IL10RA
白細胞介素10受體α亞基(IL10RA)是調控免疫穩態的關鍵膜蛋白,也被稱為CDW210A或IL-10R1。它通過與細胞因子IL-10特異性結合,抑制促炎因子釋放,維持機體炎癥與抗炎反應的動態平衡。IL10RA在巨噬細胞、T淋巴細胞等免疫細胞表面廣泛表達,其功能缺陷可能導致嬰兒期炎癥性腸病、極早發型克羅恩病等遺傳性腸道病變。近年來,科研人員發現IL10RA基因突變與部分原發性免疫缺陷綜合征密切相關,這類患者常表現為反復感染或組織損傷。在藥物開發領域,基于IL-10信號通路的新型生物制劑已進入臨床研究階段,部分候選藥物在銀屑病、類風濕關節炎等自身免疫性疾病中展現出調節過度免疫反應的潛力。此外,針對受體結構的分子優化策略正在探索,旨在提高IL-10類似物的靶向性和穩定性。
熱銷產品
Recombinant Human Interleukin-10 receptor subunit alpha (IL10RA), partial (CSB-MP621688HU)
驗證數據

(Tris-Glycine gel) Discontinuous SDS-PAGE (reduced) with 5% enrichment gel and 15% separation gel.
IL10RA Antibody (CSB-PA621688ESR2HU)
驗證數據

Western blot
All lanes: Interleukin-10 receptor subunit alpha antibody at 8μg/ml
Lane 1: Mouse heart tissue
Lane 2: Hela whole cell lysate
Lane 3: Mouse liver tissue
Secondary
Goat polyclonal to rabbit IgG at 1/10000 dilution
Predicted band size: 63 kDa
Observed band size: 63 kDa

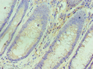
Immunohistochemistry of paraffin-embedded human colon cancer using CSB-PA621688ESR2HU at dilution of 1:100
IL10RA Antibodies
IL10RA for Homo sapiens (Human)
產品貨號 | 產品名稱 | 種屬反應性 | 應用類型 |
---|---|---|---|
CSB-PA011581GA01HU | IL10RA Antibody | Human | ELISA,WB |
CSB-PA621688ESR2HU | IL10RA Antibody | Human, Mouse | ELISA, WB, IHC |
CSB-PA949178 | Phospho-IL10RA (Ser319/323) Antibody | Human | ELISA,WB |
CSB-PA051687 | Phospho-IL10RA (Tyr496) Antibody | Human | ELISA,WB |
CSB-PA003017 | IL10RA Antibody | Human | WB, IF, ELISA |
CSB-PA006290 | IL10RA Antibody | Human | WB, ELISA |
CSB-PA009575 | Phospho-IL10RA (Y496) Antibody | Human | WB, ELISA |
CSB-PA062287 | IL10RA Antibody | Human | ELISA,IHC |
CSB-PA153938 | IL10RA Antibody | Human | ELISA,IHC |
CSB-PA621688EA01HU | IL10RA Antibody | Human | ELISA, WB, IF |
CSB-PA621688EB01HU | IL10RA Antibody, HRP conjugated | Human | ELISA |
CSB-PA621688EC01HU | IL10RA Antibody, FITC conjugated | Human | |
CSB-PA621688ED01HU | IL10RA Antibody, Biotin conjugated | Human | ELISA |
IL10RA Proteins
IL10RA Proteins for Homo sapiens (Human)
產品貨號 | 產品名稱 | 來源 |
---|---|---|
CSB-EP621688HU CSB-BP621688HU CSB-EP621688HU-B |
Recombinant Human Interleukin-10 receptor subunit alpha (IL10RA), partial | E.coli Baculovirus In Vivo Biotinylation in E.coli |
CSB-YP621688HU | Recombinant Human Interleukin-10 receptor subunit alpha (IL10RA), partial | Yeast |
CSB-MP621688HU | Recombinant Human Interleukin-10 receptor subunit alpha (IL10RA), partial | Mammalian cell |
CSB-MP621688HU(A5)(M) | Recombinant Human Interleukin-10 receptor subunit alpha (IL10RA) (3-6: PCLV→GCVL)-VLPs | Mammalian cell |
CSB-MP621688HUd7 | Recombinant Human Interleukin-10 receptor subunit alpha (IL10RA), partial | Mammalian cell |
IL10RA Proteins for Mus musculus (Mouse)
產品貨號 | 產品名稱 | 來源 |
---|---|---|
CSB-YP720259MO CSB-EP720259MO CSB-BP720259MO CSB-MP720259MO CSB-EP720259MO-B |
Recombinant Mouse Interleukin-10 receptor subunit alpha (Il10ra), partial | Yeast E.coli Baculovirus Mammalian cell In Vivo Biotinylation in E.coli |
IL10RA ELISA Kit
IL10RA ELISA Kit for Mus musculus (Mouse)
產品貨號 | 產品名稱 | 樣本類型 | 靈敏度 |
---|---|---|---|
CSB-EL011581MO | Mouse Interleukin-10 receptor subunit alpha(IL10RA) ELISA kit | serum, plasma, tissue homogenates, cell lysates | 0.078 ng/mL |