GCC1
GCC1,即含GRIP和卷曲卷曲結構域1,別名GCC1P、GCC88。它在人體中廣泛表達,尤其在睪丸、骨髓等組織中表達量較高。GCC1編碼的蛋白質是一種外周膜蛋白,對BrefeldinA敏感,包含GRIP結構域,該結構域被認為可用于靶向。它可能在參與膜運輸的跨高爾基體網絡亞室的組織中發揮作用。GCC1可能在細胞內膜運輸和蛋白質靶向過程中起重要作用,與多種細胞功能相關,包括蛋白質的合成、加工和分泌。
熱銷產品
Recombinant Human GRIP and coiled-coil domain-containing protein 1 (GCC1), partial (CSB-EP846598HU)
驗證數據

(Tris-Glycine gel) Discontinuous SDS-PAGE (reduced) with 5% enrichment gel and 15% separation gel.
GCC1 Antibody (CSB-PA846598LA01HU)
驗證數據

Western blot
All lanes: GCC1 antibody at 2µg/ml
Lane 1: Hela whole cell lysate
Lane 2: 293T whole cell lysate
Secondary
Goat polyclonal to rabbit IgG at 1/10000 dilution
Predicted band size: 88 kDa
Observed band size: 88 kDa

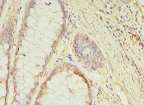
Immunohistochemistry of paraffin-embedded human colon cancer using CSB-PA846598LA01HU at dilution of 1:100

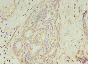
Immunohistochemistry of paraffin-embedded human breast cancer using CSB-PA846598LA01HU at dilution of 1:100
GCC1 Antibodies
GCC1 for Homo sapiens (Human)
產品貨號 | 產品名稱 | 種屬反應性 | 應用類型 |
---|---|---|---|
CSB-PA009310GA01HU | GCC1 Antibody | Human,Mouse,Rat | ELISA,WB |
CSB-PA846598LA01HU | GCC1 Antibody | Human | ELISA, WB, IHC |
CSB-PA846598LB01HU | GCC1 Antibody, HRP conjugated | Human | ELISA |
CSB-PA846598LD01HU | GCC1 Antibody, Biotin conjugated | Human | ELISA |
GCC1 Proteins
GCC1 Proteins for Homo sapiens (Human)
產品貨號 | 產品名稱 | 來源 |
---|---|---|
CSB-YP846598HU CSB-BP846598HU CSB-MP846598HU CSB-EP846598HU-B |
Recombinant Human GRIP and coiled-coil domain-containing protein 1 (GCC1) | Yeast Baculovirus Mammalian cell In Vivo Biotinylation in E.coli |
CSB-EP846598HU | Recombinant Human GRIP and coiled-coil domain-containing protein 1 (GCC1), partial | E.coli |
GCC1 Proteins for Mus musculus (Mouse)
產品貨號 | 產品名稱 | 來源 |
---|---|---|
CSB-YP871980MO CSB-EP871980MO CSB-BP871980MO CSB-MP871980MO CSB-EP871980MO-B |
Recombinant Mouse GRIP and coiled-coil domain-containing protein 1 (Gcc1) | Yeast E.coli Baculovirus Mammalian cell In Vivo Biotinylation in E.coli |