CISH
CISH,全稱為細胞因子誘導型SH2結構域蛋白,也被稱為CIS、G18、SOCS、CIS-1或BACTS2。該蛋白在細胞因子信號轉導中扮演重要角色,能夠抑制細胞因子信號通路,從而調節免疫反應。CISH蛋白與多種疾病相關,包括細菌感染、瘧疾和結核病等。在藥物研發方面,CISH蛋白作為潛在的治療靶點,吸引了研究者的關注,目前已有相關藥物研發進展。
熱銷產品
Recombinant Human Cytokine-inducible SH2-containing protein (CISH) (CSB-EP885721HU)
驗證數據

(Tris-Glycine gel) Discontinuous SDS-PAGE (reduced) with 5% enrichment gel and 15% separation gel.
CISH Antibody (CSB-PA885721ESR1HU)
驗證數據

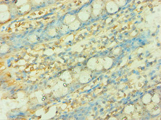
Immunohistochemistry of paraffin-embedded human colon tissue using CSB-PA885721ESR1HU at dilution of 1:100

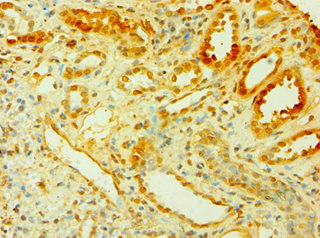
Immunohistochemistry of paraffin-embedded human kidney tissue using CSB-PA885721ESR1HU at dilution of 1:100
CISH Antibodies
CISH for Homo sapiens (Human)
產品貨號 | 產品名稱 | 種屬反應性 | 應用類型 |
---|---|---|---|
CSB-PA885721ESR1HU | CISH Antibody | Human | ELISA, IHC |
CISH Proteins
CISH Proteins for Rattus norvegicus (Rat)
產品貨號 | 產品名稱 | 來源 |
---|---|---|
CSB-YP005445RA CSB-EP005445RA CSB-BP005445RA CSB-MP005445RA CSB-EP005445RA-B |
Recombinant Rat Cytokine-inducible SH2-containing protein (Cish) | Yeast E.coli Baculovirus Mammalian cell In Vivo Biotinylation in E.coli |
CISH Proteins for Bos taurus (Bovine)
產品貨號 | 產品名稱 | 來源 |
---|---|---|
CSB-YP642236BO CSB-EP642236BO CSB-BP642236BO CSB-MP642236BO CSB-EP642236BO-B |
Recombinant Bovine Cytokine-inducible SH2-containing protein (CISH) | Yeast E.coli Baculovirus Mammalian cell In Vivo Biotinylation in E.coli |
CISH Proteins for Mus musculus (Mouse)
產品貨號 | 產品名稱 | 來源 |
---|---|---|
CSB-YP720292MO CSB-EP720292MO CSB-BP720292MO CSB-MP720292MO CSB-EP720292MO-B |
Recombinant Mouse Cytokine-inducible SH2-containing protein (Cish) | Yeast E.coli Baculovirus Mammalian cell In Vivo Biotinylation in E.coli |
CISH Proteins for Gallus gallus (Chicken)
產品貨號 | 產品名稱 | 來源 |
---|---|---|
CSB-YP868714CH CSB-EP868714CH CSB-BP868714CH CSB-MP868714CH CSB-EP868714CH-B |
Recombinant Chicken Cytokine-inducible SH2-containing protein (CISH) | Yeast E.coli Baculovirus Mammalian cell In Vivo Biotinylation in E.coli |
CISH Proteins for Homo sapiens (Human)
產品貨號 | 產品名稱 | 來源 |
---|---|---|
CSB-YP885721HU CSB-BP885721HU CSB-MP885721HU CSB-EP885721HU-B |
Recombinant Human Cytokine-inducible SH2-containing protein (CISH) | Yeast Baculovirus Mammalian cell In Vivo Biotinylation in E.coli |
CSB-EP885721HU | Recombinant Human Cytokine-inducible SH2-containing protein (CISH) | E.coli |