CXCL10
CXCL10,即C-X-C基序趨化因子配體10,別名IP-10、crg-2、mob-1等。它是一種由多種細胞類型在干擾素-γ(IFN-γ)刺激下產生的小分子細胞因子,屬于CXC趨化因子家族。CXCL10的主要作用機制是通過與其特異性受體CXCR3結合,發揮趨化作用,吸引單核細胞、自然殺傷細胞和T細胞等免疫細胞遷移至炎癥或感染區域。CXCL10參與調節免疫應答、促進細胞黏附、抗腫瘤活性以及抑制骨髓集落形成和血管生成等。此外,CXCL10在多種病理過程中發揮作用,包括惡性腫瘤的發生發展、病毒性肝炎等,其表達水平的變化與疾病的嚴重程度和預后密切相關。
熱銷產品
CXCL10 Recombinant Monoclonal Antibody (CSB-RA903061A0HU)
驗證數據

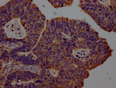
IHC image of CSB-RA903061A0HU diluted at 1:100 and staining in paraffin-embedded human ovarian cancer performed on a Leica BondTM system. After dewaxing and hydration, antigen retrieval was mediated by high pressure in a citrate buffer (pH 6.0). Section was blocked with 10% normal goat serum 30min at RT. Then primary antibody (1% BSA) was incubated at 4℃ overnight. The primary is detected by a Goat anti-rabbit IgG polymer labeled by HRP and visualized using 0.05% DAB.
CXCL10 Antibodies
CXCL10 for Homo sapiens (Human)
產品貨號 | 產品名稱 | 種屬反應性 | 應用類型 |
---|---|---|---|
CSB-PA06107C0Rb | CXCL10 Antibody, FITC conjugated | Human | |
CSB-PA06107A0Rb | CXCL10 Antibody | Human | ELISA |
CSB-PA06107B0Rb | CXCL10 Antibody, HRP conjugated | Human | ELISA |
CSB-PA761371 | CXCL10 Antibody | Human | IHC, ELISA |
CSB-RA903061A0HU | CXCL10 Recombinant Monoclonal Antibody | Human | ELISA, IHC |
CXCL10 for Macaca mulatta
產品貨號 | 產品名稱 | 種屬反應性 | 應用類型 |
---|---|---|---|
CSB-PA822646LA01MOW | CXCL10 Antibody | Macaca mulatta | ELISA |
CXCL10 Proteins
CXCL10 Proteins for Mus musculus (Mouse)
產品貨號 | 產品名稱 | 來源 |
---|---|---|
CSB-YP006240MO CSB-BP006240MO CSB-MP006240MO CSB-EP006240MO-B |
Recombinant Mouse C-X-C motif chemokine 10 (Cxcl10) | Yeast Baculovirus Mammalian cell In Vivo Biotinylation in E.coli |
CSB-EP006240MO | Recombinant Mouse C-X-C motif chemokine 10 (Cxcl10) | E.coli |
CSB-AP001141MO | Recombinant Mouse C-X-C motif chemokine 10 protein (Cxcl10) | E.Coli |
CXCL10 Proteins for Rattus norvegicus (Rat)
產品貨號 | 產品名稱 | 來源 |
---|---|---|
CSB-YP006240RA CSB-EP006240RA CSB-BP006240RA CSB-MP006240RA CSB-EP006240RA-B |
Recombinant Rat C-X-C motif chemokine 10 (Cxcl10) | Yeast E.coli Baculovirus Mammalian cell In Vivo Biotinylation in E.coli |
CSB-AP001451RA | Recombinant Rat C-X-C motif chemokine 10 protein (Cxcl10) | E.Coli |
CXCL10 Proteins for Homo sapiens (Human)
產品貨號 | 產品名稱 | 來源 |
---|---|---|
CSB-YP006240HU | Recombinant Human C-X-C motif chemokine 10 (CXCL10) | Yeast |
CSB-EP006240HU | Recombinant Human C-X-C motif chemokine 10 protein (CXCL10) | E.coli |
CSB-AP000721HU | Recombinant Human C-X-C motif chemokine 10 protein (CXCL10) (R93M) (Active) | E.Coli |
CSB-MP006240HU | Recombinant Human C-X-C motif chemokine 10 (CXCL10) | Mammalian cell |
