP ELISA Kit for Mus musculus (Mouse)
產品貨號 | 產品名稱 | 樣本類型 | 靈敏度 |
---|---|---|---|
CSB-E07923m | Mouse C-Reactive Protein,CRP ELISA Kit | serum, plasma, cell culture supernates, tissue homogenates | 3.9 ng/mL |
CSB-E07923m(1) | Mouse C-Reactive Protein,CRP ELISA Kit | serum, plasma, tissue homogenates | 5 ng/mL |
CRP ELISA Kit for Sus scrofa (Pig)
產品貨號 | 產品名稱 | 樣本類型 | 靈敏度 |
---|---|---|---|
CSB-E08163p | Pig C-reactive protein,CRP ELISA Kit | serum, plasma, tissue homogenates | 0.156 ng/mL |
CRP ELISA Kit for Oryctolagus cuniculus (Rabbit)
產品貨號 | 產品名稱 | 樣本類型 | 靈敏度 |
---|---|---|---|
CSB-E06847Rb | Rabbit C-Reactive Protein,CRP ELISA Kit | serum, plasma | 2 pg/mL |
CRP ELISA Kit for Rattus norvegicus (Rat)
產品貨號 | 產品名稱 | 樣本類型 | 靈敏度 |
---|---|---|---|
CSB-E07922r | Rat C-Reactive Protein,CRP ELISA Kit | serum, plasma, cell culture supernates, tissue homogenates, cell lysates | 7.81 ng/mL |
CRP ELISA Kit for Homo sapiens (Human)
產品貨號 | 產品名稱 | 樣本類型 | 靈敏度 |
---|---|---|---|
CSB-E08617h | Human high sensitivity C-Reactive Protein,hs-CRP ELISA Kit | serum, plasma, cell culture supernates, tissue homogenates | 0.156 ng/mL |
CSB-E08617h-IS | Human high sensitivity C-Reactive Protein,hs-CRP ELISA Kit | serum, plasma, cell culture supernates, tissue homogenates | 0.39 ng/mL |
CRP ELISA Kit for Mesocricetus auratus (Golden hamster)
產品貨號 | 產品名稱 | 樣本類型 | 靈敏度 |
---|---|---|---|
CSB-EL005991HA | Hamster C-reactive protein(CRP) ELISA Kit | serum, plasma, tissue homogenates | 3.12 ng/mL |