SOCS3
SOCS3,即細胞因子信號傳導抑制因子3,別名EF10、EF-10、CISH3、SSI3、CIS-3、SOCS-3、ATOD4、MGC71791等。SOCS3由人類SOCS3基因編碼,該基因廣泛表達于多種組織中。SOCS3主要通過與JAK/STAT信號通路中的酪氨酸激酶受體結合,抑制其活性,從而負向調節細胞因子信號傳導。它能夠抑制包括gp130、LIF、促紅細胞生成素、胰島素、IL12、GCSF和瘦素受體在內的多種細胞因子信號傳導。SOCS3參與調節免疫反應、炎癥過程以及代謝過程,對于維持機體免疫平衡和抑制腫瘤生長具有重要作用。SOCS3的異常表達與多種疾病相關,包括腫瘤、自身免疫性疾病和代謝性疾病。
熱銷產品
SOCS3 Antibody (CSB-PA022392EA01HU)
驗證數據

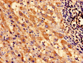
Immunocytochemistry analysis of human liver cancer using CSB-PA022392EA01HU at dilution of 1:100

Immunofluorescent analysis of Hela cells using CSB-PA022392EA01HU at dilution of 1:100 and Alexa Fluor 488-congugated AffiniPure Goat Anti-Rabbit IgG(H+L)
SOCS3 Antibodies
SOCS3 for Homo sapiens (Human)
產品貨號 | 產品名稱 | 種屬反應性 | 應用類型 |
---|---|---|---|
CSB-PA022392GA01HU | SOCS3 Antibody | Human,Mouse,Rat | ELISA,WB,IHC,IF |
CSB-PA938450 | SOCS3 Antibody | Human,Mouse,Rat | ELISA,WB,IHC |
CSB-PA957037 | SOCS3 Antibody | Human,Mouse,Rat | ELISA,WB,IHC |
CSB-PA022392EA01HU | SOCS3 Antibody | Human | ELISA, IHC, IF |
CSB-PA022392EB01HU | SOCS3 Antibody, HRP conjugated | Human | ELISA |
CSB-PA022392EC01HU | SOCS3 Antibody, FITC conjugated | Human | |
CSB-PA022392ED01HU | SOCS3 Antibody, Biotin conjugated | Human | ELISA |
SOCS3 for Rattus norvegicus (Rat)
產品貨號 | 產品名稱 | 種屬反應性 | 應用類型 |
---|---|---|---|
CSB-PA022392LA01RA | Socs3 Antibody | Rat, Human | ELISA, WB |
CSB-PA022392LD01RA | Socs3 Antibody, Biotin conjugated | Rat | ELISA |
CSB-PA022392LC01RA | Socs3 Antibody, FITC conjugated | Rat | |
CSB-PA022392LB01RA | Socs3 Antibody, HRP conjugated | Rat | ELISA |
SOCS3 Proteins
SOCS3 Proteins for Homo sapiens (Human)
產品貨號 | 產品名稱 | 來源 |
---|---|---|
CSB-YP022392HU CSB-EP022392HU CSB-BP022392HU CSB-MP022392HU CSB-EP022392HU-B |
Recombinant Human Suppressor of cytokine signaling 3 (SOCS3) | Yeast E.coli Baculovirus Mammalian cell In Vivo Biotinylation in E.coli |
SOCS3 Proteins for Mus musculus (Mouse)
產品貨號 | 產品名稱 | 來源 |
---|---|---|
CSB-YP022392MO CSB-EP022392MO CSB-BP022392MO CSB-MP022392MO CSB-EP022392MO-B |
Recombinant Mouse Suppressor of cytokine signaling 3 (Socs3) | Yeast E.coli Baculovirus Mammalian cell In Vivo Biotinylation in E.coli |
SOCS3 Proteins for Rattus norvegicus (Rat)
產品貨號 | 產品名稱 | 來源 |
---|---|---|
CSB-YP022392RA | Recombinant Rat Suppressor of cytokine signaling 3 (Socs3) | Yeast |
CSB-EP022392RA | Recombinant Rat Suppressor of cytokine signaling 3 (Socs3) | E.coli |
CSB-BP022392RA CSB-MP022392RA CSB-EP022392RA-B |
Recombinant Rat Suppressor of cytokine signaling 3 (Socs3) | Baculovirus Mammalian cell In Vivo Biotinylation in E.coli |
SOCS3 Proteins for Canis familiaris (Dog) (Canis lupus familiaris)
產品貨號 | 產品名稱 | 來源 |
---|---|---|
CSB-YP022392DO CSB-EP022392DO CSB-BP022392DO CSB-MP022392DO CSB-EP022392DO-B |
Recombinant Dog Suppressor of cytokine signaling 3 (SOCS3) | Yeast E.coli Baculovirus Mammalian cell In Vivo Biotinylation in E.coli |
SOCS3 Proteins for Gallus gallus (Chicken)
產品貨號 | 產品名稱 | 來源 |
---|---|---|
CSB-YP022392CH CSB-EP022392CH CSB-BP022392CH CSB-MP022392CH CSB-EP022392CH-B |
Recombinant Chicken Suppressor of cytokine signaling 3 (SOCS3) | Yeast E.coli Baculovirus Mammalian cell In Vivo Biotinylation in E.coli |
SOCS3 Proteins for Bos taurus (Bovine)
產品貨號 | 產品名稱 | 來源 |
---|---|---|
CSB-YP022392BO CSB-EP022392BO CSB-BP022392BO CSB-MP022392BO CSB-EP022392BO-B |
Recombinant Bovine Suppressor of cytokine signaling 3 (SOCS3) | Yeast E.coli Baculovirus Mammalian cell In Vivo Biotinylation in E.coli |
SOCS3 ELISA Kit
SOCS3 ELISA Kit for Homo sapiens (Human)
產品貨號 | 產品名稱 | 樣本類型 | 靈敏度 |
---|---|---|---|
CSB-E11637h | Human suppressors of cytokine signaling 3,SOCS-3 ELISA Kit | serum, plasma, tissue homogenates, cell lysates | 11.75 pg/mL |