SELPLG
SELPLG,即選擇素P配體,別名CLA、CD162、PSGL1、PSGL-1,是一種由人類SELPLG基因編碼的糖蛋白,主要在骨髓細胞和受刺激的T淋巴細胞上表達。
SELPLG通過作為P-、E-和L-選擇素的高親和力反受體,介導白細胞與活化的血小板或表達選擇素的內皮細胞的粘附,這一過程對于炎癥期間白細胞的運輸至關重要。SELPLG需要經過酪氨酸硫酸化和O-連接的聚糖添加唾液酸Lewis x四糖(sLex)的翻譯后修飾,以實現其高親和力結合活性。SELPLG在先天性和適應性免疫反應中發揮關鍵作用,其異常表達和基因多態性與免疫反應的缺陷有關。
熱銷產品
SELPLG Recombinant Monoclonal Antibody (CSB-RA567010A0HU)
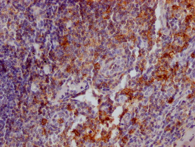
驗證數據

IHC image of CSB-RA567010A0HU diluted at 1:100 and staining in paraffin-embedded human tonsil tissue performed on a Leica BondTM system. After dewaxing and hydration, antigen retrieval was mediated by high pressure in a citrate buffer (pH 6.0). Section was blocked with 10% normal goat serum 30min at RT. Then primary antibody (1% BSA) was incubated at 4℃ overnight. The primary is detected by a Goat anti-rabbit IgG polymer labeled by HRP and visualized using 0.05% DAB.
SELPLG Antibodies
SELPLG for Homo sapiens (Human)
產品貨號 | 產品名稱 | 種屬反應性 | 應用類型 |
---|---|---|---|
CSB-PA006151 | SELPLG Antibody | Human | WB, ELISA |
CSB-PA148952 | SELPLG Antibody | Human | ELISA,IHC |
CSB-PA129120 | SELPLG Antibody | Human | ELISA,IHC |
CSB-RA567010A0HU | SELPLG Recombinant Monoclonal Antibody | Human | ELISA, IHC |
SELPLG Proteins
SELPLG Proteins for Homo sapiens (Human)
產品貨號 | 產品名稱 | 來源 |
---|---|---|
CSB-YP621767HU CSB-EP621767HU CSB-BP621767HU CSB-MP621767HU CSB-EP621767HU-B |
Recombinant Human P-selectin glycoprotein ligand 1 (SELPLG), partial | Yeast E.coli Baculovirus Mammalian cell In Vivo Biotinylation in E.coli |
SELPLG Proteins for Mus musculus (Mouse)
產品貨號 | 產品名稱 | 來源 |
---|---|---|
CSB-YP730777MO CSB-EP730777MO CSB-BP730777MO CSB-MP730777MO CSB-EP730777MO-B |
Recombinant Mouse P-selectin glycoprotein ligand 1 (Selplg), partial | Yeast E.coli Baculovirus Mammalian cell In Vivo Biotinylation in E.coli |