IL21R
IL21R,全稱為白細胞介素21受體,也被稱為CD360,是一種細胞表面蛋白。它主要與白細胞介素21(IL-21)結合,參與調節免疫反應。IL21R在多種免疫細胞如T細胞、B細胞和NK細胞上表達,對免疫細胞的增殖和功能有重要影響。在疾病方面,IL21R與多種自身免疫性疾病如類風濕性關節炎、系統性紅斑狼瘡等密切相關。近年來,針對IL21R的藥物研發取得進展,有望成為治療相關疾病的新靶點。
熱銷產品
IL21R Antibody (CSB-PA862061ESR2HU)
驗證數據

Western blot
All lanes: IL21R antibody at 2.18μg/ml
Lane 1: A549 whole cell lysate
Lane 2: Raji whole cell lysate
Lane 3: Colo320 whole cell lysate
Lane 4: K562 whole cell lysate
Secondary
Goat polyclonal to rabbit IgG at 1/10000 dilution
Predicted band size: 59 kDa
Observed band size: 59 kDa

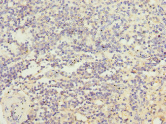
Immunohistochemistry of paraffin-embedded human spleen tissue using CSB-PA862061ESR2HU at dilution of 1:100

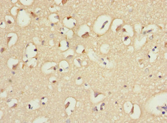
Immunohistochemistry of paraffin-embedded human brain tissue using CSB-PA862061ESR2HU at dilution of 1:100
IL21R Antibodies
IL21R for Homo sapiens (Human)
產品貨號 | 產品名稱 | 種屬反應性 | 應用類型 |
---|---|---|---|
CSB-PA011634GA01HU | IL21R Antibody | Human | ELISA,WB,IHC |
CSB-PA443269 | IL21R Antibody | Human | ELISA,IHC |
CSB-PA313276 | IL21R Antibody | Human | ELISA,IHC |
CSB-PA862061ESR1HU | IL21R Antibody | Human | ELISA, IHC |
CSB-PA862061ESR2HU | IL21R Antibody | Human | ELISA, WB, IHC |
IL21R Proteins
IL21R Proteins for Homo sapiens (Human)
產品貨號 | 產品名稱 | 來源 |
---|---|---|
CSB-YP862061HU CSB-EP862061HU CSB-BP862061HU CSB-MP862061HU CSB-EP862061HU-B |
Recombinant Human Interleukin-21 receptor (IL21R), partial | Yeast E.coli Baculovirus Mammalian cell In Vivo Biotinylation in E.coli |
IL21R Proteins for Mus musculus (Mouse)
產品貨號 | 產品名稱 | 來源 |
---|---|---|
CSB-YP864315MO CSB-EP864315MO CSB-BP864315MO CSB-MP864315MO CSB-EP864315MO-B |
Recombinant Mouse Interleukin-21 receptor (Il21r), partial | Yeast E.coli Baculovirus Mammalian cell In Vivo Biotinylation in E.coli |