HTR2A
HTR2A,即5-羥色胺2A受體,別名HTR2、5-hydroxytryptamine receptor 2A、5-HT-2、5-HT-2A、Serotonin receptor 2A。它是一種G蛋白偶聯受體,屬于血清素受體家族成員,由HTR2A基因編碼。HTR2A在大腦中廣泛分布,尤其在前額葉皮質、海馬體和紋狀體等區域。HTR2A的作用機制主要是通過與5-羥色胺(5-HT)等配體結合,激活G蛋白,進而調節下游效應子的活性,如腺苷酸環化酶,影響細胞內的信號傳遞。HTR2A參與調節多種生理功能,包括情緒、認知、疼痛感知、血管收縮等。HTR2A的活性也與多種疾病的發生發展密切相關,如精神分裂癥、強迫癥、抑郁癥、偏頭痛、帕金森病等。HTR2A是多種藥物作用的靶點,包括抗精神病藥、抗抑郁藥和偏頭痛治療藥物。例如,某些抗精神病藥物通過拮抗HTR2A受體發揮作用,而某些抗抑郁藥則可能通過影響5-羥色胺的再攝取來間接調節HTR2A受體的功能。因此,HTR2A是精神藥理學研究和相關疾病治療中的一個重要靶點 。
熱銷產品
HTR2A Antibody (CSB-PA010887LA01HU)
驗證數據
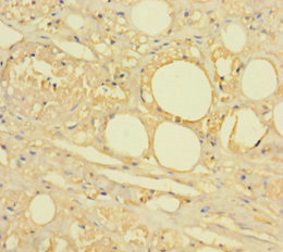
Immunohistochemistry of paraffin-embedded human adrenal gland tissue using CSB-PA010887LA01HU at dilution of 1:100
Immunohistochemistry of paraffin-embedded human skin tissue using CSB-PA010887LA01HU at dilution of 1:100
Immunofluorescent analysis of PC-3 cells using CSB-PA010887LA01HU at dilution of 1:100 and Alexa Fluor 488-congugated AffiniPure Goat Anti-Rabbit IgG(H+L)
HTR2A Antibodies
HTR2A for Homo sapiens (Human)
| 產品貨號 | 產品名稱 | 種屬反應性 | 應用類型 |
|---|---|---|---|
| CSB-PA009355 | HTR2A Antibody | Human | IHC, IF, ELISA |
| CSB-PA010887LA01HU | HTR2A Antibody | Human | ELISA, IHC, IF |
HTR2A Proteins
HTR2A Proteins for Rattus norvegicus (Rat)
| 產品貨號 | 產品名稱 | 來源 |
|---|---|---|
| CSB-YP010887RA1 CSB-EP010887RA1 CSB-BP010887RA1 CSB-MP010887RA1 CSB-EP010887RA1-B |
Recombinant Rat 5-hydroxytryptamine receptor 2A (Htr2a), partial | Yeast E.coli Baculovirus Mammalian cell In Vivo Biotinylation in E.coli |
| CSB-CF010887RA | Recombinant Rat 5-hydroxytryptamine receptor 2A (Htr2a) | in vitro E.coli expression system |
HTR2A Proteins for Mus musculus (Mouse)
| 產品貨號 | 產品名稱 | 來源 |
|---|---|---|
| CSB-YP010887MO1 CSB-EP010887MO1 CSB-BP010887MO1 CSB-MP010887MO1 CSB-EP010887MO1-B |
Recombinant Mouse 5-hydroxytryptamine receptor 2A (Htr2a), partial | Yeast E.coli Baculovirus Mammalian cell In Vivo Biotinylation in E.coli |
| CSB-CF010887MO | Recombinant Mouse 5-hydroxytryptamine receptor 2A (Htr2a) | in vitro E.coli expression system |
HTR2A Proteins for Cavia porcellus (Guinea pig)
| 產品貨號 | 產品名稱 | 來源 |
|---|---|---|
| CSB-YP010887GU1 CSB-EP010887GU1 CSB-BP010887GU1 CSB-MP010887GU1 CSB-EP010887GU1-B |
Recombinant Guinea pig 5-hydroxytryptamine receptor 2A (HTR2A), partial | Yeast E.coli Baculovirus Mammalian cell In Vivo Biotinylation in E.coli |
| CSB-CF010887GU | Recombinant Guinea pig 5-hydroxytryptamine receptor 2A (HTR2A) | in vitro E.coli expression system |
HTR2A Proteins for Homo sapiens (Human)
| 產品貨號 | 產品名稱 | 來源 |
|---|---|---|
| CSB-YP010887HU1 CSB-EP010887HU1 CSB-BP010887HU1 CSB-MP010887HU1 CSB-EP010887HU1-B |
Recombinant Human 5-hydroxytryptamine receptor 2A (HTR2A), partial | Yeast E.coli Baculovirus Mammalian cell In Vivo Biotinylation in E.coli |
