CTSK
CTSK,即組織蛋白酶K。別名Cathepsin K,它是一種由破骨細胞分泌的半胱氨酸蛋白酶,對骨吸收過程中的基質膠原的降解至關重要。CTSK主要在破骨細胞中表達,但在其他類型的細胞中也有發現,如軟骨細胞和某些腫瘤細胞。CTSK在降解骨基質中起關鍵作用,其活性受多種因素調節,包括pH值和特異性抑制劑。CTSK的作用機制涉及其對骨基質中膠原蛋白的降解,這一過程對骨重塑和礦化至關重要。CTSK的異常表達或活性與多種疾病相關,包括但不限于骨疾病和腫瘤。在癌癥中,CTSK可能參與腫瘤的生長和轉移,其表達水平的變化與腫瘤的侵襲性和預后相關。CTSK被認為是治療骨質疏松癥和某些癌癥的潛在靶點。
熱銷產品
Recombinant Human Cathepsin K (CTSK) (CSB-EP006192HU)
驗證數據

(Tris-Glycine gel) Discontinuous SDS-PAGE (reduced) with 5% enrichment gel and 15% separation gel.
CTSK Antibody (CSB-PA006192ESR1HU)
驗證數據

Western blot
All lanes: CTSK antibody at 8μg/ml
Lane 1: MCF-7 whole cell lysate
Lane 2: Rat brain tissue
Secondary
Goat polyclonal to rabbit IgG at 1/10000 dilution
Predicted band size: 37 kDa
Observed band size: 37 kDa

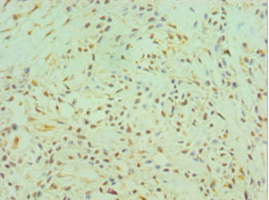
Immunohistochemistry of paraffin-embedded human breast cancer using CSB-PA006192ESR1HU at dilution of 1:100

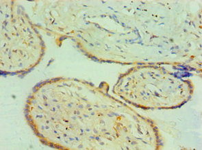
Immunohistochemistry of paraffin-embedded human placenta tissue using CSB-PA006192ESR1HU at dilution of 1:100
Human Cathepsin K,cath-K ELISA Kit (CSB-E09438h)
驗證數據

