HTR2C
HTR2C。即5-羥色胺2C受體,別名HTR1C等。它是一種G蛋白偶聯受體,主要在大腦中表達,尤其是與情緒、食欲和應激反應等生理過程相關。HTR2C的作用機制涉及與5-羥色胺(血清素)的結合,激活G蛋白偶聯的信號傳導途徑,進而調節神經元的興奮性。HTR2C在調節情緒、食欲、應激反應以及胰島素敏感性和血糖穩態中發揮重要作用。此外,HTR2C也是藥物研發中的潛在靶點,可用于研究藥物的藥效和藥代動力學。
熱銷產品
HTR2C Recombinant Monoclonal Antibody (CSB-RA616248A0HU)
驗證數據
Western Blot
Positive WB detected in: Hela whole cell lysate, HepG2 whole cell lysate, A549 whole cell lysate
All lanes: HTR2C antibody at 1:2000
Secondary
Goat polyclonal to rabbit IgG at 1/50000 dilution
Predicted band size: 52, 29 kDa
Observed band size: 75 kDa
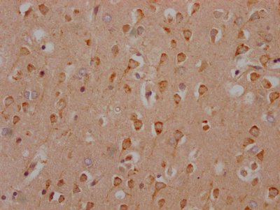
IHC image of CSB-RA616248A0HU diluted at 1:100 and staining in paraffin-embedded human brain tissue performed on a Leica BondTM system. After dewaxing and hydration, antigen retrieval was mediated by high pressure in a citrate buffer (pH 6.0). Section was blocked with 10% normal goat serum 30min at RT. Then primary antibody (1% BSA) was incubated at 4℃ overnight. The primary is detected by a Goat anti-rabbit IgG polymer labeled by HRP and visualized using 0.05% DAB.
HTR2C Antibodies
HTR2C for Homo sapiens (Human)
| 產品貨號 | 產品名稱 | 種屬反應性 | 應用類型 |
|---|---|---|---|
| CSB-PA009358 | HTR2C Antibody | Human,Mouse,Rat | WB, IHC, IF, ELISA |
| CSB-PA009359 | HTR2C Antibody | Human,Mouse,Rat | WB, IHC, IF, ELISA |
| CSB-PA974667 | HTR2C Antibody | Human,Mouse,Rat | ELISA,WB |
| CSB-RA616248A0HU | HTR2C Recombinant Monoclonal Antibody | Human | ELISA, WB, IHC |
HTR2C Proteins
HTR2C Proteins for Mus musculus (Mouse)
| 產品貨號 | 產品名稱 | 來源 |
|---|---|---|
| CSB-YP010889MO1 CSB-EP010889MO1 CSB-BP010889MO1 CSB-MP010889MO1 CSB-EP010889MO1-B |
Recombinant Mouse 5-hydroxytryptamine receptor 2C (Htr2c), partial | Yeast E.coli Baculovirus Mammalian cell In Vivo Biotinylation in E.coli |
| CSB-CF010889MO | Recombinant Mouse 5-hydroxytryptamine receptor 2C (Htr2c) | in vitro E.coli expression system |
HTR2C Proteins for Homo sapiens (Human)
| 產品貨號 | 產品名稱 | 來源 |
|---|---|---|
| CSB-YP010889HU1 CSB-EP010889HU1 CSB-BP010889HU1 CSB-MP010889HU1 CSB-EP010889HU1-B |
Recombinant Human 5-hydroxytryptamine receptor 2C (HTR2C), partial | Yeast E.coli Baculovirus Mammalian cell In Vivo Biotinylation in E.coli |
| CSB-CF010889HU | Recombinant Human 5-hydroxytryptamine receptor 2C (HTR2C) | in vitro E.coli expression system |
HTR2C Proteins for Rattus norvegicus (Rat)
| 產品貨號 | 產品名稱 | 來源 |
|---|---|---|
| CSB-YP010889RA1 CSB-EP010889RA1 CSB-BP010889RA1 CSB-MP010889RA1 CSB-EP010889RA1-B |
Recombinant Rat 5-hydroxytryptamine receptor 2C (Htr2c), partial | Yeast E.coli Baculovirus Mammalian cell In Vivo Biotinylation in E.coli |
| CSB-CF010889RA | Recombinant Rat 5-hydroxytryptamine receptor 2C (Htr2c) | in vitro E.coli expression system |
HTR2C Proteins for Pan troglodytes (Chimpanzee)
| 產品貨號 | 產品名稱 | 來源 |
|---|---|---|
| CSB-YP702440EQV1 CSB-EP702440EQV1 CSB-BP702440EQV1 CSB-MP702440EQV1 CSB-EP702440EQV1-B |
Recombinant Pan troglodytes 5-hydroxytryptamine receptor 2C (HTR2C), partial | Yeast E.coli Baculovirus Mammalian cell In Vivo Biotinylation in E.coli |
| CSB-CF702440EQV | Recombinant Pan troglodytes 5-hydroxytryptamine receptor 2C (HTR2C) | in vitro E.coli expression system |
HTR2C Proteins for Canis familiaris (Dog) (Canis lupus familiaris)
| 產品貨號 | 產品名稱 | 來源 |
|---|---|---|
| CSB-YP736788DO1 CSB-EP736788DO1 CSB-BP736788DO1 CSB-MP736788DO1 CSB-EP736788DO1-B |
Recombinant Dog 5-hydroxytryptamine receptor 2C (HTR2C), partial | Yeast E.coli Baculovirus Mammalian cell In Vivo Biotinylation in E.coli |
| CSB-CF736788DO | Recombinant Dog 5-hydroxytryptamine receptor 2C (HTR2C) | in vitro E.coli expression system |






