IL2
白細胞介素-2(IL-2)是一種重要的免疫調節因子,主要由活化的CD4+ T細胞產生,在免疫反應和耐受中發揮重要作用。它是一種蛋白質,負責調節白細胞(通常是淋巴細胞)的免疫活性。IL-2的生成是機體受微生物感染時免疫應答的一部分,以區別“自己”與“非己”。IL-2通過與淋巴細胞表面的IL-2受體結合來發揮作用。IL-2具有多種生物學功能,包括增強細胞毒性T細胞和自然殺傷細胞的增殖,促進B細胞產生免疫球蛋白,以及調節免疫細胞的應答等。IL-2在多種疾病中發揮重要作用,包括腫瘤、自身免疫性疾病和感染性疾病等。目前,IL-2藥物的開發正在逐步推進,主要包括免疫調節劑、遞送細胞毒素等策略。近年來,各大藥企紛紛布局IL-2藥物市場,雖然開發方向各異,但總體上都在朝著降低IL-2Rα結合力的方向努力。然而,當前面臨的一個挑戰是臨床數據還不夠理想,市場前景仍然充滿不確定性。
熱銷產品
Recombinant Human Interleukin-2 (IL2) (Active) (CSB-MP011629HU)
驗證數據

(Tris-Glycine gel) Discontinuous SDS-PAGE (reduced) with 5% enrichment gel and 15% separation gel.

Activity
Measured by its binding ability in a functional ELISA. Immobilized Human IL2RA(CSB-MP011649HU3) at 2μg/mL can bind Human IL2,the EC50 is 0.4992 to 0.6269 ng/mL.
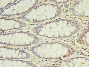
IL2 Antibody (CSB-PA011629LA01HU)
驗證數據

Immunohistochemistry of paraffin-embedded human colon cancer using CSB-PA011629LA01HU at dilution of 1:100
Human Interleukin 2,IL-2 ELISA kit (CSB-E04626h)
驗證數據
.png)
貨號:CSB-E04626h
規格:96T/48T
靈敏度:7.81 pg/ml
檢測范圍:31.25 pg/ml-2000 pg/ml.
These standard curves are provided for demonstration only. A standard curve should be generated for each set of samples assayed.
IL2 Antibodies
IL2 for Homo sapiens (Human)
產品貨號 | 產品名稱 | 種屬反應性 | 應用類型 |
---|---|---|---|
CSB-PA003024 | IL2 Antibody | Human,Rat | WB, ELISA |
CSB-PA011629LA01HU | IL2 Antibody | Human | ELISA, IHC |
CSB-PA011629LB01HU | IL2 Antibody, HRP conjugated | Human | ELISA |
IL2 Proteins
IL2 Proteins for Macaca mulatta (Rhesus macaque)
產品貨號 | 產品名稱 | 來源 |
---|---|---|
CSB-YP011629MOW CSB-BP011629MOW CSB-EP011629MOW-B |
Recombinant Macaca mulatta (Rhesus macaque) Interleukin-2 (IL2) | Yeast Baculovirus In Vivo Biotinylation in E.coli |
CSB-EP011629MOW | Recombinant Macaca mulatta Interleukin-2 (IL2) | E.coli |
IL2 Proteins for Ovis aries (Sheep)
產品貨號 | 產品名稱 | 來源 |
---|---|---|
CSB-YP011629SH CSB-EP011629SH CSB-BP011629SH CSB-MP011629SH CSB-EP011629SH-B |
Recombinant Sheep Interleukin-2 (IL2) | Yeast E.coli Baculovirus Mammalian cell In Vivo Biotinylation in E.coli |
IL2 Proteins for Capra hircus (Goat)
產品貨號 | 產品名稱 | 來源 |
---|---|---|
CSB-YP011629GO CSB-EP011629GO CSB-BP011629GO CSB-MP011629GO CSB-EP011629GO-B |
Recombinant Goat Interleukin-2 (IL2) | Yeast E.coli Baculovirus Mammalian cell In Vivo Biotinylation in E.coli |
IL2 Proteins for Equus caballus (Horse)
產品貨號 | 產品名稱 | 來源 |
---|---|---|
CSB-YP011629HO CSB-EP011629HO CSB-BP011629HO CSB-MP011629HO CSB-EP011629HO-B |
Recombinant Horse Interleukin-2 (IL2) | Yeast E.coli Baculovirus Mammalian cell In Vivo Biotinylation in E.coli |
IL2 Proteins for Sus scrofa (Pig)
產品貨號 | 產品名稱 | 來源 |
---|---|---|
CSB-YP011629PI CSB-EP011629PI CSB-BP011629PI CSB-MP011629PI CSB-EP011629PI-B |