貨號:CSB-E09438h
規格:96T/48T
靈敏度:1.95 pg/mL
檢測范圍:7.8 pg/mL-500 pg/mL
These standard curves are provided for demonstration only. A standard curve should be generated for each set of samples assayed.
CTSK Antibodies
CTSK for Rattus norvegicus (Rat)
產品貨號 | 產品名稱 | 種屬反應性 | 應用類型 |
---|---|---|---|
CSB-PA006192LA01RA | Ctsk Antibody | Rat | ELISA, IHC |
CTSK for Homo sapiens (Human)
產品貨號 | 產品名稱 | 種屬反應性 | 應用類型 |
---|---|---|---|
CSB-PA006192GA01HU | CTSK Antibody | Human,Mouse,Rat | ELISA,WB,IHC |
CSB-PA15119A0Rb | CTSK Antibody | Human | ELISA |
CSB-PA006192ESR1HU | CTSK Antibody | Human, Rat | ELISA, WB, IHC |
CSB-PA039740 | CTSK Antibody | Human,Mouse,Rat | ELISA,IHC |
CSB-PA145433 | CTSK Antibody | Human,Mouse,Rat | ELISA,IHC |
CTSK Proteins
CTSK Proteins for Homo sapiens (Human)
產品貨號 | 產品名稱 | 來源 |
---|---|---|
CSB-YP006192HU | Recombinant Human Cathepsin K (CTSK) | Yeast |
CSB-EP006192HU | Recombinant Human Cathepsin K (CTSK) | E.coli |
CSB-BP006192HU CSB-MP006192HU CSB-EP006192HU-B |
Recombinant Human Cathepsin K (CTSK) | Baculovirus Mammalian cell In Vivo Biotinylation in E.coli |
CTSK Proteins for Oryctolagus cuniculus (Rabbit)
產品貨號 | 產品名稱 | 來源 |
---|---|---|
CSB-YP006192RB CSB-BP006192RB CSB-MP006192RB CSB-EP006192RB-B |
Recombinant Rabbit Cathepsin K (CTSK) | Yeast Baculovirus Mammalian cell In Vivo Biotinylation in E.coli |
CSB-EP006192RB | Recombinant Rabbit Cathepsin K (Ctsk) | E.coli |
CTSK Proteins for Mus musculus (Mouse)
產品貨號 | 產品名稱 | 來源 |
---|---|---|
CSB-YP006192MO CSB-BP006192MO CSB-MP006192MO CSB-EP006192MO-B |
Recombinant Mouse Cathepsin K (Ctsk) | Yeast Baculovirus Mammalian cell In Vivo Biotinylation in E.coli |
CSB-EP006192MO | Recombinant Mouse Cathepsin K (Ctsk) | E.coli |
CTSK Proteins for Macaca mulatta (Rhesus macaque)
產品貨號 | 產品名稱 | 來源 |
---|---|---|
CSB-YP006192MOW CSB-EP006192MOW CSB-BP006192MOW CSB-MP006192MOW CSB-EP006192MOW-B |
Recombinant Macaca mulatta (Rhesus macaque) Cathepsin K (CTSK) | Yeast E.coli Baculovirus Mammalian cell In Vivo Biotinylation in E.coli |
CTSK Proteins for Rattus norvegicus (Rat)
產品貨號 | 產品名稱 | 來源 |
---|---|---|
CSB-YP006192RA CSB-BP006192RA CSB-MP006192RA CSB-EP006192RA-B |
Recombinant Rat Cathepsin K (Ctsk) | Yeast Baculovirus Mammalian cell In Vivo Biotinylation in E.coli |
CSB-EP006192RA | Recombinant Rat Cathepsin K (Ctsk) | E.coli |
CTSK Proteins for Macaca fascicularis (Crab-eating macaque) (Cynomolgus monkey)
產品貨號 | 產品名稱 | 來源 |
---|---|---|
CSB-YP006192MOV CSB-BP006192MOV CSB-MP006192MOV CSB-EP006192MOV-B |
Recombinant Macaca fascicularis Cathepsin K (CTSK) | Yeast Baculovirus Mammalian cell In Vivo Biotinylation in E.coli |
CSB-EP006192MOV | Recombinant Macaca fascicularis Cathepsin K (CTSK) | E.coli |
CTSK Proteins for Gallus gallus (Chicken)
產品貨號 | 產品名稱 | 來源 |
---|---|---|
CSB-YP006192CH CSB-EP006192CH CSB-BP006192CH CSB-MP006192CH CSB-EP006192CH-B |
Recombinant Chicken Cathepsin K (CTSK) | Yeast E.coli Baculovirus Mammalian cell In Vivo Biotinylation in E.coli |
CTSK Proteins for Sus scrofa (Pig)
產品貨號 | 產品名稱 | 來源 |
---|---|---|
CSB-YP006192PI CSB-EP006192PI CSB-BP006192PI CSB-MP006192PI CSB-EP006192PI-B |
Recombinant Pig Cathepsin K (CTSK) | Yeast E.coli Baculovirus Mammalian cell In Vivo Biotinylation in E.coli |
CTSK Proteins for Canis familiaris (Dog) (Canis lupus familiaris)
產品貨號 | 產品名稱 | 來源 |
---|---|---|
CSB-YP006192DO CSB-BP006192DO CSB-MP006192DO CSB-EP006192DO-B |
Recombinant Dog Cathepsin K (CTSK) | Yeast Baculovirus Mammalian cell In Vivo Biotinylation in E.coli |
CTSK Proteins for Bos taurus (Bovine)
產品貨號 | 產品名稱 | 來源 |
---|---|---|
CSB-YP006192BO CSB-EP006192BO CSB-BP006192BO CSB-MP006192BO CSB-EP006192BO-B |
Recombinant Bovine Cathepsin K (CTSK) | Yeast E.coli Baculovirus Mammalian cell In Vivo Biotinylation in E.coli |
CTSK Proteins for Canis lupus familiaris (Dog) (Canis familiaris)
產品貨號 | 產品名稱 | 來源 |
---|---|---|
CSB-EP006192DO | Recombinant Dog Cathepsin K (CTSK) | E.coli |
CTSK ELISA Kit
CTSK ELISA Kit for Homo sapiens (Human)
產品貨號 | 產品名稱 | 樣本類型 | 靈敏度 |
---|---|---|---|
CSB-E09438h | Human Cathepsin K,cath-K ELISA Kit | serum, plasma, tissue homogenates | 1.95 pg/mL |
CTSK ELISA Kit for Mus musculus (Mouse)
產品貨號 | 產品名稱 | 樣本類型 | 靈敏度 |
---|---|---|---|
CSB-E09440m | Mouse Cathepsin K,cath-K ELISA Kit | serum, plasma, tissue homogenates | 3.9 pg/mL |
CTSK ELISA Kit for Rattus norvegicus (Rat)
產品貨號 | 產品名稱 | 樣本類型 | 靈敏度 |
---|---|---|---|
CSB-E09439r | Rat Cathepsin K,cath-K ELISA Kit | serum, plasma, tissue homogenates | 3.9 pg/mL |