CSB-BP006240HU CSB-EP006240HU-B |
Recombinant Human C-X-C motif chemokine 10 (CXCL10) | Baculovirus In Vivo Biotinylation in E.coli |
CSB-EP006240HUc7 | Recombinant Human C-X-C motif chemokine 10 (CXCL10) | E.coli |
CSB-AP003501HU | Recombinant Human C-X-C motif chemokine 10 (CXCL10) (Active) | E.coli |
CXCL10 Proteins for Bos taurus (Bovine)
產品貨號 | 產品名稱 | 來源 |
---|---|---|
CSB-YP644427BO CSB-EP644427BO CSB-BP644427BO CSB-MP644427BO CSB-EP644427BO-B |
Recombinant Bovine C-X-C motif chemokine 10 (CXCL10) | Yeast E.coli Baculovirus Mammalian cell In Vivo Biotinylation in E.coli |
CXCL10 Proteins for Canis familiaris (Dog) (Canis lupus familiaris)
產品貨號 | 產品名稱 | 來源 |
---|---|---|
CSB-YP689357DO CSB-EP689357DO CSB-BP689357DO CSB-MP689357DO CSB-EP689357DO-B |
Recombinant Dog C-X-C motif chemokine 10 (CXCL10) | Yeast E.coli Baculovirus Mammalian cell In Vivo Biotinylation in E.coli |
CXCL10 Proteins for Macaca nemestrina (Pig-tailed macaque)
產品貨號 | 產品名稱 | 來源 |
---|---|---|
CSB-YP803036MOX CSB-EP803036MOX CSB-BP803036MOX CSB-MP803036MOX CSB-EP803036MOX-B |
Recombinant Macaca nemestrina C-X-C motif chemokine 10 (CXCL10) | Yeast E.coli Baculovirus Mammalian cell In Vivo Biotinylation in E.coli |
CXCL10 Proteins for Macaca mulatta (Rhesus macaque)
產品貨號 | 產品名稱 | 來源 |
---|---|---|
CSB-YP822646MOW CSB-BP822646MOW CSB-MP822646MOW CSB-EP822646MOW-B |
Recombinant Macaca mulatta C-X-C motif chemokine 10 (CXCL10) | Yeast Baculovirus Mammalian cell In Vivo Biotinylation in E.coli |
CSB-EP822646MOW | Recombinant Macaca mulatta C-X-C motif chemokine 10 (CXCL10) | E.coli |
CSB-AP001031MOW | Recombinant Macaca mulatta C-X-C motif chemokine 10 protein (CXCL10) | E.Coli |
CXCL10 ELISA Kit
CXCL10 ELISA Kit for Homo sapiens (Human)
產品貨號 | 產品名稱 | 樣本類型 | 靈敏度 |
---|---|---|---|
CSB-E08181h | Human interferon-inducible protein 10,IP-10 ELISA Kit | serum, plasma, tissue homogenates | 7.8 pg/mL |
CSB-E08181h-IS | Human interferon-inducible protein 10,IP-10 ELISA Kit | serum, plasma, tissue homogenates | 3.9 pg/mL |
CXCL10 ELISA Kit for Monkey
產品貨號 | 產品名稱 | 樣本類型 | 靈敏度 |
---|---|---|---|
CSB-EL006240RH | Monkey C-X-C motif chemokine 10(CXCL10) ELISA kit | serum, plasma, tissue homogenates | 15.6 pg/mL |
CXCL10 ELISA Kit for Mus musculus (Mouse)
產品貨號 | 產品名稱 | 樣本類型 | 靈敏度 |
---|---|---|---|
CSB-E08183m | Mouse interferon-inducible protein 10,IP-10 ELISA Kit | serum, plasma, tissue homogenates | 0.078 ng/ml |
CXCL10 ELISA Kit for Rattus norvegicus (Rat)
產品貨號 | 產品名稱 | 樣本類型 | 靈敏度 |
---|---|---|---|
CSB-E08182r | Rat interferon-inducible protein 10,IP-10 ELISA Kit | serum, plasma, tissue homogenates | 195 pg/mL |