Recombinant Pig Interleukin-2 (IL2) | Yeast E.coli Baculovirus Mammalian cell In Vivo Biotinylation in E.coli |
IL2 Proteins for Homo sapiens (Human)
IL2 Proteins for Mus musculus (Mouse)
產品貨號 | 產品名稱 | 來源 |
---|---|---|
CSB-YP011629MO CSB-BP011629MO CSB-EP011629MO-B |
Recombinant Mouse Interleukin-2 (Il2) | Yeast Baculovirus In Vivo Biotinylation in E.coli |
CSB-AP003281MO | Recombinant Mouse Interleukin-2 protein (Il2) | E.Coli |
CSB-AP004821MO | Recombinant Mouse Interleukin-2 (Il2) (Active) | E.coli |
IL2 Proteins for Bos taurus (Bovine)
產品貨號 | 產品名稱 | 來源 |
---|---|---|
CSB-YP011629BO CSB-EP011629BO CSB-BP011629BO CSB-MP011629BO CSB-EP011629BO-B |
Recombinant Bovine Interleukin-2 (IL2) | Yeast E.coli Baculovirus Mammalian cell In Vivo Biotinylation in E.coli |
IL2 Proteins for Oryctolagus cuniculus (Rabbit)
產品貨號 | 產品名稱 | 來源 |
---|---|---|
CSB-YP011629RB | Recombinant Rabbit Interleukin-2 (IL2) | Yeast |
CSB-EP011629RB | Recombinant Rabbit Interleukin-2 (IL2) | E.coli |
CSB-BP011629RB CSB-MP011629RB CSB-EP011629RB-B |
Recombinant Rabbit Interleukin-2 (IL2) | Baculovirus Mammalian cell In Vivo Biotinylation in E.coli |
IL2 Proteins for Macaca nemestrina (Pig-tailed macaque)
產品貨號 | 產品名稱 | 來源 |
---|---|---|
CSB-YP011629MOX CSB-EP011629MOX CSB-BP011629MOX CSB-MP011629MOX CSB-EP011629MOX-B |
Recombinant Macaca nemestrina Interleukin-2 (IL2) | Yeast E.coli Baculovirus Mammalian cell In Vivo Biotinylation in E.coli |
IL2 Proteins for Rattus norvegicus (Rat)
產品貨號 | 產品名稱 | 來源 |
---|---|---|
CSB-BP011629RA CSB-EP011629RA-B |
Recombinant Rat Interleukin-2 (Il2) | Baculovirus In Vivo Biotinylation in E.coli |
IL2 Proteins for Cercocebus atys (Sooty mangabey) (Cercocebus torquatus atys)
產品貨號 | 產品名稱 | 來源 |
---|---|---|
CSB-YP011629DRI CSB-EP011629DRI CSB-BP011629DRI CSB-MP011629DRI CSB-EP011629DRI-B |
Recombinant Cercocebus atys Interleukin-2 (IL2) | Yeast E.coli Baculovirus Mammalian cell In Vivo Biotinylation in E.coli |
IL2 Proteins for Hylobates lar (Common gibbon)
產品貨號 | 產品名稱 | 來源 |
---|---|---|
CSB-YP011629HXW CSB-EP011629HXW CSB-BP011629HXW CSB-MP011629HXW CSB-EP011629HXW-B |
Recombinant Hylobates lar Interleukin-2 (IL2) | Yeast E.coli Baculovirus Mammalian cell In Vivo Biotinylation in E.coli |
IL2 Proteins for Orcinus orca (Killer whale)
產品貨號 | 產品名稱 | 來源 |
---|---|---|
CSB-YP011629OEP CSB-EP011629OEP CSB-BP011629OEP CSB-MP011629OEP CSB-EP011629OEP-B |
Recombinant Orcinus orca Interleukin-2 (IL2) | Yeast E.coli Baculovirus Mammalian cell In Vivo Biotinylation in E.coli |
IL2 Proteins for Mirounga angustirostris (Northern elephant seal)
產品貨號 | 產品名稱 | 來源 |
---|---|---|
CSB-YP011629MUC CSB-EP011629MUC CSB-BP011629MUC CSB-MP011629MUC CSB-EP011629MUC-B |
