RORC
RORC,全稱為RAR related orphan receptor C,常見別名包括NR1F3、RORG、RZRG和TOR。該蛋白屬于核受體超家族中的ROR基因家族,參與晝夜節律、免疫調節、代謝和發育等過程。RORC蛋白在免疫細胞中發揮重要作用,特別是Th17細胞的分化和功能調控。研究發現,RORC蛋白的表達與自身免疫性疾病密切相關,如多發性硬化、銀屑病和類風濕關節炎等。此外,RORC蛋白還參與淋巴器官發育和腸道免疫穩態的維持。由于RORC蛋白在疾病發生發展中的作用,已成為研究的熱點,相關藥物研發也在進行中,例如開發針對RORC蛋白的反向激動劑,以治療自身免疫性疾病。
熱銷產品
Recombinant Human Nuclear receptor ROR-gamma (RORC) (CSB-EP020071HU)
驗證數據

(Tris-Glycine gel) Discontinuous SDS-PAGE (reduced) with 5% enrichment gel and 15% separation gel.

Based on the SEQUEST from database of E.coli host and target protein, the LC-MS/MS Analysis result of CSB-EP020071HU could indicate that this peptide derived from E.coli-expressed Homo sapiens (Human) RORC.

Based on the SEQUEST from database of E.coli host and target protein, the LC-MS/MS Analysis result of CSB-EP020071HU could indicate that this peptide derived from E.coli-expressed Homo sapiens (Human) RORC.
RORC Antibody (CSB-PA020071LA01HU)
驗證數據

Western Blot
Positive WB detected in: HepG2 whole cell lysate
All lanes: RORC antibody at 5.2μg/ml
Secondary
Goat polyclonal to rabbit IgG at 1/50000 dilution
Predicted band size: 59, 56 kDa
Observed band size: 59 kDa

Western Blot
Positive WB detected in: HT29 whole cell lysate, MCF7 whole cell lysate, Jurkat whole cell lysate, HepG2 whole cell lysate
All lanes: RORC antibody at 1:1000
Secondary
Goat polyclonal to rabbit IgG at 1/50000 dilution
Predicted band size: 59, 56 kDa
Observed band size: 59 kDa

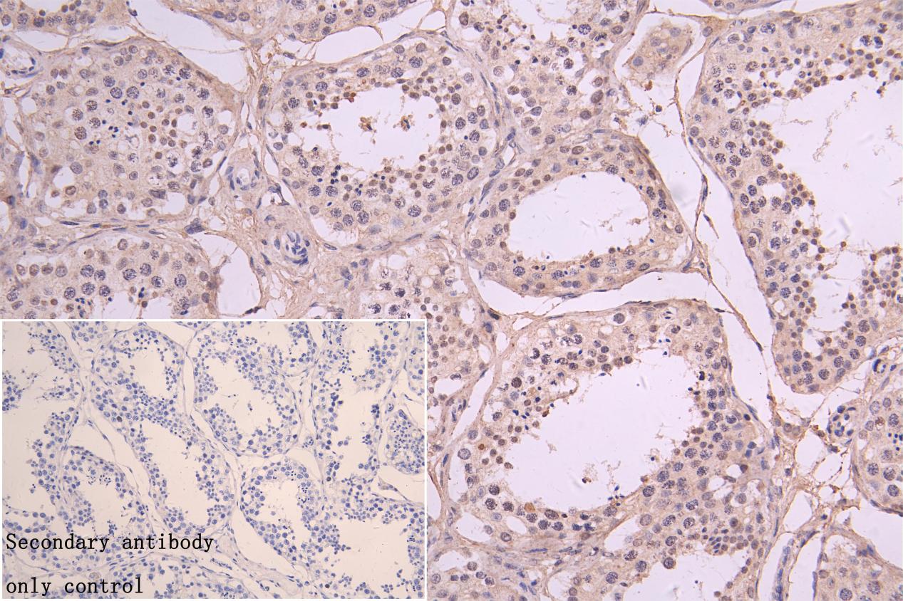
IHC image of CSB-PA020071LA01HU diluted at 1:1000 and staining in paraffin-embedded human testis tissue performed on a Leica BondTM system. After dewaxing and hydration, antigen retrieval was mediated by high pressure in a citrate buffer (pH 6.0). Section was blocked with 10% normal goat serum 30min at RT. Then primary antibody (1% BSA) was incubated at 4°C overnight. The primary is detected by a Goat anti-rabbit polymer IgG labeled by HRP and visualized using 0.05% DAB. Secondary antibody only control: uses 1% BSA instead of primary antibody

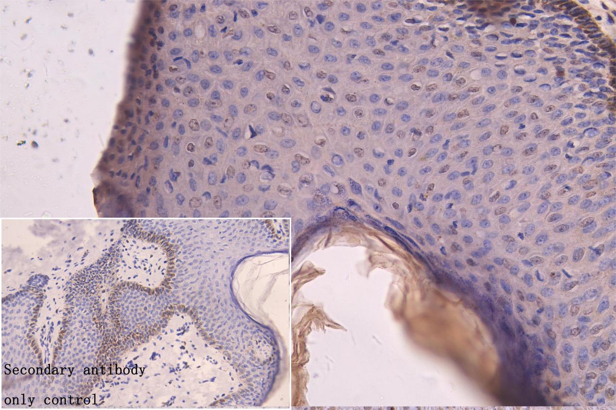
IHC image of CSB-PA020071LA01HU diluted at 1:1000 and staining in paraffin-embedded human skin tissue performed on a Leica BondTM system. After dewaxing and hydration, antigen retrieval was mediated by high pressure in a citrate buffer (pH 6.0). Section was blocked with 10% normal goat serum 30min at RT. Then primary antibody (1% BSA) was incubated at 4°C overnight. The primary is detected by a Goat anti-rabbit polymer IgG labeled by HRP and visualized using 0.05% DAB. Secondary antibody only control: uses 1% BSA instead of primary antibody

