FBXW7
FBXW7,全名為F-box and WD repeat domain containing 7,常見別名包括AGO、CDC4、FBW6、FBW7、FBX30、FBXO30、FBXW6和hAgo等。該蛋白屬于F-box蛋白家族,參與泛素化調控,通過識別底物并將其連接到泛素鏈上,促進底物的降解。FBXW7蛋白在多種細胞過程中發揮重要作用,包括細胞周期調控、DNA損傷修復和腫瘤抑制等。相關研究表明,FBXW7蛋白在原發性肝癌、乳腺癌和結直腸癌等多種癌癥中表達下調,與腫瘤的發生發展密切相關。此外,FBXW7蛋白還參與Wnt信號通路和Notch信號通路的調控,影響細胞增殖、分化和凋亡等過程。針對FBXW7蛋白的藥物研發已取得一定進展,例如開發FBXW7抑制劑用于治療癌癥,以及利用FBXW7蛋白作為生物標志物進行疾病診斷和預后評估。
熱銷產品
FBXW7 Antibody (CSB-PA822163LA01HU)
驗證數據

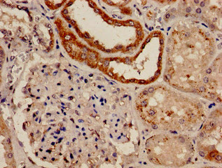
Immunohistochemistry analysis of human kidney tissue using CSB-PA822163LA01HU at dilution of 1:100

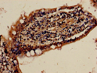
Immunocytochemistry analysis of human small intestine tissue using CSB-PA822163LA01HU at dilution of 1:100
FBXW7 Antibodies
FBXW7 for Homo sapiens (Human)
產品貨號 | 產品名稱 | 種屬反應性 | 應用類型 |
---|---|---|---|
CSB-PA251991 | FBXW7 Antibody | Human,Mouse | ELISA,IHC |
CSB-PA623964 | FBXW7 Antibody | Human,Mouse | ELISA,IHC |
CSB-PA822163LA01HU | FBXW7 Antibody | Human | ELISA, IHC |
CSB-PA822163LB01HU | FBXW7 Antibody, HRP conjugated | Human | ELISA |
CSB-PA822163LD01HU | FBXW7 Antibody, Biotin conjugated | Human | ELISA |
FBXW7 Proteins
FBXW7 Proteins for Homo sapiens (Human)
產品貨號 | 產品名稱 | 來源 |
---|---|---|
CSB-YP822163HU CSB-EP822163HU CSB-BP822163HU CSB-EP822163HU-B |
Recombinant Human F-box/WD repeat-containing protein 7 (FBXW7) | Yeast E.coli Baculovirus In Vivo Biotinylation in E.coli |
FBXW7 Proteins for Mus musculus (Mouse)
產品貨號 | 產品名稱 | 來源 |
---|---|---|
CSB-YP851809MO CSB-EP851809MO CSB-BP851809MO CSB-MP851809MO CSB-EP851809MO-B |
Recombinant Mouse F-box/WD repeat-containing protein 7 (Fbxw7) | Yeast E.coli Baculovirus Mammalian cell In Vivo Biotinylation in E.coli |
FBXW7 Proteins for Homo sapiens(Human)
產品貨號 | 產品名稱 | 來源 |
---|---|---|
CSB-CF822163HU | Recombinant Human F-box/WD repeat-containing protein 7 (FBXW7) | in vitro E.coli expression system |