MPL
MPL,即巨核細胞增生性白血病病毒受體,別名Myeloproliferative Leukemia Virus Receptor、CD110等。MPL是一種表達于造血干細胞、早期髓系和淋巴系前體細胞、內皮細胞以及某些腫瘤細胞表面的細胞表面受體。它屬于腫瘤壞死因子受體超家族成員,由人體細胞自身的基因編碼。MPL的作用機制主要涉及與多種配體結合,如TPO(血小板生成素)、ELN(內皮細胞白血病抑制因子)等,這些配體的結合能夠激活MPL,進而觸發下游的JAK2/STAT、MAPK等信號通路,促進巨核細胞的增殖和分化,影響血小板的生成。MPL在正常的造血過程中發揮著關鍵作用,尤其是在血小板的生成和功能的維持中。MPL的激活可以促進巨核細胞的增殖和成熟,從而增加血小板的產生。此外,MPL還參與了對炎癥反應、血管生成和免疫調節等過程的調控。MPL的功能異常與某些骨髓增生性疾病的發生發展有關,如原發性血小板增多癥、骨髓增生異常綜合征等。因此,MPL是血液學研究和相關疾病治療中的一個潛在靶點。
熱銷產品
Recombinant Human Thrombopoietin receptor (MPL), partial (CSB-EP014755HU)
驗證數據

(Tris-Glycine gel) Discontinuous SDS-PAGE (reduced) with 5% enrichment gel and 15% separation gel.
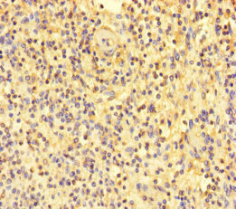
MPL Antibody (CSB-PA014755LA01HU)
驗證數據

Immunohistochemistry of paraffin-embedded human tonsil tissue using CSB-PA014755LA01HU at dilution of 1:100

Immunohistochemistry of paraffin-embedded human spleen tissue using CSB-PA014755LA01HU at dilution of 1:100

Immunofluorescent analysis of A549 cells using CSB-PA014755LA01HU at dilution of 1:100 and Alexa Fluor 488-congugated AffiniPure Goat Anti-Rabbit IgG(H+L)
MPL Antibodies
MPL for Homo sapiens (Human)
產品貨號 | 產品名稱 | 種屬反應性 | 應用類型 |
---|---|---|---|
CSB-PA005848 | MPL Antibody | Human,Mouse,Rat | WB, ELISA |
CSB-PA010219 | MPL Antibody | Human | WB, ELISA |
CSB-PA014755LA01HU | MPL Antibody | Human | ELISA, IHC, IF |
CSB-PA014755LB01HU | MPL Antibody, HRP conjugated | Human | ELISA |
CSB-PA014755LC01HU | MPL Antibody, FITC conjugated | Human |
MPL Proteins
MPL Proteins for Homo sapiens (Human)
產品貨號 | 產品名稱 | 來源 |
---|---|---|
CSB-YP014755HU | Recombinant Human Thrombopoietin receptor (MPL), partial | Yeast |
CSB-EP014755HU | Recombinant Human Thrombopoietin receptor (MPL), partial | E.coli |
CSB-BP014755HU CSB-MP014755HU CSB-EP014755HU-B |
Recombinant Human Thrombopoietin receptor (MPL), partial | Baculovirus Mammalian cell In Vivo Biotinylation in E.coli |
MPL Proteins for Listeria monocytogenes serovar 1/2a (strain ATCC BAA-679 / EGD-e)
產品貨號 | 產品名稱 | 來源 |
---|---|---|
CSB-YP332898LPY CSB-EP332898LPY CSB-BP332898LPY CSB-MP332898LPY CSB-EP332898LPY-B |
Recombinant Listeria monocytogenes serovar 1/2a Zinc metalloproteinase (mpl) | Yeast E.coli Baculovirus Mammalian cell In Vivo Biotinylation in E.coli |
MPL Proteins for Listeria monocytogenes
產品貨號 | 產品名稱 | 來源 |
---|---|---|
CSB-YP333848LGW CSB-EP333848LGW CSB-BP333848LGW CSB-MP333848LGW CSB-EP333848LGW-B |
Recombinant Zinc metalloproteinase (mpl) | Yeast E.coli Baculovirus Mammalian cell In Vivo Biotinylation in E.coli |
MPL Proteins for Haemophilus influenzae (strain ATCC 51907 / DSM 11121 / KW20 / Rd)
產品貨號 | 產品名稱 | 來源 |
---|---|---|
CSB-YP337588HTA CSB-EP337588HTA CSB-BP337588HTA CSB-MP337588HTA CSB-EP337588HTA-B |
Recombinant Haemophilus influenzae UDP-N-acetylmuramate:L-alanyl-gamma-D-glutamyl-meso-diaminopimelate ligase (mpl) | Yeast E.coli Baculovirus Mammalian cell In Vivo Biotinylation in E.coli |
MPL Proteins for Escherichia coli (strain K12)
產品貨號 | 產品名稱 | 來源 |
---|---|---|
CSB-YP339870ENV CSB-EP339870ENV CSB-BP339870ENV CSB-MP339870ENV CSB-EP339870ENV-B |
Recombinant Escherichia coli UDP-N-acetylmuramate:L-alanyl-gamma-D-glutamyl-meso-diaminopimelate ligase (mpl) | Yeast E.coli Baculovirus Mammalian cell In Vivo Biotinylation in E.coli |
MPL Proteins for Mus musculus (Mouse)
產品貨號 | 產品名稱 | 來源 |
---|---|---|
CSB-YP600093MO CSB-EP600093MO CSB-BP600093MO CSB-MP600093MO CSB-EP600093MO-B |
Recombinant Mouse Thrombopoietin receptor (Mpl) | Yeast E.coli Baculovirus Mammalian cell In Vivo Biotinylation in E.coli |