Recombinant Mirounga angustirostris Interleukin-2 (IL2) | Yeast E.coli Baculovirus Mammalian cell In Vivo Biotinylation in E.coli |
IL2 Proteins for Meriones unguiculatus (Mongolian jird) (Mongolian gerbil)
產品貨號 | 產品名稱 | 來源 |
---|---|---|
CSB-YP600824MRA CSB-EP600824MRA CSB-BP600824MRA CSB-MP600824MRA CSB-EP600824MRA-B |
Recombinant Meriones unguiculatus Interleukin-2 (IL2) | Yeast E.coli Baculovirus Mammalian cell In Vivo Biotinylation in E.coli |
IL2 Proteins for Vulpes vulpes (Red fox)
產品貨號 | 產品名稱 | 來源 |
---|---|---|
CSB-YP631636VFW CSB-EP631636VFW CSB-BP631636VFW CSB-MP631636VFW CSB-EP631636VFW-B |
Recombinant Vulpes vulpes Interleukin-2 (IL2) | Yeast E.coli Baculovirus Mammalian cell In Vivo Biotinylation in E.coli |
IL2 Proteins for Dasypus novemcinctus (Nine-banded armadillo)
產品貨號 | 產品名稱 | 來源 |
---|---|---|
CSB-YP633531DIO CSB-EP633531DIO CSB-BP633531DIO CSB-MP633531DIO CSB-EP633531DIO-B |
Recombinant Dasypus novemcinctus Interleukin-2 (IL2) | Yeast E.coli Baculovirus Mammalian cell In Vivo Biotinylation in E.coli |
IL2 Proteins for Macaca fascicularis (Crab-eating macaque) (Cynomolgus monkey)
產品貨號 | 產品名稱 | 來源 |
---|---|---|
CSB-YP640916MOV CSB-BP640916MOV CSB-MP640916MOV CSB-EP640916MOV-B |
Recombinant Macaca fascicularis Interleukin-2 (IL2) | Yeast Baculovirus Mammalian cell In Vivo Biotinylation in E.coli |
IL2 Proteins for Canis familiaris (Dog) (Canis lupus familiaris)
產品貨號 | 產品名稱 | 來源 |
---|---|---|
CSB-YP644916DO CSB-EP644916DO CSB-BP644916DO CSB-MP644916DO CSB-EP644916DO-B |
Recombinant Dog Interleukin-2 (IL2) | Yeast E.coli Baculovirus Mammalian cell In Vivo Biotinylation in E.coli |
IL2 Proteins for Camelus bactrianus (Bactrian camel)
產品貨號 | 產品名稱 | 來源 |
---|---|---|
CSB-YP650821CVZ CSB-EP650821CVZ CSB-BP650821CVZ CSB-MP650821CVZ CSB-EP650821CVZ-B |
Recombinant Camelus bactrianus Interleukin-2 (IL2) | Yeast E.coli Baculovirus Mammalian cell In Vivo Biotinylation in E.coli |
IL2 Proteins for Bubalus carabanensis (Swamp type water buffalo) (Bubalus bubalis carabanensis)
產品貨號 | 產品名稱 | 來源 |
---|---|---|
CSB-YP651604BAAW CSB-EP651604BAAW CSB-BP651604BAAW CSB-MP651604BAAW CSB-EP651604BAAW-B |
Recombinant Bubalus carabanensis Interleukin-2 (IL2) | Yeast E.coli Baculovirus Mammalian cell In Vivo Biotinylation in E.coli |
IL2 Proteins for Moschus berezovskii (Chinese forest musk deer)
產品貨號 | 產品名稱 | 來源 |
---|---|---|
CSB-YP686684MDAR CSB-EP686684MDAR CSB-BP686684MDAR CSB-MP686684MDAR CSB-EP686684MDAR-B |
Recombinant Moschus berezovskii Interleukin-2 (IL2) | Yeast E.coli Baculovirus Mammalian cell In Vivo Biotinylation in E.coli |
IL2 Proteins for Boselaphus tragocamelus (Nilgai)
產品貨號 | 產品名稱 | 來源 |
---|---|---|