| CSB-CF010887HU | Recombinant Human 5-hydroxytryptamine receptor 2A (HTR2A) | in vitro E.coli expression system |
HTR2A Proteins for Sus scrofa (Pig)
| 產品貨號 | 產品名稱 | 來源 |
|---|---|---|
| CSB-YP010887PI1 CSB-EP010887PI1 CSB-BP010887PI1 CSB-MP010887PI1 CSB-EP010887PI1-B |
Recombinant Pig 5-hydroxytryptamine receptor 2A (HTR2A), partial | Yeast E.coli Baculovirus Mammalian cell In Vivo Biotinylation in E.coli |
| CSB-CF010887PI | Recombinant Pig 5-hydroxytryptamine receptor 2A (HTR2A) | in vitro E.coli expression system |
HTR2A Proteins for Macaca mulatta (Rhesus macaque)
| 產品貨號 | 產品名稱 | 來源 |
|---|---|---|
| CSB-YP010887MOW1 CSB-EP010887MOW1 CSB-BP010887MOW1 CSB-MP010887MOW1 CSB-EP010887MOW1-B |
Recombinant Macaca mulatta (Rhesus macaque) 5-hydroxytryptamine receptor 2A (HTR2A), partial | Yeast E.coli Baculovirus Mammalian cell In Vivo Biotinylation in E.coli |
| CSB-CF010887MOW | Recombinant Macaca mulatta (Rhesus macaque) 5-hydroxytryptamine receptor 2A (HTR2A) | in vitro E.coli expression system |
HTR2A Proteins for Canis familiaris (Dog) (Canis lupus familiaris)
| 產品貨號 | 產品名稱 | 來源 |
|---|---|---|
| CSB-YP010887DO1 CSB-EP010887DO1 CSB-BP010887DO1 CSB-MP010887DO1 CSB-EP010887DO1-B |
Recombinant Dog 5-hydroxytryptamine receptor 2A (HTR2A), partial | Yeast E.coli Baculovirus Mammalian cell In Vivo Biotinylation in E.coli |
| CSB-CF010887DO | Recombinant Dog 5-hydroxytryptamine receptor 2A (HTR2A) | in vitro E.coli expression system |
HTR2A Proteins for Pongo pygmaeus (Bornean orangutan)
| 產品貨號 | 產品名稱 | 來源 |
|---|---|---|
| CSB-YP722263EXP1 CSB-EP722263EXP1 CSB-BP722263EXP1 CSB-MP722263EXP1 CSB-EP722263EXP1-B |
Recombinant Pongo pygmaeus 5-hydroxytryptamine receptor 2A (HTR2A), partial | Yeast E.coli Baculovirus Mammalian cell In Vivo Biotinylation in E.coli |
| CSB-CF722263EXP | Recombinant Pongo pygmaeus 5-hydroxytryptamine receptor 2A (HTR2A) | in vitro E.coli expression system |
HTR2A Proteins for Bos taurus (Bovine)
| 產品貨號 | 產品名稱 | 來源 |
|---|---|---|
| CSB-YP741711BO1 CSB-EP741711BO1 CSB-BP741711BO1 CSB-MP741711BO1 CSB-EP741711BO1-B |
Recombinant Bovine 5-hydroxytryptamine receptor 2A (HTR2A), partial | Yeast E.coli Baculovirus Mammalian cell In Vivo Biotinylation in E.coli |
| CSB-CF741711BO | Recombinant Bovine 5-hydroxytryptamine receptor 2A (HTR2A) | in vitro E.coli expression system |
HTR2A ELISA Kit
HTR2A ELISA Kit for Rattus norvegicus (Rat)
| 產品貨號 | 產品名稱 | 樣本類型 | 靈敏度 |
|---|---|---|---|
| CSB-E14956r | Rat Serotonin Receptor 2A/5-hydroxytryptamine Receptor 2A(5-HT-2A)ELISA Kit | serum, plasma, tissue homogenates, cell lysates | 7.8 pg/mL |






