VSIR
VSIR作為一個涉及病毒易感性和干擾素反應的基因或蛋白質,其具體的結構、功能和信號通路目前可能尚未完全明確。然而,基于生物學和病毒學原理,我們可以推測VSIR可能包含多個功能域,參與細胞的病毒識別和反應,并在抗病毒免疫中發揮重要作用。當細胞受到病毒感染時,VSIR可能被激活,觸發一系列信號轉導事件,進而啟動抗病毒基因的表達或細胞防御機制。雖然目前關于VSIR的具體細節仍待深入研究,但隨著科學研究的進展,我們有望對其有更全面和準確的認識。
熱銷產品
驗證數據

All lanes: C10orf54 antibody at 4μg/ml + Mouse liver tissue
Secondary
Goat polyclonal to rabbit IgG at 1/10000 dilution
Predicted band size: 34 kDa
Observed band size: 34 kDa

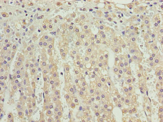
Immunohistochemistry of paraffin-embedded human adrenal gland tissue using CSB-PA884484LA01HU at dilution of 1:100
VSIR Antibodies
VSIR for Homo sapiens (Human)
產品貨號 | 產品名稱 | 種屬反應性 | 應用類型 |
---|---|---|---|
CSB-PA884484LA01HU | VSIR Antibody | Human, Mouse | ELISA, WB, IHC |
CSB-PA884484LB01HU | VSIR Antibody, HRP conjugated | Human | ELISA |
CSB-PA884484LC01HU | VSIR Antibody, FITC conjugated | Human |
VSIR Proteins
VSIR Proteins for Homo sapiens (Human)
產品貨號 | 產品名稱 | 來源 |
---|---|---|
CSB-YP884484HU CSB-EP884484HU CSB-BP884484HU CSB-EP884484HU-B |
Recombinant Human V-type immunoglobulin domain-containing suppressor of T-cell activation (VSIR), partial | Yeast E.coli Baculovirus In Vivo Biotinylation in E.coli |
CSB-MP884484HU-B | Recombinant Human V-type immunoglobulin domain-containing suppressor of T-cell activation (VSIR), partial,Biotinylated | Mammalian cell |
CSB-MP884484HU | Recombinant Human V-type immunoglobulin domain-containing suppressor of T-cell activation (VSIR), partial (Active) | Mammalian cell |
VSIR ELISA Kit
VSIR ELISA Kit for Homo sapiens (Human)
產品貨號 | 產品名稱 | 樣本類型 | 靈敏度 |
---|---|---|---|
CSB-EL002961HU | Human Platelet receptor Gi24(C10orf54) ELISA kit | serum, plasma, tissue homogenates, cell lysates | 0.039 ng/mL |