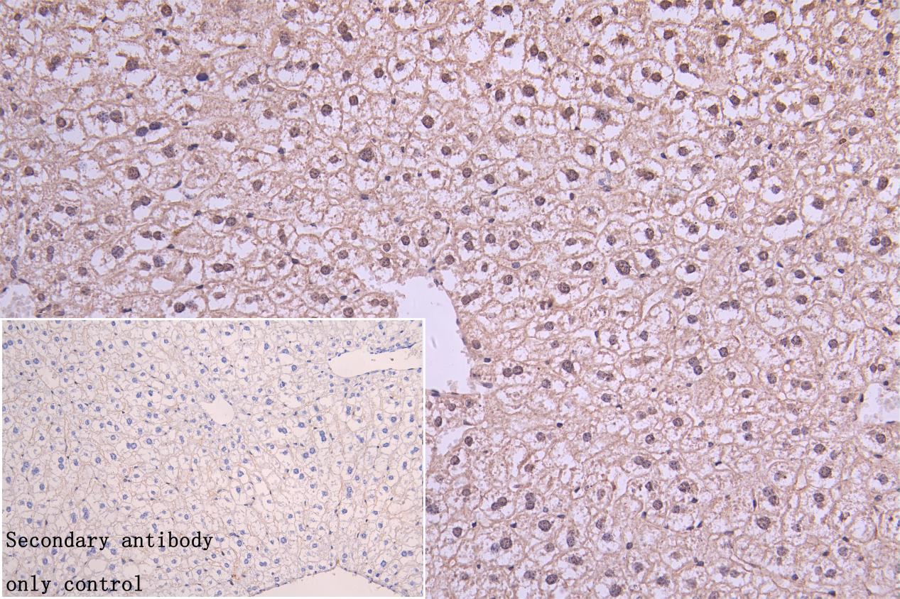
IHC image of CSB-PA020071LA01HU diluted at 1:1000 and staining in paraffin-embedded mouse liver tissue performed on a Leica BondTM system. After dewaxing and hydration, antigen retrieval was mediated by high pressure in a citrate buffer (pH 6.0). Section was blocked with 10% normal goat serum 30min at RT. Then primary antibody (1% BSA) was incubated at 4°C overnight. The primary is detected by a Goat anti-rabbit polymer IgG labeled by HRP and visualized using 0.05% DAB. Secondary antibody only control: uses 1% BSA instead of primary antibody
Human Nuclear receptor ROR-gamma(RORC) ELISA kit (CSB-EL020071HU)
驗證數據

貨號:CSB-EL020071HU
規格:96T/48T
靈敏度:3.12 pg/mL
檢測范圍:12.5 pg/mL-800 pg/mL
These standard curves are provided for demonstration only. A standard curve should be generated for each set of samples assayed.
RORC Antibodies
RORC for Homo sapiens (Human)
產品貨號 | 產品名稱 | 種屬反應性 | 應用類型 |
---|---|---|---|
CSB-PA020071GA01HU | RORC Antibody | Human,Mouse,Rat | ELISA,WB |
CSB-PA020071LA01HU | RORC Antibody | Human | ELISA, WB, IHC |
CSB-PA020071LB01HU | RORC Antibody, HRP conjugated | Human | ELISA |
CSB-PA020071LC01HU | RORC Antibody, FITC conjugated | Human | |
CSB-PA020071LD01HU | RORC Antibody, Biotin conjugated | Human | ELISA |
CSB-PA439853 | RORC Antibody | Human,Mouse | ELISA,WB |
CSB-PA004023 | RORC Antibody | Human,Mouse | WB, ELISA |
RORC Proteins
RORC Proteins for Homo sapiens (Human)
產品貨號 | 產品名稱 | 來源 |
---|---|---|
CSB-YP020071HU CSB-BP020071HU CSB-MP020071HU CSB-EP020071HU-B |
Recombinant Human Nuclear receptor ROR-gamma (RORC) | Yeast Baculovirus Mammalian cell In Vivo Biotinylation in E.coli |
CSB-EP020071HU | Recombinant Human Nuclear receptor ROR-gamma (RORC) | E.coli |
RORC Proteins for Mus musculus (Mouse)
產品貨號 | 產品名稱 | 來源 |
---|---|---|
CSB-YP020071MO | Recombinant Mouse Nuclear receptor ROR-gamma (Rorc) | Yeast |
CSB-EP020071MO CSB-BP020071MO CSB-MP020071MO CSB-EP020071MO-B |
Recombinant Mouse Nuclear receptor ROR-gamma (Rorc) | E.coli Baculovirus Mammalian cell In Vivo Biotinylation in E.coli |
RORC Proteins for Pongo abelii (Sumatran orangutan)
產品貨號 | 產品名稱 | 來源 |
---|---|---|
CSB-YP729014PYX CSB-EP729014PYX CSB-BP729014PYX CSB-MP729014PYX CSB-EP729014PYX-B |
Recombinant Pongo abelii Nuclear receptor ROR-gamma (RORC), partial | Yeast E.coli Baculovirus Mammalian cell In Vivo Biotinylation in E.coli |
RORC ELISA Kit
RORC ELISA Kit for Homo sapiens (Human)
產品貨號 | 產品名稱 | 樣本類型 | 靈敏度 |
---|---|---|---|
CSB-EL020071HU | Human Nuclear receptor ROR-gamma(RORC) ELISA kit | serum, plasma, tissue homogenates, cell lysates | 3.12 pg/mL |