F12
F12,全稱為凝血因子XII(Hageman factor),是一種血清糖蛋白,在啟動血液凝固、纖維蛋白溶解以及緩激肽和血管緊張素的生成中發揮多方面的作用。F12蛋白也被稱為F12因子、HAE3因子、Factor 12,其EC編號為3.4.21.38。F12蛋白在血液中循環作為酶原,在遇到帶負電的表面或錯誤折疊的蛋白質聚集物時被激活,進而參與內源性凝血途徑,促進血液凝固。F12蛋白還參與激肽系統和免疫反應,對維持機體正常生理功能至關重要。F12蛋白的缺乏通常不會導致明顯的臨床癥狀,但在某些情況下,F12蛋白的異常激活可能與血栓形成和炎癥反應有關。目前,針對F12蛋白的藥物研發尚處于早期階段,但已有研究表明,抑制F12蛋白的活性可能有助于預防和治療血栓性疾病和炎癥性疾病。
熱銷產品
Recombinant Human Coagulation factor XII (F12), partial (CSB-EP007918HU)
驗證數據

(Tris-Glycine gel) Discontinuous SDS-PAGE (reduced) with 5% enrichment gel and 15% separation gel.
F12 Antibody (CSB-PA007918LA01HU)
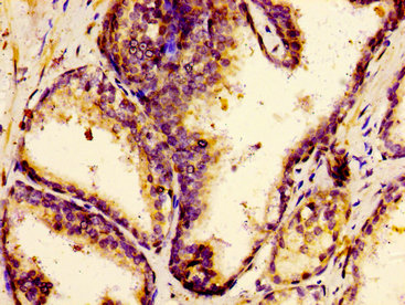
驗證數據

Immunohistochemistry of paraffin-embedded human prostate cancer using CSB-PA007918LA01HU at dilution of 1:100
F12 Antibodies
F12 for Homo sapiens (Human)
產品貨號 | 產品名稱 | 種屬反應性 | 應用類型 |
---|---|---|---|
CSB-PA007918GA01HU | F12 Antibody | Human,Mouse,Rat | ELISA,WB |
CSB-PA000068 | Cleaved-F12 (R372) Antibody | Human | WB, ELISA |
CSB-PA008169 | Cleaved-F12 (I20) Antibody | Human | WB, IHC, ELISA |
CSB-PA007918LA01HU | F12 Antibody | Human | ELISA, IHC |
CSB-PA007918LB01HU | F12 Antibody, HRP conjugated | Human | ELISA |
CSB-PA007918LC01HU | F12 Antibody, FITC conjugated | Human | |
CSB-PA007918LD01HU | F12 Antibody, Biotin conjugated | Human | ELISA |
F12 for Pig
產品貨號 | 產品名稱 | 種屬反應性 | 應用類型 |
---|---|---|---|
CSB-PA007918LA01PI | F12 Antibody | Pig | ELISA |
CSB-PA007918LB01PI | F12 Antibody, HRP conjugated | Pig | ELISA |
CSB-PA007918LC01PI | F12 Antibody, FITC conjugated | Pig | |
CSB-PA007918LD01PI | F12 Antibody, Biotin conjugated | Pig | ELISA |
F12 Proteins
F12 Proteins for Bos taurus (Bovine)
產品貨號 | 產品名稱 | 來源 |
---|---|---|
CSB-YP007918BO CSB-EP007918BO CSB-BP007918BO CSB-MP007918BO CSB-EP007918BO-B |
Recombinant Bovine Coagulation factor XII (F12) | Yeast E.coli Baculovirus Mammalian cell In Vivo Biotinylation in E.coli |
F12 Proteins for Rattus norvegicus (Rat)
產品貨號 | 產品名稱 | 來源 |
---|---|---|
CSB-YP007918RA CSB-EP007918RA CSB-BP007918RA CSB-MP007918RA CSB-EP007918RA-B |
Recombinant Rat Coagulation factor XII (F12), partial | Yeast E.coli Baculovirus Mammalian cell In Vivo Biotinylation in E.coli |
F12 Proteins for Sus scrofa (Pig)
產品貨號 | 產品名稱 | 來源 |
---|---|---|
CSB-YP007918PI | Recombinant Pig Coagulation factor XII (F12), partial | Yeast |
CSB-EP007918PI | Recombinant Pig Coagulation factor XII (F12), partial | E.coli |
CSB-BP007918PI CSB-MP007918PI CSB-EP007918PI-B |
Recombinant Pig Coagulation factor XII (F12), partial | Baculovirus Mammalian cell In Vivo Biotinylation in E.coli |
F12 Proteins for Homo sapiens (Human)
產品貨號 | 產品名稱 | 來源 |
---|---|---|
CSB-YP007918HU CSB-BP007918HU CSB-MP007918HU CSB-EP007918HU-B |
Recombinant Human Coagulation factor XII (F12), partial | Yeast Baculovirus Mammalian cell In Vivo Biotinylation in E.coli |
CSB-EP007918HU | Recombinant Human Coagulation factor XII (F12), partial | E.coli |
F12 Proteins for Mus musculus (Mouse)
產品貨號 | 產品名稱 | 來源 |
---|---|---|
CSB-YP802255MO CSB-EP802255MO CSB-BP802255MO CSB-MP802255MO CSB-EP802255MO-B |
Recombinant Mouse Coagulation factor XII (F12), partial | Yeast E.coli Baculovirus Mammalian cell In Vivo Biotinylation in E.coli |