IL22
IL22,即白細胞介素22,它是一種由Th17細胞、Th22細胞以及先天淋巴細胞等免疫細胞產生的細胞因子。IL22主要在腸道、肝、肺和皮膚等屏障組織中發揮作用。其作用機制涉及與特異性受體IL22R結合,該受體由IL22RA1和IL10RB亞基組成。結合后,IL22激活JAK/STAT信號通路,特別是STAT3的磷酸化,進而調控靶基因的表達。這一信號通路參與調節細胞增殖、分化、組織修復以及抗微生物反應。IL22對維持上皮細胞屏障的完整性、促進損傷后的組織再生和調節宿主防御機制具有重要作用。它在炎癥性腸病、肝病以及皮膚疾病中的作用尤其受到關注,其調節免疫反應和促進組織修復的功能使其成為治療相關疾病的潛在靶點。
熱銷產品
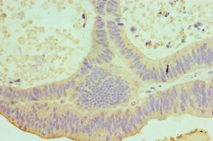
IL22 Antibody (CSB-PA867113ESR1HU)
驗證數據

Immunohistochemistry of paraffin-embedded human colon cancer using CSB-PA867113ESR1HU at dilution of 1:100
Mouse Interleukin 22(IL-22) ELISA Kit (CSB-E13513m)
驗證數據

貨號:CSB-E13513m
規格:96T/48T
靈敏度:0.078 ng/mL
檢測范圍:0.312 ng/mL-20 ng/mL
These standard curves are provided for demonstration only. A standard curve should be generated for each set of samples assayed.
IL22 Antibodies
IL22 for Homo sapiens (Human)
產品貨號 | 產品名稱 | 種屬反應性 | 應用類型 |
---|---|---|---|
CSB-PA011635GA01HU | IL22 Antibody | Human,Mouse,Rat | ELISA,WB |
CSB-PA867113ESR1HU | IL22 Antibody | Human | ELISA, IHC |
CSB-RA867113MA1HU | IL22 Recombinant Monoclonal Antibody | Human | ELISA, IHC |
IL22 Proteins
IL22 Proteins for Homo sapiens (Human)
產品貨號 | 產品名稱 | 來源 |
---|---|---|
CSB-YP867113HU CSB-EP867113HU CSB-BP867113HU CSB-MP867113HU CSB-EP867113HU-B |
Recombinant Human Interleukin-22 (IL22) | Yeast E.coli Baculovirus Mammalian cell In Vivo Biotinylation in E.coli |
CSB-AP001891HU | Recombinant Human Interleukin-22 protein (IL22) | E.Coli |
CSB-AP004361HU | Recombinant Human Interleukin-22 (IL22), partial (Active) | E.coli |
IL22 Proteins for Mus musculus (Mouse)
產品貨號 | 產品名稱 | 來源 |
---|---|---|
CSB-YP872862MO CSB-EP872862MO CSB-BP872862MO CSB-MP872862MO CSB-EP872862MO-B |
Recombinant Mouse Interleukin-22 (Il22) | Yeast E.coli Baculovirus Mammalian cell In Vivo Biotinylation in E.coli |
CSB-AP003401MO | Recombinant Mouse Interleukin-22 protein (Il22) | E.Coli |
IL22 ELISA Kit
IL22 ELISA Kit for Mus musculus (Mouse)
產品貨號 | 產品名稱 | 樣本類型 | 靈敏度 |
---|---|---|---|
CSB-E13513m | Mouse Interleukin 22(IL-22) ELISA Kit | serum, plasma, cell culture supernates, tissue homogenates | 0.078 ng/mL |
IL22 ELISA Kit for Homo sapiens (Human)
產品貨號 | 產品名稱 | 樣本類型 | 靈敏度 |
---|---|---|---|
CSB-E13418h | Human Interleukin 22(IL-22) ELISA KIT | serum, plasma, tissue homogenates | 19.5 pg/ml |
CSB-E13418h-IS | Human Interleukin 22(IL-22) ELISA KIT | serum, plasma, tissue homogenates, cell culture supernates | 0.98 pg/mL |