SMAD3
SMAD3,也被稱為madh3或Smad家族成員3,是一種參與細胞信號傳導的轉錄因子。SMAD3蛋白參與多種過程,如水解酶活性的正向調節、基因表達調節以及跨膜受體蛋白絲氨酸/蘇氨酸激酶信號通路。SMAD3蛋白在多種疾病中發揮重要作用,包括炎癥性腸病、自身免疫性疾病以及腫瘤。在炎癥性腸病中,SMAD3信號通路缺陷會導致腸道炎癥和潰瘍。在自身免疫性疾病中,SMAD3蛋白的激活受損會影響免疫細胞亞型的平衡,導致自身免疫反應。針對SMAD3蛋白的藥物研發主要集中在抑制其活性或阻斷其信號通路。一些小分子抑制劑已被開發用于治療炎癥性腸病和腫瘤。例如,E-SIS3是一種選擇性的SMAD3抑制劑,可以抑制成纖維細胞向肌成纖維細胞分化,從而減輕組織纖維化。此外,一些靶向SMAD3蛋白的抗體藥物也正在臨床研究中,用于治療多種疾病。
熱銷產品
Recombinant Human Mothers against decapentaplegic homolog 3 (SMAD3) (CSB-EP021788HUb0)
驗證數據

(Tris-Glycine gel) Discontinuous SDS-PAGE (reduced) with 5% enrichment gel and 15% separation gel.
SMAD3 Antibody (CSB-PA021788ESR2HU)
驗證數據

Western blot
All lanes: SMAD3 antibody at 8μg/ml
Lane 1: Jurkat whole cell lysate
Lane 2: A431 whole cell lysate
Secondary
Goat polyclonal to rabbit IgG at 1/10000 dilution
Predicted band size: 49, 44, 36, 26 kDa
Observed band size: 49 kDa

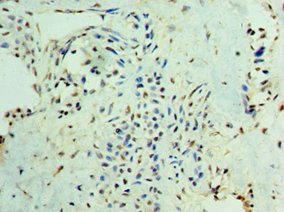
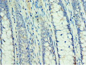
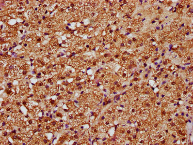
Immunohistochemistry of paraffin-embedded human breast cancer using CSB-PA021788ESR2HU at dilution of 1:100

Immunohistochemistry of paraffin-embedded human colon cancer using CSB-PA021788ESR2HU at dilution of 1:100

Immunoprecipitating SMAD3 in Jurkat whole cell lysate
Lane 1: Rabbit control IgG instead of (1μg) instead of CSB-PA021788ESR2HU in Jurkat whole cell lysate.
For western blotting, a HRP-conjugated anti-rabbit IgG, specific to the non-reduced form of IgG was used as the Secondary antibody (1/50000)
Lane 2: CSB-PA021788ESR2HU (4μg) + Jurkat whole cell lysate (500μg)
Lane 3: Jurkat whole cell lysate (20μg)

IHC image of CSB-PA021788ESR2HU diluted at 1:388 and staining in paraffin-embedded human adrenal gland tissue performed on a Leica BondTM system. After dewaxing and hydration, antigen retrieval was mediated by high pressure in a citrate buffer (pH 6.0). Section was blocked with 10% normal goat serum 30min at RT. Then primary antibody (1% BSA) was incubated at 4°C overnight. The primary is detected by a biotinylated secondary antibody and visualized using an HRP conjugated SP system.