CSB-YP690011BUN CSB-EP690011BUN CSB-BP690011BUN CSB-MP690011BUN CSB-EP690011BUN-B |
Recombinant Boselaphus tragocamelus Interleukin-2 (IL2) | Yeast E.coli Baculovirus Mammalian cell In Vivo Biotinylation in E.coli |
IL2 Proteins for Ailuropoda melanoleuca (Giant panda)
產品貨號 | 產品名稱 | 來源 |
---|---|---|
CSB-YP719024AYX CSB-EP719024AYX CSB-BP719024AYX CSB-MP719024AYX CSB-EP719024AYX-B |
Recombinant Ailuropoda melanoleuca Interleukin-2 (IL2) | Yeast E.coli Baculovirus Mammalian cell In Vivo Biotinylation in E.coli |
IL2 Proteins for Aotus lemurinus (Northern gray-necked night monkey)
產品貨號 | 產品名稱 | 來源 |
---|---|---|
CSB-YP741949ALX CSB-EP741949ALX CSB-BP741949ALX CSB-MP741949ALX CSB-EP741949ALX-B |
Recombinant Aotus lemurinus Interleukin-2 (IL2) | Yeast E.coli Baculovirus Mammalian cell In Vivo Biotinylation in E.coli |
IL2 Proteins for Aotus nigriceps (Black-headed owl monkey)
產品貨號 | 產品名稱 | 來源 |
---|---|---|
CSB-YP745308AFAL CSB-EP745308AFAL CSB-BP745308AFAL CSB-MP745308AFAL CSB-EP745308AFAL-B |
Recombinant Aotus nigriceps Interleukin-2 (IL2) | Yeast E.coli Baculovirus Mammalian cell In Vivo Biotinylation in E.coli |
IL2 Proteins for Aotus nancymaae (Ma's night monkey)
產品貨號 | 產品名稱 | 來源 |
---|---|---|
CSB-YP752071AUV CSB-EP752071AUV CSB-BP752071AUV CSB-MP752071AUV CSB-EP752071AUV-B |
Recombinant Aotus nancymaae Interleukin-2 (IL2) | Yeast E.coli Baculovirus Mammalian cell In Vivo Biotinylation in E.coli |
IL2 Proteins for Aotus vociferans (Spix's owl monkey)
產品貨號 | 產品名稱 | 來源 |
---|---|---|
CSB-YP755461ALY CSB-EP755461ALY CSB-BP755461ALY CSB-MP755461ALY CSB-EP755461ALY-B |
Recombinant Aotus vociferans Interleukin-2 (IL2) | Yeast E.coli Baculovirus Mammalian cell In Vivo Biotinylation in E.coli |
IL2 Proteins for Lama glama (Llama)
產品貨號 | 產品名稱 | 來源 |
---|---|---|
CSB-BP769693LBS CSB-MP769693LBS CSB-EP769693LBS-B |
Recombinant Lama glama Interleukin-2 (IL2) | Baculovirus Mammalian cell In Vivo Biotinylation in E.coli |
IL2 Proteins for Papio anubis (Olive baboon)
產品貨號 | 產品名稱 | 來源 |
---|---|---|
CSB-YP769694ERI CSB-EP769694ERI CSB-BP769694ERI CSB-MP769694ERI CSB-EP769694ERI-B |
Recombinant Papio anubis Interleukin-2 (IL2) | Yeast E.coli Baculovirus Mammalian cell In Vivo Biotinylation in E.coli |
IL2 Proteins for Saimiri sciureus (Common squirrel monkey)
產品貨號 | 產品名稱 | 來源 |
---|---|---|
CSB-YP818655SWD CSB-EP818655SWD CSB-BP818655SWD CSB-MP818655SWD CSB-EP818655SWD-B |
Recombinant Saimiri sciureus Interleukin-2 (IL2) | Yeast E.coli Baculovirus Mammalian cell In Vivo Biotinylation in E.coli |
IL2 Proteins for Bubalus bubalis (Domestic water buffalo)
產品貨號 | 產品名稱 | 來源 |
---|---|---|
CSB-YP856812BWX CSB-EP856812BWX CSB-BP856812BWX CSB-MP856812BWX CSB-EP856812BWX-B |
