CD163
CD163是一種由CD163基因編碼的富含半胱氨酸的清道夫受體B型,主要表達于單核巨噬細胞和巨噬細胞系中。其結構包括一個由1048個氨基酸殘基組成的胞外結構域、跨膜段和胞質尾部。盡管CD163不像某些受體直接觸發典型的信號級聯,但它通過與其他分子的相互作用影響細胞內信號傳遞。作為血紅蛋白-結合珠蛋白復合物的清道夫受體,CD163參與血紅蛋白的清除和鐵的回收。此外,它在調節免疫反應中扮演重要角色,如抑制炎癥因子產生并促進抗炎因子表達,從而在炎癥性疾病和腫瘤中發揮關鍵作用。
熱銷產品
CD4 Recombinant Monoclonal Antibody (CSB-RA004935A0HU)
驗證數據

Western Blot
Positive WB detected in Jurkat whole cell lysate
All lanes CD4 antibody at 0.8μg/ml
Secondary
Goat polyclonal to rabbit IgG at 1/50000 dilution
Predicted band size: 55 KDa
Observed band size: 55 KDa

IHC image of CSB-RA004935A0HU diluted at 1:100 and staining in paraffin-embedded human lymph node tissue performed on a Leica BondTM system. After dewaxing and hydration, antigen retrieval was mediated by high pressure in a citrate buffer (pH 6.0). Section was blocked with 10% normal goat serum 30min at RT. Then primary antibody (1% BSA) was incubated at 4℃ overnight. The primary is detected by a biotinylated secondary antibody and visualized using an HRP conjugated SP system.

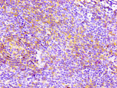
IHC image of CSB-RA004935A0HU diluted at 1:100 and staining in paraffin-embedded human spleen tissue performed on a Leica BondTM system. After dewaxing and hydration, antigen retrieval was mediated by high pressure in a citrate buffer (pH 6.0). Section was blocked with 10% normal goat serum 30min at RT. Then primary antibody (1% BSA) was incubated at 4℃ overnight. The primary is detected by a biotinylated secondary antibody and visualized using an HRP conjugated SP system.
CD163 Antibodies
CD163 for Homo sapiens (Human)
產品貨號 | 產品名稱 | 種屬反應性 | 應用類型 |
---|---|---|---|
CSB-PA969205 | CD163 Antibody | Human | ELISA,IHC |
CSB-RA801238A0HU | CD163 Recombinant Monoclonal Antibody | Human | ELISA, IHC, FC |
CSB-PA801238LA01HU | CD163 Antibody | Human | ELISA, IF |
CSB-PA801238LB01HU | CD163 Antibody, HRP conjugated | Human | ELISA |
CSB-PA801238LC01HU | CD163 Antibody, FITC conjugated | Human | |
CSB-PA801238LD01HU | CD163 Antibody, Biotin conjugated | Human | ELISA |
CSB-MA942955 | CD163 Monoclonal Antibody | Human | ELISA, IHC |
CSB-RA801238MA1HU | CD163 Recombinant Monoclonal Antibody | Human | ELISA, IHC |
CD163 Proteins
CD163 Proteins for Homo sapiens (Human)
產品貨號 | 產品名稱 | 來源 |
---|---|---|
CSB-YP801238HU CSB-BP801238HU CSB-MP801238HU CSB-EP801238HU-B |
Recombinant Human Scavenger receptor cysteine-rich type 1 protein M130 (CD163), partial | Yeast Baculovirus Mammalian cell In Vivo Biotinylation in E.coli |
CSB-EP801238HU | Recombinant Human Scavenger receptor cysteine-rich type 1 protein M130 (CD163), partial | E.coli |
CD163 ELISA Kit
CD163 ELISA Kit for Homo sapiens (Human)
產品貨號 | 產品名稱 | 樣本類型 | 靈敏度 |
---|---|---|---|
CSB-E14050h | Human soluble CD163(sCD163) ELISA Kit | serum, plasma, tissue homogenates | 0.39 ng/mL |