Immunofluorescence staining of A549 cells with CSB-PA021788ESR2HU at 1:129, counter-stained with DAPI. The cells were fixed in 4% formaldehyde, permeabilized using 0.2% Triton X-100 and blocked in 10% normal Goat Serum. The cells were then incubated with the antibody overnight at 4°C. The secondary antibody was Alexa Fluor 488-congugated AffiniPure Goat Anti-Rabbit IgG(H+L).
SMAD3 Antibodies
SMAD3 for Homo sapiens (Human)
產品貨號 | 產品名稱 | 種屬反應性 | 應用類型 |
---|---|---|---|
CSB-PA021788GA01HU | SMAD3 Antibody | Human | ELISA,WB,IHC |
CSB-PA021788LA01HU | SMAD3 Antibody | Human | ELISA, WB |
CSB-PA021788LC01HU | SMAD3 Antibody, FITC conjugated | Human | |
CSB-PA898915 | Phospho-SMAD3 (Ser425) Antibody | Human,Mouse,Rat | ELISA,WB,IHC |
CSB-PA440262 | SMAD3 (Ab-208) Antibody | Human,Mouse,Rat | ELISA,IHC,IF |
CSB-PA794085 | SMAD3 (Ab-425) Antibody | Human,Mouse,Rat | ELISA,IHC,IF |
CSB-PA620192 | Phospho-SMAD3 (Ser208) Antibody | Human,Mouse,Rat | ELISA,WB |
CSB-PA909608 | Phospho-SMAD3 (Ser204) Antibody | Human,Mouse,Rat | ELISA,WB |
CSB-PA282191 | Phospho-SMAD3 (Ser213) Antibody | Human,Mouse,Rat | ELISA,WB |
CSB-PA905682 | Phospho-SMAD3 (Thr179) Antibody | Human,Mouse,Rat | ELISA,WB |
CSB-PA103091 | SMAD3 (Ab-204) Antibody | Human,Mouse,Rat | ELISA,WB,IHC |
CSB-PA021788ESR2HU | SMAD3 Antibody | Human | ELISA, WB, IHC, IF, IP |
CSB-PA000651 | Phospho-SMAD3 (S204) Antibody | Human,Mouse,Rat | WB, IHC, IF, ELISA |
CSB-PA000676 | Phospho-SMAD3 (S425) Antibody | Human,Mouse,Rat | WB, IHC, ELISA |
CSB-PA000711 | Phospho-SMAD3 (S208) Antibody | Human,Mouse,Rat | WB, IHC, ELISA |
CSB-PA004113 | SMAD3 Antibody | Human,Mouse,Rat | WB, IHC, ELISA |
CSB-PA004115 | SMAD3 Antibody | Human,Mouse,Rat | WB, IHC, ELISA |
CSB-PA009957 | Phospho-SMAD3 (S213) Antibody | Human,Mouse,Rat | WB, IHC, ELISA |
CSB-PA009959 | Phospho-SMAD3 (T179) Antibody | Human,Mouse,Rat | WB, IHC, ELISA |
CSB-PA009960 | SMAD3 Antibody | Human,Mouse,Rat | WB, IHC, ELISA |
CSB-PA080212 | SMAD3 Antibody | Human,Mouse,Rat | WB, IHC |
CSB-PA080213 | SMAD3 Antibody | Human | WB, IHC |
CSB-PA039919 | SMAD3 Antibody | Human,Mouse,Rat | ELISA,WB,IHC |
CSB-PA033427 | SMAD3 Antibody | Human,Mouse,Rat | ELISA,IHC |
CSB-MA388929 | Phospho-SMAD3(S425) Monoclonal Antibody | Human,Mouse,Rat | ELISA,IHC |
SMAD3 Proteins
SMAD3 Proteins for Homo sapiens (Human)
產品貨號 | 產品名稱 | 來源 |
---|---|---|
CSB-YP021788HU CSB-MP021788HU CSB-EP021788HU-B |
Recombinant Human Mothers against decapentaplegic homolog 3 (SMAD3) | Yeast Mammalian cell In Vivo Biotinylation in E.coli |
CSB-EP021788HU | Recombinant Human Mothers against decapentaplegic homolog 3 (SMAD3) | E.coli |
CSB-BP021788HU | Recombinant Human Mothers against decapentaplegic homolog 3 (SMAD3) | Baculovirus |
CSB-EP021788HUb0 | Recombinant Human Mothers against decapentaplegic homolog 3 (SMAD3) | E.coli |
SMAD3 Proteins for Rattus norvegicus (Rat)
產品貨號 | 產品名稱 | 來源 |
---|---|---|
CSB-YP021788RA CSB-EP021788RA CSB-BP021788RA CSB-MP021788RA CSB-EP021788RA-B |
Recombinant Rat Mothers against decapentaplegic homolog 3 (Smad3) | Yeast E.coli Baculovirus Mammalian cell In Vivo Biotinylation in E.coli |
SMAD3 Proteins for Gallus gallus (Chicken)
產品貨號 | 產品名稱 | 來源 |
---|---|---|
CSB-YP021788CH CSB-EP021788CH CSB-BP021788CH CSB-MP021788CH CSB-EP021788CH-B |
Recombinant Chicken Mothers against decapentaplegic homolog 3 (SMAD3) | Yeast E.coli Baculovirus Mammalian cell In Vivo Biotinylation in E.coli |
SMAD3 Proteins for Sus scrofa (Pig)
產品貨號 | 產品名稱 | 來源 |
---|---|---|
CSB-YP021788PI CSB-EP021788PI CSB-BP021788PI CSB-MP021788PI CSB-EP021788PI-B |
Recombinant Pig Mothers against decapentaplegic homolog 3 (SMAD3) | Yeast E.coli Baculovirus Mammalian cell In Vivo Biotinylation in E.coli |
SMAD3 Proteins for Mus musculus (Mouse)
產品貨號 | 產品名稱 | 來源 |
---|---|---|
CSB-YP804860MO CSB-EP804860MO CSB-BP804860MO CSB-MP804860MO CSB-EP804860MO-B |
Recombinant Mouse Mothers against decapentaplegic homolog 3 (Smad3) | Yeast E.coli Baculovirus Mammalian cell In Vivo Biotinylation in E.coli |