IL2RG
IL2RG,即白介素2受體γ鏈,別名CD132。IL2RG是多種細胞因子受體的組成部分,包括IL-2、IL-4、IL-7、IL-9、IL-15和IL-21受體,被稱為受體共同γ鏈。IL2RG與特定跨膜亞基形成異聚復合物,激活Janus激酶JAK1和JAK3,從而傳遞細胞因子的信號。IL2RG對于淋巴細胞的發育和功能至關重要,其基因突變可導致X連鎖嚴重聯合免疫缺陷(XSCID),表現為T細胞和NK細胞計數顯著下降,B細胞功能異常。
熱銷產品
Recombinant Human Cytokine receptor common subunit gamma(IL2RG),partial (Active) (CSB-MP011651HU4)
驗證數據

(Tris-Glycine gel) Discontinuous SDS-PAGE (reduced) with 5% enrichment gel and 15% separation gel.

Activity
Measured by its binding ability in a functional ELISA. Immobilized Human IL2RG at 2 μg/ml can bind Anti-IL2RG recombinant antibody (CSB-RA011651MA1HU). The EC50 is 12.19-13.63 ng/mL.
IL2RG Antibody (CSB-PA011651EA01HU)
驗證數據

Western blot
All lanes: IL2RG antibody at 12µg/ml
Lane 1: Jurkat whole cell lysate
Lane 2: K562 whole cell lysate
Lane 3: HL60 whole cell lysate
Secondary
Goat polyclonal to rabbit IgG at 1/10000 dilution
Predicted band size: 43, 21 kDa
Observed band size: 43 kDa

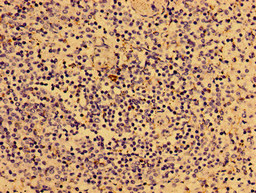
Immunohistochemistry of paraffin-embedded human spleen tissue using CSB-PA011651EA01HU at dilution of 1:100
Human Cytokine receptor common subunit gamma(IL2RG) ELISA kit (CSB-EL011651HU)
驗證數據

貨號:CSB-EL011651HU
規格:96T/48T
靈敏度:0.078 ng/mL
檢測范圍:0.312 ng/mL-20 ng/mL
These standard curves are provided for demonstration only. A standard curve should be generated for each set of samples assayed.
IL2RG Antibodies
IL2RG for Homo sapiens (Human)
產品貨號 | 產品名稱 | 種屬反應性 | 應用類型 |
---|---|---|---|
CSB-PA011651GA01HU | IL2RG Antibody | Human,Mouse,Rat | ELISA,WB |
CSB-PA011651EA01HU | IL2RG Antibody | Human | ELISA, WB, IHC |
CSB-PA011651EB01HU | IL2RG Antibody, HRP conjugated | Human | ELISA |
CSB-PA011651EC01HU | IL2RG Antibody, FITC conjugated | Human | |
CSB-PA011651ED01HU | IL2RG Antibody, Biotin conjugated | Human | ELISA |
CSB-PA005615 | IL2RG Antibody | Human | WB, ELISA |
CSB-PA927147 | IL2RG Antibody | Human | ELISA,IHC |
CSB-PA082388 | IL2RG Antibody | Human | ELISA,IHC |
IL2RG Proteins
IL2RG Proteins for Homo sapiens (Human)
產品貨號 | 產品名稱 | 來源 |
---|---|---|
CSB-YP011651HU1 CSB-EP011651HU1 CSB-BP011651HU1 CSB-MP011651HU1 CSB-EP011651HU1-B |
Recombinant Human Cytokine receptor common subunit gamma (IL2RG), partial | Yeast E.coli Baculovirus Mammalian cell In Vivo Biotinylation in E.coli |
CSB-CF011651HU | Recombinant Human Cytokine receptor common subunit gamma (IL2RG) | in vitro E.coli expression system |
CSB-BP011651HU3(M) | Recombinant Human Cytokine receptor common subunit gamma (IL2RG) (N75Q), partial | Baculovirus |
CSB-EP011651HU3(M) | Recombinant Human Cytokine receptor common subunit gamma (IL2RG) (N75Q), partial | E.coli |
CSB-MP011651HU4 | Recombinant Human Cytokine receptor common subunit gamma(IL2RG),partial (Active) | Mammalian cell |
IL2RG Proteins for Canis familiaris (Dog) (Canis lupus familiaris)
產品貨號 | 產品名稱 | 來源 |
---|---|---|
CSB-YP011651DO1 CSB-EP011651DO1 CSB-BP011651DO1 CSB-MP011651DO1 CSB-EP011651DO1-B |
Recombinant Dog Cytokine receptor common subunit gamma (IL2RG), partial | Yeast E.coli Baculovirus Mammalian cell In Vivo Biotinylation in E.coli |
CSB-CF011651DO | Recombinant Dog Cytokine receptor common subunit gamma (IL2RG) | in vitro E.coli expression system |
IL2RG Proteins for Mus musculus (Mouse)
產品貨號 | 產品名稱 | 來源 |
---|---|---|
CSB-YP011651MO1 CSB-EP011651MO1 CSB-BP011651MO1 CSB-MP011651MO1 CSB-EP011651MO1-B |
Recombinant Mouse Cytokine receptor common subunit gamma (Il2rg), partial | Yeast E.coli Baculovirus Mammalian cell In Vivo Biotinylation in E.coli |
CSB-CF011651MO | Recombinant Mouse Cytokine receptor common subunit gamma (Il2rg) | in vitro E.coli expression system |
IL2RG Proteins for Bos taurus (Bovine)
產品貨號 | 產品名稱 | 來源 |
---|---|---|
CSB-YP836046BO CSB-EP836046BO CSB-BP836046BO CSB-MP836046BO CSB-EP836046BO-B |
Recombinant Bovine Cytokine receptor common subunit gamma (IL2RG), partial | Yeast E.coli Baculovirus Mammalian cell In Vivo Biotinylation in E.coli |
IL2RG ELISA Kit
IL2RG ELISA Kit for Homo sapiens (Human)
產品貨號 | 產品名稱 | 樣本類型 | 靈敏度 |
---|---|---|---|
CSB-EL011651HU | Human Cytokine receptor common subunit gamma(IL2RG) ELISA kit | serum, plasma, tissue homogenates | 0.078 ng/mL |