GCGR
GCGR,全稱是胰高血糖素受體(Glucagon Receptor),別名包括Glucagon R、GCGR、Glucagon Receptor、GGR等。該蛋白主要分布在肝臟、腎臟、脂肪組織、心臟和胰腺等部位,在調節血糖水平方面發揮著關鍵作用。胰高血糖素可以直接作用于肝臟,促進糖原分解,提高血糖水平,同時還能促進脂肪分解和能量消耗。GCGR受體是糖尿病和肥胖治療的重要靶點,目前已有多種針對GCGR的藥物進入臨床研發階段,包括激動劑和拮抗劑等。其中,GCGR/GLP-1R雙激動劑和GCGR/GIPR/GLP-1R三重激動劑在肥胖和2型糖尿病治療中展現出良好的效果。
熱銷產品
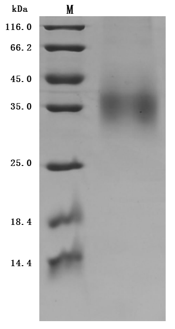
Recombinant Human Glucagon receptor (GCGR), partial (Active) (CSB-MP009316HU1)
驗證數據

(Tris-Glycine gel) Discontinuous SDS-PAGE (reduced) with 5% enrichment gel and 15% separation gel.

Activity
Measured by its binding ability in a functional ELISA. Immobilized human GCGR at 2 μg/ml can bind Anti-GCGR recombinant antibody (CSB-RA009316A1HU), the EC50 is 3.747-6.666 ng/mL.
GCGR Recombinant Monoclonal Antibody (CSB-RA009316A1HU)
驗證數據

The Binding Activity of Human GCGR with Anti-GCGR recombinant antibody.
Activity: Measured by its binding ability in a functional ELISA. Immobilized Human GCGR (CSB-MP009316HU1) at 2 μg/mL can bind Anti-GCGR recombinant antibody, the EC50 is 14.57-32.56 ng/mL.

The Binding Activity of Human GCGR with Anti-GCGR recombinant antibody.
Activity: Measured by its binding ability in a functional ELISA. Immobilized Human GCGR (CSB-YP009316HU1) at 2 μg/mL can bind Anti-GCGR recombinant antibody, the EC50 is 104.1-179.5 ng/mL.
GCGR Antibodies
GCGR for Homo sapiens (Human)
產品貨號 | 產品名稱 | 種屬反應性 | 應用類型 |
---|---|---|---|
CSB-PA002705 | GCGR Antibody | Human,Mouse,Rat | WB, IF, ELISA |
CSB-PA222690 | GCGR Antibody | Human,Mouse,Rat | ELISA,WB,IHC |
CSB-PA569512 | GCGR Antibody | Human,Mouse,Rat | ELISA,IHC |
CSB-PA009316LA01HU | GCGR Antibody | Human, Mouse | ELISA, WB, IHC, IF |
CSB-PA009316LB01HU | GCGR Antibody, HRP conjugated | Human | ELISA |
CSB-PA009316LC01HU | GCGR Antibody, FITC conjugated | Human | |
CSB-PA009316LD01HU | GCGR Antibody, Biotin conjugated | Human | ELISA |
CSB-RA009316A1HU | GCGR Recombinant Monoclonal Antibody | Human | ELISA |
GCGR Proteins
GCGR Proteins for Rattus norvegicus (Rat)
產品貨號 | 產品名稱 | 來源 |
---|---|---|
CSB-YP009316RA1 CSB-EP009316RA1 CSB-BP009316RA1 CSB-EP009316RA1-B |
Recombinant Rat Glucagon receptor (Gcgr), partial | Yeast E.coli Baculovirus In Vivo Biotinylation in E.coli |
CSB-CF009316RA | Recombinant Rat Glucagon receptor (Gcgr) | in vitro E.coli expression system |
GCGR Proteins for Homo sapiens (Human)
產品貨號 | 產品名稱 | 來源 |
---|---|---|
CSB-YP009316HU1 | Recombinant Human Glucagon receptor (GCGR), partial | Yeast |
CSB-CF009316HU | Recombinant Human Glucagon receptor (GCGR) | in vitro E.coli expression system |
CSB-EP009316HU1 | Recombinant Human Glucagon receptor (GCGR), partial | E.coli |
CSB-BP009316HU1 | Recombinant Human Glucagon receptor (GCGR), partial,Baculovirus | Baculovirus |
CSB-MP009316HU1 | Recombinant Human Glucagon receptor (GCGR), partial (Active) | Mammalian cell |
CSB-BP009316HU | Recombinant Human Glucagon receptor (GCGR), partial | Baculovirus |
CSB-MP009316HU | Recombinant Human Glucagon receptor (GCGR)-VLPs | Mammalian cell |
GCGR Proteins for Mus musculus (Mouse)
產品貨號 | 產品名稱 | 來源 |
---|---|---|
CSB-YP009316MO | Recombinant Mouse Glucagon receptor (Gcgr), partial | Yeast |
CSB-EP009316MO | Recombinant Mouse Glucagon receptor (Gcgr), partial | E.coli |
CSB-BP009316MO CSB-MP009316MO CSB-EP009316MO-B |
Recombinant Mouse Glucagon receptor (Gcgr), partial | Baculovirus Mammalian cell In Vivo Biotinylation in E.coli |