NFATC1
NFATC1,即核因子活化T細胞1,別名NFAT2、NFATc、NF-ATC、NF-ATc1.2等。它是一種由NFATC1基因編碼的轉錄因子,主要在免疫細胞如T細胞和B細胞中表達,對免疫應答中的基因轉錄調控起關鍵作用。NFATC1的作用機制涉及鈣調磷酸酶的激活,導致其從細胞質轉移到細胞核,進而調控靶基因的表達。NFATC1參與調節免疫反應、細胞增殖、分化和遷移等過程,對維持免疫系統平衡至關重要。異常的NFATC1表達與多種疾病相關,包括自身免疫疾病、心血管疾病和腫瘤等。
熱銷產品
NFATC1 Antibody (CSB-PA17827A0Rb)
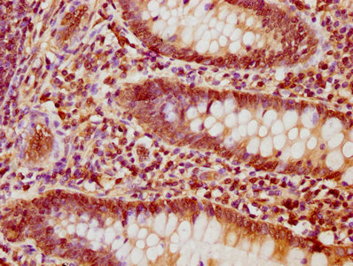
驗證數據

IHC image of CSB-PA17827A0Rb diluted at 1:1200 and staining in paraffin-embedded human appendix tissue performed on a Leica BondTM system. After dewaxing and hydration, antigen retrieval was mediated by high pressure in a citrate buffer (pH 6.0). Section was blocked with 10% normal goat serum 30min at RT. Then primary antibody (1% BSA) was incubated at 4°C overnight. The primary is detected by a biotinylated secondary antibody and visualized using an HRP conjugated SP system.

Immunofluorescent analysis of HepG2 cells using CSB-PA17827A0Rb at dilution of 1: 100 and Alexa Fluor 488-congugated AffiniPure Goat Anti-Rabbit IgG(H+L)
NFATC1 Antibodies
NFATC1 for Homo sapiens (Human)
產品貨號 | 產品名稱 | 種屬反應性 | 應用類型 |
---|---|---|---|
CSB-PA005617 | NFATC1 Antibody | Human,Mouse | WB, ELISA |
CSB-PA020078 | Phospho-NFATC1 (S294) Antibody | Human,Mouse | IHC, ELISA |
CSB-PA239200 | NFATC1 Antibody | Human,Mouse | ELISA,IHC |
CSB-PA17827A0Rb | NFATC1 Antibody | Human | ELISA, IHC, IF |
CSB-PA17827C0Rb | NFATC1 Antibody, FITC conjugated | Human | |
CSB-PA17827D0Rb | NFATC1 Antibody, Biotin conjugated | Human | ELISA |
NFATC1 Proteins
NFATC1 Proteins for Bos taurus (Bovine)
產品貨號 | 產品名稱 | 來源 |
---|---|---|
CSB-YP015745BO CSB-EP015745BO CSB-BP015745BO CSB-MP015745BO CSB-EP015745BO-B |
Recombinant Bovine Nuclear factor of activated T-cells, cytoplasmic 1 (NFATC1), partial | Yeast E.coli Baculovirus Mammalian cell In Vivo Biotinylation in E.coli |
NFATC1 Proteins for Sus scrofa (Pig)
產品貨號 | 產品名稱 | 來源 |
---|---|---|
CSB-YP015745PI CSB-EP015745PI CSB-BP015745PI CSB-MP015745PI CSB-EP015745PI-B |
Recombinant Pig Nuclear factor of activated T-cells, cytoplasmic 1 (NFATC1), partial | Yeast E.coli Baculovirus Mammalian cell In Vivo Biotinylation in E.coli |
NFATC1 Proteins for Mus musculus (Mouse)
產品貨號 | 產品名稱 | 來源 |
---|---|---|
CSB-YP015745MO CSB-EP015745MO CSB-BP015745MO CSB-MP015745MO CSB-EP015745MO-B |
Recombinant Mouse Nuclear factor of activated T-cells, cytoplasmic 1 (Nfatc1) | Yeast E.coli Baculovirus Mammalian cell In Vivo Biotinylation in E.coli |
NFATC1 Proteins for Homo sapiens (Human)
產品貨號 | 產品名稱 | 來源 |
---|---|---|
CSB-YP015745HU CSB-EP015745HU CSB-BP015745HU CSB-MP015745HU CSB-EP015745HU-B |
Recombinant Human Nuclear factor of activated T-cells, cytoplasmic 1 (NFATC1), partial | Yeast E.coli Baculovirus Mammalian cell In Vivo Biotinylation in E.coli |