Recombinant Bubalus bubalis Interleukin-2 (IL2) | Yeast E.coli Baculovirus Mammalian cell In Vivo Biotinylation in E.coli |
IL2 Proteins for Delphinapterus leucas (Beluga whale)
產品貨號 | 產品名稱 | 來源 |
---|---|---|
CSB-YP894076DJB CSB-EP894076DJB CSB-BP894076DJB CSB-MP894076DJB CSB-EP894076DJB-B |
Recombinant Delphinapterus leucas Interleukin-2 (IL2) | Yeast E.coli Baculovirus Mammalian cell In Vivo Biotinylation in E.coli |
IL2 Proteins for Papio hamadryas (Hamadryas baboon)
產品貨號 | 產品名稱 | 來源 |
---|---|---|
CSB-YP894544ERJ CSB-EP894544ERJ CSB-BP894544ERJ CSB-MP894544ERJ CSB-EP894544ERJ-B |
Recombinant Papio hamadryas Interleukin-2 (IL2) | Yeast E.coli Baculovirus Mammalian cell In Vivo Biotinylation in E.coli |
IL2 Proteins for Halichoerus grypus (Gray seal)
產品貨號 | 產品名稱 | 來源 |
---|---|---|
CSB-YP894556HAU CSB-EP894556HAU CSB-BP894556HAU CSB-MP894556HAU CSB-EP894556HAU-B |
Recombinant Halichoerus grypus Interleukin-2 (IL2) | Yeast E.coli Baculovirus Mammalian cell In Vivo Biotinylation in E.coli |
IL2 ELISA Kit
IL2 ELISA Kit for Bos taurus (Bovine)
產品貨號 | 產品名稱 | 樣本類型 | 靈敏度 |
---|---|---|---|
CSB-E09810b | Bovine Interleukin 2,IL-2 ELISA Kit | serum, plasma, tissue homogenates | 7.8 pg/mL |
IL2 ELISA Kit for Canis lupus familiaris (Dog) (Canis familiaris)
產品貨號 | 產品名稱 | 樣本類型 | 靈敏度 |
---|---|---|---|
CSB-E11258c | Dog Interleukin 2,IL-2 ELISA Kit | serum, plasma, tissue homogenates | 3.9 pg/mL |
IL2 ELISA Kit for Capra hircus (Goat)
產品貨號 | 產品名稱 | 樣本類型 | 靈敏度 |
---|---|---|---|
CSB-E12965G | Goat Interleukin 2(IL-2) ELISA Kit | serum, plasma, tissue homogenates | 3.9 pg/mL |
IL2 ELISA Kit for Homo sapiens (Human)
產品貨號 | 產品名稱 | 樣本類型 | 靈敏度 |
---|---|---|---|
CSB-E04626h | Human Interleukin 2,IL-2 ELISA kit | cell culture supernates, tissue homogenates | 7.81 pg/ml |
IL2 ELISA Kit for Mus musculus (Mouse)
產品貨號 | 產品名稱 | 樣本類型 | 靈敏度 |
---|---|---|---|
CSB-E04627m | Mouse Interleukin 2,IL-2 ELISA kit | serum, plasma, tissue homogenates | 7.8 pg/ml |
IL2 ELISA Kit for Sus scrofa (Pig)
產品貨號 | 產品名稱 | 樣本類型 | 靈敏度 |
---|---|---|---|
CSB-E06783p | Pig interleukin 2,IL-2 ELISA Kit | serum, plasma, tissue homogenates | 3.9 pg/mL |
IL2 ELISA Kit for Oryctolagus cuniculus (Rabbit)
產品貨號 | 產品名稱 | 樣本類型 | 靈敏度 |
---|---|---|---|
CSB-E08745Rb | Rabbit Interleukin 2,IL-2 ELISA Kit | serum, plasma | 7.8 pg/mL |
IL2 ELISA Kit for Rattus norvegicus (Rat)
產品貨號 | 產品名稱 | 樣本類型 | 靈敏度 |
---|---|---|---|
CSB-E04628r | Rat Interleukin 2,IL-2 ELISA kit | serum, urine, tissue homogenates | 1.56 pg/mL |
IL2 ELISA Kit for Ovis aries (Sheep)
產品貨號 | 產品名稱 | 樣本類型 | 靈敏度 |
---|---|---|---|
CSB-E11217Sh | Sheep Interleukin 2,IL-2 ELISA Kit | serum, plasma, tissue homogenates | 7.81 pg/mL |